Suppr超能文献

质子治疗商用合成计算机断层扫描解决方案的治疗部位特异性评估

A treatment-site-specific evaluation of commercial synthetic computed tomography solutions for proton therapy.

作者信息

Yeap Ping Lin, Wong Yun Ming, Lee Kang Hao, Koh Calvin Wei Yang, Lew Kah Seng, Chua Clifford Ghee Ann, Wibawa Andrew, Master Zubin, Lee James Cheow Lei, Park Sung Yong, Tan Hong Qi

机构信息

Division of Radiation Oncology, National Cancer Centre Singapore, Singapore.

Department of Oncology, University of Cambridge, United Kingdom.

出版信息

Phys Imaging Radiat Oncol. 2024 Sep 1;31:100639. doi: 10.1016/j.phro.2024.100639. eCollection 2024 Jul.

Abstract

BACKGROUND AND PURPOSE

Despite the superior dose conformity of proton therapy, the dose distribution is sensitive to daily anatomical changes, which can affect treatment accuracy. This study evaluated the dose recalculation accuracy of two synthetic computed tomography (sCT) generation algorithms in a commercial treatment planning system.

MATERIALS AND METHODS

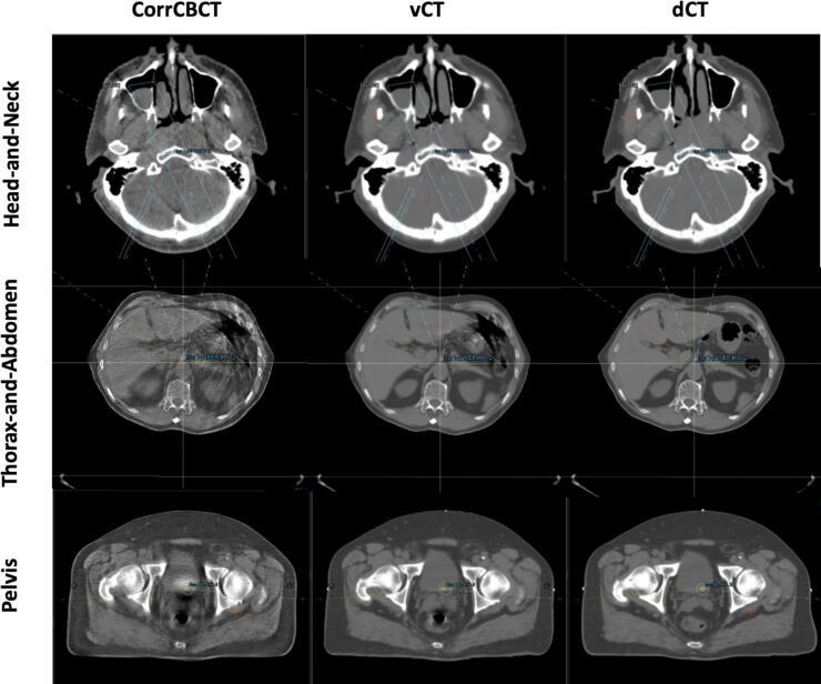
The evaluation was conducted for head-and-neck, thorax-and-abdomen, and pelvis sites treated with proton therapy. Thirty patients with two cone-beam computed tomography (CBCT) scans each were selected. The sCT images were generated from CBCT scans using two algorithms, Corrected CBCT (corrCBCT) and Virtual CT (vCT). Dose recalculations were performed based on these images for comparison with "ground truth" deformed CTs.

RESULTS

The choice of algorithm influenced dose recalculation accuracy, particularly in high dose regions. For head-and-neck cases, the corrCBCT method showed closer agreement with the "ground truth", while for thorax-and-abdomen and pelvis cases, the vCT algorithm yielded better results (mean percentage dose discrepancy of 0.6 %, 1.3 % and 0.5 % for the three sites, respectively, in the high dose region). Head-and-neck and pelvis cases exhibited excellent agreement in high dose regions (2 %/2 mm gamma passing rate >98 %), while thorax-and-abdomen cases exhibited the largest differences, suggesting caution in sCT algorithm usage for this site. Significant systematic differences were observed in the clinical target volume and organ-at-risk doses in head-and-neck and pelvis cases, highlighting the importance of using the correct algorithm.

CONCLUSIONS

This study provided treatment site-specific recommendations for sCT algorithm selection in proton therapy. The findings offered insights for proton beam centers implementing adaptive radiotherapy workflows.

摘要

背景与目的

尽管质子治疗在剂量适形性方面具有优势,但剂量分布对每日的解剖结构变化敏感,这可能会影响治疗准确性。本研究评估了商业治疗计划系统中两种合成计算机断层扫描(sCT)生成算法的剂量重新计算准确性。

材料与方法

对接受质子治疗的头颈部、胸部和腹部以及骨盆部位进行了评估。选择了30例患者,每位患者有两次锥束计算机断层扫描(CBCT)图像。使用两种算法,即校正CBCT(corrCBCT)和虚拟CT(vCT),从CBCT扫描生成sCT图像。基于这些图像进行剂量重新计算,以便与“真实”的变形CT进行比较。

结果

算法的选择影响剂量重新计算的准确性,尤其是在高剂量区域。对于头颈部病例,corrCBCT方法与“真实”情况的一致性更高,而对于胸部和腹部以及骨盆病例,vCT算法产生了更好的结果(在高剂量区域,三个部位的平均剂量差异百分比分别为0.6%、1.3%和0.5%)。头颈部和骨盆病例在高剂量区域表现出极好的一致性(2%/2毫米伽马通过率>98%),而胸部和腹部病例的差异最大,这表明在该部位使用sCT算法时要谨慎。在头颈部和骨盆病例的临床靶区体积和危及器官剂量中观察到显著的系统差异,突出了使用正确算法的重要性。

结论

本研究为质子治疗中sCT算法的选择提供了针对治疗部位的建议。这些发现为实施自适应放疗工作流程的质子束中心提供了见解。

https://cdn.ncbi.nlm.nih.gov/pmc/blobs/db2a/11407964/a659f51a561c/gr1.jpg

文献检索

告别复杂PubMed语法,用中文像聊天一样搜索,搜遍4000万医学文献。AI智能推荐,让科研检索更轻松。

立即免费搜索

文件翻译

保留排版,准确专业,支持PDF/Word/PPT等文件格式,支持 12+语言互译。

免费翻译文档

深度研究

AI帮你快速写综述,25分钟生成高质量综述,智能提取关键信息,辅助科研写作。

立即免费体验