Suppr超能文献

探讨重组腺病毒介导的 NGF 基因转染对 EAE 小鼠脊髓神经元凋亡及神经保护机制。

Discussion of spinal cord neurons apoptosis and neuroprotection mechanism of NGF gene transfection mediated by recombinant adenovirus in EAE mice.

机构信息

Department of Neurology, The Affiliated Hospital of Southwest Medical University, Luzhou, 646000, China.

Laboratory of Neurological Diseases and Brain Function, Luzhou, Sichuan, China.

出版信息

Sci Rep. 2024 Sep 17;14(1):21654. doi: 10.1038/s41598-024-72352-9.

Abstract

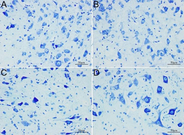
To investigate the spinal cord neuron apoptosis and neuroprotective mechanism of nerve growth factorganismsor (NGF) gene mediated by recombinant adenovirus (Ad-NGF) via peripheral transfection in mice with experimental autoimmune encephalomyelitis (EAE). Forty healthy female C57BL/6 mice were randomly divided into a control group, adenovirus (AdV) group, EAE group, and Ad-NGF transfection group; the control group received no treatment; the AdV group received adenovirus injection via the tail vein; the EAE and Ad-NGF transfection groups were induced with experimental autoimmune encephalomyelitis (EAE) using myelin oligodendrocyte glycoprotein 35-55 (MOG35-55), Ad-NGF transfection group received Ad-NGF injection via the tail vein, and daily neurological impairment scores were obtained. AQThe TUNEL method was employed to observe spinal neuron apoptosis in each group of mice; protein immunoblotting (western blot) and RT-PCR were used to measure NGF levels in the spinal cord tissues of each group, and western blotting was used to assess levels of cleaved caspase-3, Bax, and Bcl-2. ELISA and RT-PCR were employed to detect protein and mRNA levels of neuron-specific enolase (NSE) in spinal cord tissues, respectively. The control group and AdV mice did not develop symptoms. Compared to the EAE group, in the Ad-NGF transfection group, neurological function scores, TUNEL-positive cell counts, the ratio of NeuN + TUNEL to NeuN, levels of Bax and cleaved caspase-3 apoptotic proteins were significantly reduced, while Bcl-2 protein expression was increased. Expression levels of NGF, NGF-mRNA, NSE, and NSE-mRNA in spinal cord tissues were significantly elevated (P < 0.01). Immunofluorescence labeling revealed a significant punctate aggregation of apoptotic cells in spinal neurons of the EAE group, while the aggregation phenomenon was less pronounced in the Ad-NGF transfection group. Ad-NGF transfected by the periphery has a protective effect on spinal cord neurons in EAE mice by up-regulation NGF level, down-regulating apoptotic protein Caspase-3 in spinal cord neurons, inhibiting spinal cord neuron apoptosis and promoting NSE expression.

摘要

为了研究神经生长因子(NGF)基因通过重组腺病毒(Ad-NGF)介导的外周转染在实验性自身免疫性脑脊髓炎(EAE)小鼠脊髓神经元凋亡和神经保护机制。将 40 只健康雌性 C57BL/6 小鼠随机分为对照组、腺病毒(AdV)组、EAE 组和 Ad-NGF 转染组;对照组未进行任何处理;AdV 组通过尾静脉注射腺病毒;EAE 和 Ad-NGF 转染组用髓鞘少突胶质细胞糖蛋白 35-55(MOG35-55)诱导实验性自身免疫性脑脊髓炎,Ad-NGF 转染组通过尾静脉注射 Ad-NGF,并每天获得神经功能缺损评分。使用 TUNEL 法观察各组小鼠脊髓神经元凋亡情况;采用蛋白质免疫印迹(western blot)和 RT-PCR 法测量各组小鼠脊髓组织 NGF 水平,western blot 法检测 cleaved caspase-3、Bax 和 Bcl-2 水平。ELISA 和 RT-PCR 法分别检测脊髓组织神经元特异性烯醇化酶(NSE)的蛋白和 mRNA 水平。对照组和 AdV 组的小鼠均未出现症状。与 EAE 组相比,在 Ad-NGF 转染组,神经功能评分、TUNEL 阳性细胞计数、NeuN+TUNEL/NeuN 比值、Bax 和 cleaved caspase-3 凋亡蛋白水平均显著降低,Bcl-2 蛋白表达增加。脊髓组织 NGF、NGF-mRNA、NSE 和 NSE-mRNA 的表达水平均显著升高(P<0.01)。免疫荧光标记显示 EAE 组脊髓神经元中凋亡细胞的点状聚集明显,而 Ad-NGF 转染组的聚集现象较轻。通过外周转染的 Ad-NGF 通过上调 NGF 水平对 EAE 小鼠脊髓神经元具有保护作用,下调脊髓神经元中凋亡蛋白 Caspase-3,抑制脊髓神经元凋亡,促进 NSE 表达。

https://cdn.ncbi.nlm.nih.gov/pmc/blobs/98c5/11408680/1ac7d7b91357/41598_2024_72352_Fig1_HTML.jpg

文献检索

告别复杂PubMed语法,用中文像聊天一样搜索,搜遍4000万医学文献。AI智能推荐,让科研检索更轻松。

立即免费搜索

文件翻译

保留排版,准确专业,支持PDF/Word/PPT等文件格式,支持 12+语言互译。

免费翻译文档

深度研究

AI帮你快速写综述,25分钟生成高质量综述,智能提取关键信息,辅助科研写作。

立即免费体验