• 文献检索
  • 文档翻译
  • 深度研究
  • 学术资讯
  • Suppr Zotero 插件Zotero 插件
  • 邀请有礼
  • 套餐&价格
  • 历史记录
应用&插件
Suppr Zotero 插件Zotero 插件浏览器插件Mac 客户端Windows 客户端微信小程序
定价
高级版会员购买积分包购买API积分包
服务
文献检索文档翻译深度研究API 文档MCP 服务
关于我们
关于 Suppr公司介绍联系我们用户协议隐私条款
关注我们

Suppr 超能文献

核心技术专利:CN118964589B侵权必究
粤ICP备2023148730 号-1Suppr @ 2026

文献检索

告别复杂PubMed语法,用中文像聊天一样搜索,搜遍4000万医学文献。AI智能推荐,让科研检索更轻松。

立即免费搜索

文件翻译

保留排版,准确专业,支持PDF/Word/PPT等文件格式,支持 12+语言互译。

免费翻译文档

深度研究

AI帮你快速写综述,25分钟生成高质量综述,智能提取关键信息,辅助科研写作。

立即免费体验

乳腺癌肿瘤浸润淋巴细胞及其与病理和预后因素以及病理肿瘤-淋巴结-转移(pTNM)分期的相关性研究。

Study of Tumor-Infiltrating Lymphocytes in Breast Carcinoma and Their Association With Pathological and Prognostic Factors and Pathological Tumor-Node-Metastasis (pTNM) Staging.

作者信息

Gupta Abhishek, Chandra Smita, Munish Kanika

机构信息

Pathology, Gautam Buddha Chikitsa Mahavidyalaya, Dehradun, IND.

Pathology, Himalayan Institute of Medical Sciences, Dehradun, IND.

出版信息

Cureus. 2024 Aug 11;16(8):e66657. doi: 10.7759/cureus.66657. eCollection 2024 Aug.

DOI:10.7759/cureus.66657
PMID:39262546
原文链接:https://pmc.ncbi.nlm.nih.gov/articles/PMC11387665/
Abstract

OBJECTIVES

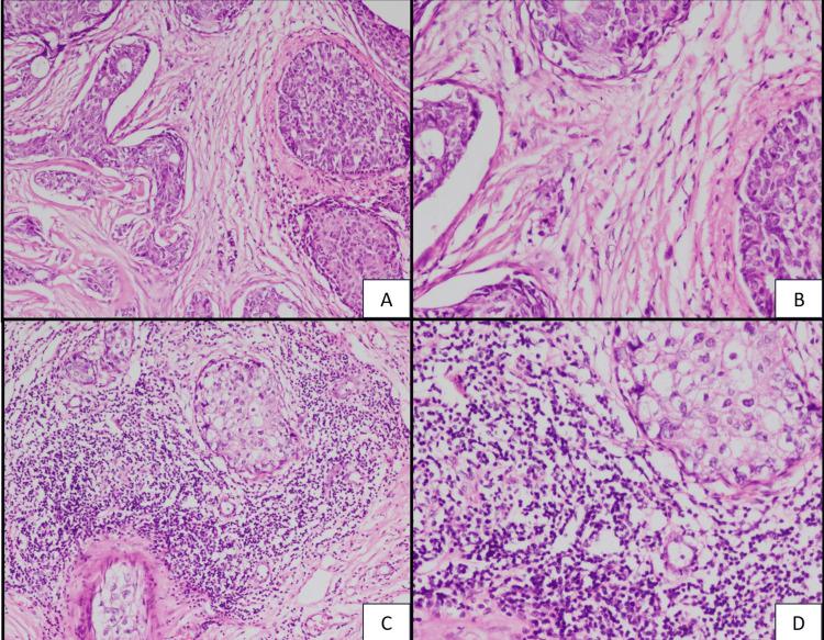
Breast carcinoma is the second most frequent type of cancer globally, with an estimated 2.08 million new carcinoma cases identified in 2018. Breast cancer prognosis is influenced by a number of variables, including the patient's age, morphological variant, stromal inflammatory reaction, elastotic, fibrotic focus, lymphovascular emboli, recurrence of tumor, etc. Recently, the morphological evaluation and extent of tumor-infiltrating lymphocytes (TIL) have also been studied in breast cancer. An attempt is being made to understand the role of TIL in determining the prognostication of carcinoma breast. Thus, the goal of the current academic study is to assess TIL in breast carcinoma.

MATERIALS AND METHOD

The study was performed at a medical institution's pathology department, which covered newly diagnosed cases of infiltrating ductal carcinoma of the breast on histopathology during the January to December 2019 time frame. The gross and hematoxyline-eosin-stained paraffin sections were studied for histopathological examination.

RESULTS

The study included 50 cases of infiltrating ductal carcinoma of the breast with a female-to-male ratio of 24:1. Stromal TIL was negative (0-10%) in 12 cases, while was positive (11-100 %) in 38 cases. The results of the receiver operating characteristic (ROC) curve study indicated that the specificity was 70.7% and the sensitivity was 85.3% when the cutoff of stromal TIL <11% was used to predict the live status of patients.

CONCLUSION

Stromal TIL is an important parameter that must be reported in breast carcinoma cases. Positive stromal TIL shows a statistically significant difference with pathological tumor-node-metastasis (pTNM) staging, tumor laterality, size of the tumor, and involvement of nipple and areola.

摘要

目的

乳腺癌是全球第二常见的癌症类型,2018年估计有208万例新确诊的癌症病例。乳腺癌的预后受多种因素影响,包括患者年龄、形态学变异、间质炎症反应、弹性组织变性、纤维化灶、淋巴管栓子、肿瘤复发等。最近,肿瘤浸润淋巴细胞(TIL)的形态学评估及其在乳腺癌中的范围也受到了研究。人们试图了解TIL在确定乳腺癌预后中的作用。因此,当前学术研究的目标是评估乳腺癌中的TIL。

材料与方法

该研究在一家医疗机构的病理科进行,涵盖了2019年1月至12月期间组织病理学新诊断的浸润性导管癌病例。对大体标本和苏木精-伊红染色的石蜡切片进行组织病理学检查。

结果

该研究纳入50例乳腺浸润性导管癌病例,男女比例为24:1。间质TIL在12例中为阴性(0-10%),而在38例中为阳性(11-100%)。受试者工作特征(ROC)曲线研究结果表明,当使用间质TIL<11%的临界值来预测患者的生存状态时,特异性为70.7%,敏感性为85.3%。

结论

间质TIL是乳腺癌病例中必须报告的一个重要参数。阳性间质TIL与病理肿瘤-淋巴结-转移(pTNM)分期、肿瘤侧别、肿瘤大小以及乳头和乳晕受累情况存在统计学显著差异。

https://cdn.ncbi.nlm.nih.gov/pmc/blobs/5680/11387665/6a211d75f56e/cureus-0016-00000066657-i02.jpg
https://cdn.ncbi.nlm.nih.gov/pmc/blobs/5680/11387665/87a805493562/cureus-0016-00000066657-i01.jpg
https://cdn.ncbi.nlm.nih.gov/pmc/blobs/5680/11387665/6a211d75f56e/cureus-0016-00000066657-i02.jpg
https://cdn.ncbi.nlm.nih.gov/pmc/blobs/5680/11387665/87a805493562/cureus-0016-00000066657-i01.jpg
https://cdn.ncbi.nlm.nih.gov/pmc/blobs/5680/11387665/6a211d75f56e/cureus-0016-00000066657-i02.jpg

相似文献

1
Study of Tumor-Infiltrating Lymphocytes in Breast Carcinoma and Their Association With Pathological and Prognostic Factors and Pathological Tumor-Node-Metastasis (pTNM) Staging.乳腺癌肿瘤浸润淋巴细胞及其与病理和预后因素以及病理肿瘤-淋巴结-转移(pTNM)分期的相关性研究。
Cureus. 2024 Aug 11;16(8):e66657. doi: 10.7759/cureus.66657. eCollection 2024 Aug.
2
Evaluation of Tumor infiltrating lymphocytes in breast carcinoma and their correlation with molecular subtypes, tumor grade and stage.乳腺癌中肿瘤浸润淋巴细胞的评估及其与分子亚型、肿瘤分级和分期的相关性。
Breast Dis. 2020;39(2):61-69. doi: 10.3233/BD-200442.
3
Tumor-Infiltrating Lymphocytes (TIL), Tertiary Lymphoid Structures (TLS), and Expression of PD-1, TIM-3, LAG-3 on TIL in Invasive and In Situ Ductal Breast Carcinomas and Their Relationship with Prognostic Factors.肿瘤浸润淋巴细胞 (TIL)、三级淋巴结构 (TLS) 以及 PD-1、TIM-3、LAG-3 在浸润性和原位导管乳腺癌 TIL 中的表达及其与预后因素的关系。
Clin Breast Cancer. 2022 Dec;22(8):e901-e915. doi: 10.1016/j.clbc.2022.08.005. Epub 2022 Aug 20.
4
Comparison of Tumor Infiltrating Lymphocyte Density with Histopathological Parameters and Effect on Prognosis in Head and Neck Squamous Cell Cancers.头颈部鳞状细胞癌中肿瘤浸润淋巴细胞密度与组织病理学参数的比较及其对预后的影响
Sisli Etfal Hastan Tip Bul. 2020 Dec 11;54(4):438-443. doi: 10.14744/SEMB.2019.48208. eCollection 2020.
5
The tumor-infiltrating lymphocyte ultrasonography score can provide a diagnostic prediction of lymphocyte-predominant breast cancer preoperatively.肿瘤浸润淋巴细胞超声评分可术前对淋巴细胞为主型乳腺癌提供诊断预测。
J Med Ultrason (2001). 2022 Oct;49(4):709-717. doi: 10.1007/s10396-022-01240-4. Epub 2022 Aug 24.
6
Prognostic significance of tumour infiltrating B lymphocytes in breast ductal carcinoma in situ.乳腺导管原位癌中肿瘤浸润性B淋巴细胞的预后意义
Histopathology. 2017 Aug;71(2):258-268. doi: 10.1111/his.13217. Epub 2017 May 26.
7
Assessment of Intratumoural and Stromal Infiltrating Lymphocytes In The Various Subtypes of Breast Carcinoma Patients who have Received Neoadjuvant Chemotherapy.评估接受新辅助化疗的各种乳腺癌亚型患者的肿瘤内和基质浸润淋巴细胞。
Asian Pac J Cancer Prev. 2023 Jul 1;24(7):2347-2352. doi: 10.31557/APJCP.2023.24.7.2347.
8
Prognostic value of tumor-infiltrating lymphocytes on residual disease after primary chemotherapy for triple-negative breast cancer: a retrospective multicenter study.三阴性乳腺癌初次化疗后肿瘤浸润淋巴细胞对残留疾病的预后价值:一项回顾性多中心研究
Ann Oncol. 2014 Mar;25(3):611-618. doi: 10.1093/annonc/mdt556. Epub 2014 Jan 8.
9
Prognostic and predictive value of tumor-infiltrating lymphocytes in two phase III randomized adjuvant breast cancer trials.两项III期随机辅助乳腺癌试验中肿瘤浸润淋巴细胞的预后和预测价值
Ann Oncol. 2015 Aug;26(8):1698-704. doi: 10.1093/annonc/mdv239. Epub 2015 May 20.
10
Diffuse distribution of tumor-infiltrating lymphocytes is a marker for better prognosis and chemotherapeutic effect in triple-negative breast cancer.肿瘤浸润淋巴细胞弥漫分布是三阴性乳腺癌预后较好和化疗效果较好的标志物。
Breast Cancer Res Treat. 2019 Nov;178(2):283-294. doi: 10.1007/s10549-019-05390-x. Epub 2019 Aug 12.

本文引用的文献

1
Breast Cancer in Pregnant Young Women: Clinicopathological Profile, Survival, and Pregnancy Outcomes.年轻孕妇乳腺癌:临床病理特征、生存率及妊娠结局
Cureus. 2023 Oct 24;15(10):e47578. doi: 10.7759/cureus.47578. eCollection 2023 Oct.
2
Global cancer statistics 2018: GLOBOCAN estimates of incidence and mortality worldwide for 36 cancers in 185 countries.全球癌症统计数据 2018:GLOBOCAN 对全球 185 个国家/地区 36 种癌症的发病率和死亡率的估计。
CA Cancer J Clin. 2018 Nov;68(6):394-424. doi: 10.3322/caac.21492. Epub 2018 Sep 12.
3
Interobserver reproducibility of tumor-infiltrating lymphocyte evaluations in breast cancer.
乳腺癌中肿瘤浸润淋巴细胞评估的观察者间可重复性
Indian J Pathol Microbiol. 2018 Apr-Jun;61(2):181-186. doi: 10.4103/IJPM.IJPM_131_17.
4
Expression of Programmed Death Receptor Ligand 1 with High Tumor-Infiltrating Lymphocytes Is Associated with Better Prognosis in Breast Cancer.程序性死亡受体配体1表达与高肿瘤浸润淋巴细胞在乳腺癌中与较好预后相关。
J Breast Cancer. 2016 Sep;19(3):242-251. doi: 10.4048/jbc.2016.19.3.242. Epub 2016 Sep 23.
5
The evaluation of tumor-infiltrating lymphocytes (TILs) in breast cancer: recommendations by an International TILs Working Group 2014.2014年国际肿瘤浸润淋巴细胞(TILs)工作组对乳腺癌中肿瘤浸润淋巴细胞的评估建议
Ann Oncol. 2015 Feb;26(2):259-71. doi: 10.1093/annonc/mdu450. Epub 2014 Sep 11.
6
A retrospective study of clinico-pathological spectrum of carcinoma breast in a West Delhi, India.印度西德里地区乳腺癌临床病理特征的回顾性研究。
South Asian J Cancer. 2014 Jul;3(3):179-81. doi: 10.4103/2278-330X.136804.
7
CD4⁺ follicular helper T cell infiltration predicts breast cancer survival.CD4⁺ 滤泡辅助性 T 细胞浸润预测乳腺癌的生存。
J Clin Invest. 2013 Jul;123(7):2873-92. doi: 10.1172/JCI67428. Epub 2013 Jun 17.
8
Lymphatic space invasion is not an independent predictor of outcomes in early stage breast cancer treated by breast-conserving surgery and radiation.淋巴管侵犯不是保乳手术和放疗治疗早期乳腺癌的独立预后因素。
Breast J. 2012 Sep;18(5):415-9. doi: 10.1111/j.1524-4741.2012.01271.x. Epub 2012 Jul 10.
9
Prognostic significance of tumor-infiltrating T cells in ovarian cancer: a meta-analysis.肿瘤浸润 T 细胞在卵巢癌中的预后意义:一项荟萃分析。
Gynecol Oncol. 2012 Feb;124(2):192-8. doi: 10.1016/j.ygyno.2011.09.039. Epub 2011 Oct 29.
10
Improved prognostic classification of breast cancer defined by antagonistic activation patterns of immune response pathway modules.免疫应答通路模块拮抗激活模式定义的乳腺癌预后分类改善。
BMC Cancer. 2010 Nov 4;10:604. doi: 10.1186/1471-2407-10-604.