Suppr超能文献

成人脐尿管囊肿破裂伴脐炎引起的急性腹膜炎:一例报告及文献复习

Acute peritonitis caused by a ruptured urachal cyst accompanied by omphalitis in an adult: a case report and literature review.

作者信息

Cho Myeong Gon, Han Hyun-Young, Kim Joo Heon, Lee Moon-Soo

机构信息

Department of Surgery, Daejeon Eulji Medical Center, Eulji University, Daejeon, Korea.

Department of Radiology, Daejeon Eulji Medical Center, Eulji University, Daejeon, Korea.

出版信息

J Minim Invasive Surg. 2024 Sep 15;27(3):172-176. doi: 10.7602/jmis.2024.27.3.172.

Abstract

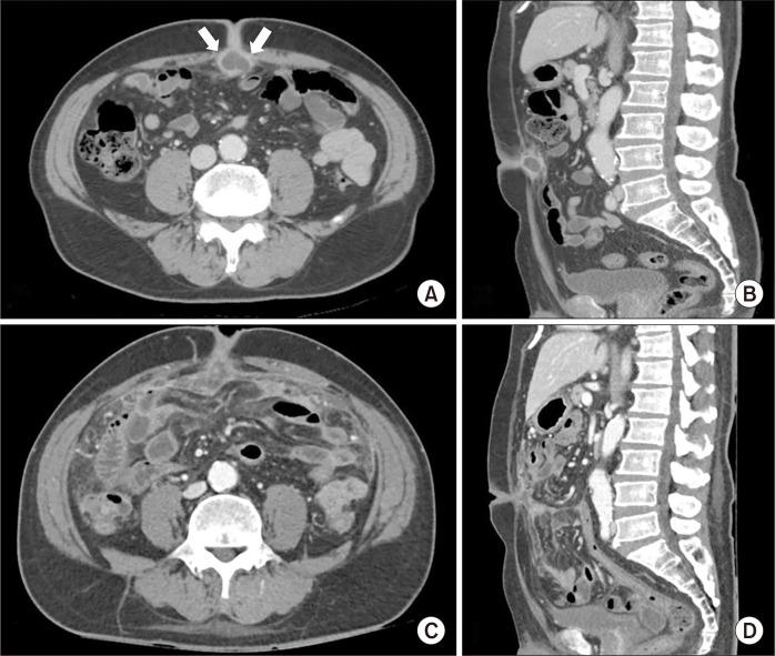
Omphalitis is an infection of the umbilicus that can cause inflammation to spread. Omphalitis is rare in adults; however, it can occasionally occur owing to urachal remnants. A 61-year-old male patient with abdominal pain and umbilical pus was admitted to the emergency room. Abdominal computed tomography revealed peritonitis with multiple intra-abdominal abscesses. The patient was diagnosed with peritonitis resulting from urachal cyst rupture. Laparoscopic drainage of the abscesses and excising of the umbilicus and intra-abdominal fistula tract were performed. Antibiotics were administered, and the patient was discharged uneventfully. The rarity of peritonitis caused by infection and urachal cyst rupture can make diagnosing omphalitis challenging. Therefore, in this case report and literature review, we discuss the diagnosis and treatment of complicated omphalitis, which rarely progresses to peritonitis owing to ruptured urachal cysts.

摘要

脐炎是一种可导致炎症扩散的脐部感染。脐炎在成人中较为罕见;然而,它偶尔可因脐尿管残余而发生。一名61岁男性患者因腹痛和脐部有脓液被送入急诊室。腹部计算机断层扫描显示腹膜炎伴多发腹腔内脓肿。该患者被诊断为脐尿管囊肿破裂导致的腹膜炎。进行了脓肿的腹腔镜引流以及脐部和腹腔内瘘管的切除。给予了抗生素治疗,患者顺利出院。由感染和脐尿管囊肿破裂引起的腹膜炎较为罕见,这可能使脐炎的诊断具有挑战性。因此,在本病例报告和文献综述中,我们讨论了复杂脐炎的诊断和治疗,这种脐炎很少因脐尿管囊肿破裂而进展为腹膜炎。

https://cdn.ncbi.nlm.nih.gov/pmc/blobs/e00a/11416886/9f618efcbb01/jmis-27-3-172-f1.jpg

相似文献

3
Abscess of urachal remnants presenting with acute abdomen: a case series.
J Med Case Rep. 2012 Jul 30;6:226. doi: 10.1186/1752-1947-6-226.
6
Omphalitis with Umbilical Abscess in an Adult with a Urachal Remnant.
Case Rep Gastroenterol. 2021 Dec 14;15(3):966-971. doi: 10.1159/000518870. eCollection 2021 Sep-Dec.
7
An Infected Urachal Cyst in a 4-Year-Old Girl Presenting with Recurrent Abdominal Pain.
J Emerg Med. 2019 Apr;56(4):e51-e54. doi: 10.1016/j.jemermed.2019.01.006. Epub 2019 Mar 14.
9
Intraperitoneal rupture of an infected urachal cyst: a rare cause of peritonitis in children.
Pediatr Emerg Care. 1996 Feb;12(1):41-3. doi: 10.1097/00006565-199602000-00012.
10
Unmasking a Rare Cause of Acute Abdomen in Adults: A Case Report of an Infected Urachal Cyst.
Cureus. 2024 Aug 26;16(8):e67787. doi: 10.7759/cureus.67787. eCollection 2024 Aug.

本文引用的文献

1
Surgical management for an infected urachal cyst in an adult: Case report and literature review.
Int J Surg Case Rep. 2019;57:130-133. doi: 10.1016/j.ijscr.2019.03.041. Epub 2019 Mar 30.
2
Umbolith: a cause of umbilical discharge and omphalitis.
Infection. 2015 Oct;43(5):625. doi: 10.1007/s15010-015-0775-9. Epub 2015 May 5.
4
Treatment of infected urachal cysts.
Yonsei Med J. 2006 Jun 30;47(3):423-7. doi: 10.3349/ymj.2006.47.3.423.
5
[Bladder rupture caused by spontaneous perforation of an infected urachal cyst].
Urologe A. 2003 Jun;42(6):834-9. doi: 10.1007/s00120-002-0290-3. Epub 2003 Feb 7.
8
Omphalitis neonatorum.
J Indian Med Assoc. 1993 Nov;91(11):283-5.
9
Tubular urachal remnants in adult bladders.
J Urol. 1982 Jan;127(1):40-2. doi: 10.1016/s0022-5347(17)53595-8.
10
Peritonitis due to intraperitoneal perforation of infected urachal cysts.
Arch Surg. 1984 Nov;119(11):1269-73. doi: 10.1001/archsurg.1984.01390230041009.

文献AI研究员

20分钟写一篇综述,助力文献阅读效率提升50倍。

立即体验

用中文搜PubMed

大模型驱动的PubMed中文搜索引擎

马上搜索

文档翻译

学术文献翻译模型,支持多种主流文档格式。

立即体验