• 文献检索
  • 文档翻译
  • 深度研究
  • 学术资讯
  • Suppr Zotero 插件Zotero 插件
  • 邀请有礼
  • 套餐&价格
  • 历史记录
应用&插件
Suppr Zotero 插件Zotero 插件浏览器插件Mac 客户端Windows 客户端微信小程序
定价
高级版会员购买积分包购买API积分包
服务
文献检索文档翻译深度研究API 文档MCP 服务
关于我们
关于 Suppr公司介绍联系我们用户协议隐私条款
关注我们

Suppr 超能文献

核心技术专利:CN118964589B侵权必究
粤ICP备2023148730 号-1Suppr @ 2026

文献检索

告别复杂PubMed语法,用中文像聊天一样搜索,搜遍4000万医学文献。AI智能推荐,让科研检索更轻松。

立即免费搜索

文件翻译

保留排版,准确专业,支持PDF/Word/PPT等文件格式,支持 12+语言互译。

免费翻译文档

深度研究

AI帮你快速写综述,25分钟生成高质量综述,智能提取关键信息,辅助科研写作。

立即免费体验

1 型嗜铬细胞瘤/副神经节瘤综合征表现出非典型症状和基因中的新型致病性变异:病例报告。

Pheochromocytoma/Paraganglioma Syndrome Type 1 Presenting with Atypical Symptoms and a Novel Pathogenic Variant in the Gene: A Case Report.

机构信息

University of Social Welfare and Rehabilitation Sciences, Tehran, Iran.

Diabetes Research Center, Shahid Sadoughi University of Medical Sciences, Yazd, Iran.

出版信息

Arch Iran Med. 2024 Aug 1;27(8):447-451. doi: 10.34172/aim.28810.

DOI:10.34172/aim.28810
PMID:39306716
原文链接:https://pmc.ncbi.nlm.nih.gov/articles/PMC11416696/
Abstract

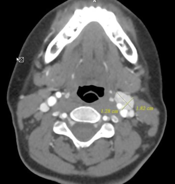
This case report presents a 10-year-old patient diagnosed with pheochromocytoma/paraganglioma syndrome type 1 (PPGL1), underlined by a novel heterozygous pathogenic variant (c.154_161del, p.ser52Profster14) in the gene. Initially, the patient manifested symptoms unusual for pheochromocytoma, including polyuria and polydipsia; however, further diagnostic investigations revealed a pheochromocytoma (PCC) tumor in the adrenal gland. Subsequently, whole exome sequencing (WES) test identified a pathogenic frameshift variant in the gene, strongly suggestive of PPGL1. This study highlights the importance of considering atypical symptoms in diagnosing rare pediatric pheochromocytoma/paraganglioma tumors and underscores the value of genetic testing in identifying underlying genetic causes, thereby facilitating personalized management of the condition.

摘要

本病例报告介绍了一位 10 岁患者,被诊断为 1 型嗜铬细胞瘤/副神经节瘤综合征(PPGL1),其 基因中存在一个新的杂合致病性变异(c.154_161del,p.ser52Profster14)。最初,该患者表现出不同于嗜铬细胞瘤的症状,包括多尿和多饮;然而,进一步的诊断研究发现肾上腺有嗜铬细胞瘤(PCC)肿瘤。随后,外显子组测序(WES)检测发现 基因中的一个致病性移码变异,强烈提示为 PPGL1。本研究强调了在诊断罕见儿科嗜铬细胞瘤/副神经节瘤肿瘤时考虑不典型症状的重要性,并强调了基因检测在确定潜在遗传病因中的价值,从而有助于对该疾病进行个性化管理。

https://cdn.ncbi.nlm.nih.gov/pmc/blobs/ed3d/11416696/03bc90f32d30/aim-27-447-g003.jpg
https://cdn.ncbi.nlm.nih.gov/pmc/blobs/ed3d/11416696/8eb5ce6ebaa3/aim-27-447-g001.jpg
https://cdn.ncbi.nlm.nih.gov/pmc/blobs/ed3d/11416696/c85dd70eac24/aim-27-447-g002.jpg
https://cdn.ncbi.nlm.nih.gov/pmc/blobs/ed3d/11416696/03bc90f32d30/aim-27-447-g003.jpg
https://cdn.ncbi.nlm.nih.gov/pmc/blobs/ed3d/11416696/8eb5ce6ebaa3/aim-27-447-g001.jpg
https://cdn.ncbi.nlm.nih.gov/pmc/blobs/ed3d/11416696/c85dd70eac24/aim-27-447-g002.jpg
https://cdn.ncbi.nlm.nih.gov/pmc/blobs/ed3d/11416696/03bc90f32d30/aim-27-447-g003.jpg

相似文献

1
Pheochromocytoma/Paraganglioma Syndrome Type 1 Presenting with Atypical Symptoms and a Novel Pathogenic Variant in the Gene: A Case Report.1 型嗜铬细胞瘤/副神经节瘤综合征表现出非典型症状和基因中的新型致病性变异:病例报告。
Arch Iran Med. 2024 Aug 1;27(8):447-451. doi: 10.34172/aim.28810.
2
Hereditary paraganglioma due to the SDHD M1I mutation in a second Chinese family: a founder effect?第二个中国家系中因SDHD M1I突变导致的遗传性副神经节瘤:奠基者效应?
Laryngoscope. 2003 Jun;113(6):1055-8. doi: 10.1097/00005537-200306000-00026.
3
Paraganglioma and pheochromocytoma upon maternal transmission of SDHD mutations.母系遗传SDHD突变导致的副神经节瘤和嗜铬细胞瘤
BMC Med Genet. 2014 Oct 10;15:111. doi: 10.1186/s12881-014-0111-8.
4
[Germline gene testing of the RET, VHL, SDHD and SDHB genes in patients with pheochromocytoma/paraganglioma].[嗜铬细胞瘤/副神经节瘤患者RET、VHL、SDHD和SDHB基因的种系基因检测]
Beijing Da Xue Xue Bao Yi Xue Ban. 2018 Aug 18;50(4):634-639.
5
Back to Biochemistry: Evaluation for and Prognostic Significance of SDH Mutations in Paragangliomas and Pheochromocytomas.回到生物化学:副神经节瘤和嗜铬细胞瘤中 SDH 突变的评估及预后意义。
Surg Pathol Clin. 2023 Mar;16(1):119-129. doi: 10.1016/j.path.2022.09.011.
6
An immunohistochemical procedure to detect patients with paraganglioma and phaeochromocytoma with germline SDHB, SDHC, or SDHD gene mutations: a retrospective and prospective analysis.一种用于检测携带种系SDHB、SDHC或SDHD基因突变的副神经节瘤和嗜铬细胞瘤患者的免疫组织化学方法:一项回顾性和前瞻性分析。
Lancet Oncol. 2009 Aug;10(8):764-71. doi: 10.1016/S1470-2045(09)70164-0. Epub 2009 Jul 1.
7
Screening of a Large Cohort of Asymptomatic SDHx Mutation Carriers in Routine Practice.在常规实践中对无症状 SDHx 突变携带者进行大规模筛查。
J Clin Endocrinol Metab. 2021 Mar 8;106(3):e1301-e1315. doi: 10.1210/clinem/dgaa888.
8
Multifocal Paraganglioma and Pheochromocytoma Due to Truncated SDHD Mutation.因SDHD基因截短突变导致的多灶性副神经节瘤和嗜铬细胞瘤
Urology. 2018 Jun;116:63-67. doi: 10.1016/j.urology.2018.01.012. Epub 2018 Mar 12.
9
Somatic and occult germ-line mutations in SDHD, a mitochondrial complex II gene, in nonfamilial pheochromocytoma.非家族性嗜铬细胞瘤中线粒体复合物II基因SDHD的体细胞和隐匿性种系突变
Cancer Res. 2000 Dec 15;60(24):6822-5.
10
Late diagnosis of an index case of SDH-related paraganglioma/pheochromocytoma syndrome.与副神经节瘤/嗜铬细胞瘤综合征相关的副神经节瘤指数病例的晚期诊断。
Endocrinol Nutr. 2012 Feb;59(2):148-50. doi: 10.1016/j.endonu.2011.07.013. Epub 2011 Dec 3.

本文引用的文献

1
Genetic bases of pheochromocytoma and paraganglioma.嗜铬细胞瘤和副神经节瘤的遗传学基础。
J Mol Endocrinol. 2023 Jan 24;70(3). doi: 10.1530/JME-22-0167. Print 2023 Apr 1.
2
Silent pheochromocytoma and paraganglioma: Systematic review and proposed definitions for standardized terminology.无症状嗜铬细胞瘤和副神经节瘤:系统评价和标准化术语建议定义。
Front Endocrinol (Lausanne). 2022 Oct 17;13:1021420. doi: 10.3389/fendo.2022.1021420. eCollection 2022.
3
Pediatric Metastatic Pheochromocytoma and Paraganglioma: Clinical Presentation and Diagnosis, Genetics, and Therapeutic Approaches.
小儿转移性嗜铬细胞瘤和副神经节瘤:临床表现和诊断、遗传学和治疗方法。
Front Endocrinol (Lausanne). 2022 Jul 12;13:936178. doi: 10.3389/fendo.2022.936178. eCollection 2022.
4
Genetics of Pheochromocytomas and Paragangliomas Determine the Therapeutical Approach.嗜铬细胞瘤和副神经节瘤的遗传学决定治疗方法。
Int J Mol Sci. 2022 Jan 27;23(3):1450. doi: 10.3390/ijms23031450.
5
Genetic stratification of inherited and sporadic phaeochromocytoma and paraganglioma: implications for precision medicine.遗传性和散发性嗜铬细胞瘤和副神经节瘤的遗传分层:对精准医学的影响。
Hum Mol Genet. 2020 Oct 20;29(R2):R128-R137. doi: 10.1093/hmg/ddaa201.
6
Pheochromocytomas and paragangliomas in children: Data from the Italian Cooperative Study (TREP).儿童嗜铬细胞瘤和副神经节瘤:来自意大利合作研究(TREP)的数据。
Pediatr Blood Cancer. 2020 Aug;67(8):e28332. doi: 10.1002/pbc.28332. Epub 2020 Jun 3.
7
An overview of 20 years of genetic studies in pheochromocytoma and paraganglioma.20 年来嗜铬细胞瘤和副神经节瘤遗传研究概述。
Best Pract Res Clin Endocrinol Metab. 2020 Mar;34(2):101416. doi: 10.1016/j.beem.2020.101416. Epub 2020 Mar 10.
8
Iranome: A catalog of genomic variations in the Iranian population.伊朗人基因组变异目录:伊朗人群中的基因组变异目录。
Hum Mutat. 2019 Nov;40(11):1968-1984. doi: 10.1002/humu.23880. Epub 2019 Aug 17.
9
The Diagnosis and Clinical Significance of Paragangliomas in Unusual Locations.罕见部位副神经节瘤的诊断及临床意义
J Clin Med. 2018 Sep 13;7(9):280. doi: 10.3390/jcm7090280.
10
Pheochromocytoma, diagnosis and treatment: Review of the literature.嗜铬细胞瘤的诊断与治疗:文献综述
Endocr Regul. 2017 Jul 1;51(3):168-181. doi: 10.1515/enr-2017-0018.