Vittay Orsolya, Christopher Joseph, Mehta Sarju G, Toms Andoni P
Department of Radiology, Addenbrooke's Hospital, Hills Road, Cambridge, CB2 2QQ, UK.
Department of Clinical Genetics, Addenbrooke's Hospital, Hills Road, Cambridge, CB2 2QQ, UK.
Skeletal Radiol. 2025 May;54(5):915-923. doi: 10.1007/s00256-024-04772-7. Epub 2024 Sep 10.
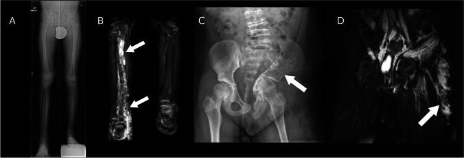
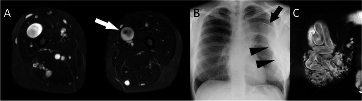
Somatic overgrowth disorders comprise a wide range of rare conditions that present with focal enlargement of one or more tissue types. The PI3K-AKT-mTOR pathway is a signalling pathway that induces angiogenesis and cell proliferation, and is one of the most commonly overactivated signalling pathways in cancer. The PI3K-AKT-mTOR pathway can be up-regulated by genetic variants that code for proteins in this pathway, or down-regulated by proteins that inhibit the pathway. Mosaic genetic variations can result in cells that proliferate excessively in specific anatomical locations. The PIK3CA-related overgrowth spectrum (PROS) disorders include CLOVES syndrome, macrodystrophia lipomatosa, and Klippel-Trenaunay syndrome among many. The neurofibromatosis type 1 (NF1) gene encodes neurofibromin which down-regulates the PI3K-AKT-mTOR pathway. Thousands of pathological variants in the NF1 gene have been described which can result in lower-than-normal levels of neurofibromin and therefore up-regulation of the PI3K-AKT-mTOR pathway promoting cellular overgrowth. Somatic overgrowth is a rare presentation in NF1 with a wide range of clinical and radiological presentations. Hypertrophy of all ectodermal and mesodermal elements has been described in NF1 including bone, muscle, fat, nerve, lymphatics, arteries and veins, and skin. The shared signalling pathway for cellular overgrowth means that these radiological appearances can overlap with other conditions in the PIK3CA-related overgrowth spectrum. The aim of this review is to describe the genetic basis for the radiological features of NF1 and in particular compare the appearances of the somatic overgrowth disorders in NF1 with other conditions in the PIK3CA-related overgrowth spectrum.
体细胞过度生长障碍包括一系列罕见病症,其表现为一种或多种组织类型的局灶性增大。PI3K-AKT-mTOR信号通路是一种诱导血管生成和细胞增殖的信号通路,是癌症中最常过度激活的信号通路之一。PI3K-AKT-mTOR信号通路可被编码该通路中蛋白质的基因变异上调,或被抑制该通路的蛋白质下调。镶嵌式基因变异可导致细胞在特定解剖位置过度增殖。PIK3CA相关过度生长谱系(PROS)障碍包括CLOVES综合征、脂肪过多性巨发育不良和Klippel-Trenaunay综合征等多种病症。1型神经纤维瘤病(NF1)基因编码神经纤维瘤蛋白,该蛋白可下调PI3K-AKT-mTOR信号通路。已描述了NF1基因中的数千种病理性变异,这些变异可导致神经纤维瘤蛋白水平低于正常水平,从而上调PI3K-AKT-mTOR信号通路,促进细胞过度生长。体细胞过度生长在NF1中是一种罕见表现,具有广泛的临床和影像学表现。NF1中已描述了所有外胚层和中胚层成分的肥大,包括骨骼、肌肉、脂肪、神经、淋巴管、动脉和静脉以及皮肤。细胞过度生长的共享信号通路意味着这些影像学表现可能与PIK3CA相关过度生长谱系中的其他病症重叠。本综述的目的是描述NF1放射学特征的遗传基础,特别是比较NF1中体细胞过度生长障碍的表现与PIK3CA相关过度生长谱系中的其他病症。