Suppr超能文献

一名65岁女性,漏诊开放性锁骨骨折并继发骨折相关感染,接受锁骨远端切除术治疗。

A 65-Year-Old Female with Missed Open Clavicle Fracture and Subsequent Fracture-Related Infection, Treated with Distal Clavicle Resection.

作者信息

Lehane Kevin M, Bi Andrew S, Morgan Allison, Resad-Ferati Sehar, Ganta Abhishek, Konda Sanjit R

机构信息

Department of Orthopedic Surgery, NYU Langone Orthopedic Hospital, New York, United States.

Department of Orthopedic Surgery, Jamaica Hospital Medical Center, Queens, New York, United States.

出版信息

J Orthop Case Rep. 2024 Sep;14(9):30-35. doi: 10.13107/jocr.2024.v14.i09.4718.

Abstract

INTRODUCTION

Open clavicle fractures are rare, and there are no current reported cases in the literature of a missed open clavicle with resultant fracture-related infection and osteomyelitis.

CASE REPORT

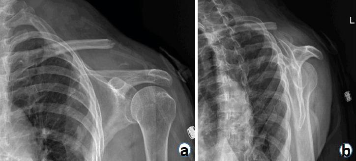
We present a 65-year-old female with no reported medical history, who presented to our institution with left clavicular pain and wound drainage 8 days after she was struck by a motor vehicle in her home country of Guyana. She was found to have a missed open clavicle fracture with an associated severe infection. She was subsequently treated with irrigation, debridement, and distal clavicle excision.

CONCLUSION

We present this unique case with a potential procedure which could prove beneficial in cases of infection, trauma, or oncologic lesions in which the distal clavicle is deemed unsalvageable.

摘要

引言

开放性锁骨骨折较为罕见,目前文献中尚无漏诊开放性锁骨骨折导致骨折相关感染和骨髓炎的病例报道。

病例报告

我们报告一例65岁女性,既往无病史,在其祖国圭亚那被机动车撞击8天后因左锁骨疼痛和伤口引流前来我院就诊。发现她存在漏诊的开放性锁骨骨折并伴有严重感染。随后对其进行了冲洗、清创及锁骨远端切除术。

结论

我们展示了这一独特病例以及一种潜在的手术方法,该方法可能对锁骨远端无法挽救的感染、创伤或肿瘤性病变病例有益。

https://cdn.ncbi.nlm.nih.gov/pmc/blobs/c574/11381044/12f1f3e5afb3/JOCR-14-30-g001.jpg

文献AI研究员

20分钟写一篇综述,助力文献阅读效率提升50倍。

立即体验

用中文搜PubMed

大模型驱动的PubMed中文搜索引擎

马上搜索

文档翻译

学术文献翻译模型,支持多种主流文档格式。

立即体验