• 文献检索
  • 文档翻译
  • 深度研究
  • 学术资讯
  • Suppr Zotero 插件Zotero 插件
  • 邀请有礼
  • 套餐&价格
  • 历史记录
应用&插件
Suppr Zotero 插件Zotero 插件浏览器插件Mac 客户端Windows 客户端微信小程序
定价
高级版会员购买积分包购买API积分包
服务
文献检索文档翻译深度研究API 文档MCP 服务
关于我们
关于 Suppr公司介绍联系我们用户协议隐私条款
关注我们

Suppr 超能文献

核心技术专利:CN118964589B侵权必究
粤ICP备2023148730 号-1Suppr @ 2026

文献检索

告别复杂PubMed语法,用中文像聊天一样搜索,搜遍4000万医学文献。AI智能推荐,让科研检索更轻松。

立即免费搜索

文件翻译

保留排版,准确专业,支持PDF/Word/PPT等文件格式,支持 12+语言互译。

免费翻译文档

深度研究

AI帮你快速写综述,25分钟生成高质量综述,智能提取关键信息,辅助科研写作。

立即免费体验

具有 CCND1 重排的大 B 细胞淋巴瘤与套细胞淋巴瘤的免疫球蛋白基因断裂点和基因组特征不同。

Large B-cell lymphomas with CCND1 rearrangement have different immunoglobulin gene breakpoints and genomic profile than mantle cell lymphoma.

机构信息

Institut d'Investigacions Biomèdiques August Pi i Sunyer (IDIBAPS), Barcelona, Spain.

Pathology Department, Hacettepe University Faculty of Medicine, Ankara, Turkey.

出版信息

Blood Cancer J. 2024 Sep 23;14(1):166. doi: 10.1038/s41408-024-01146-z.

DOI:10.1038/s41408-024-01146-z
PMID:39313500
原文链接:https://pmc.ncbi.nlm.nih.gov/articles/PMC11420347/
Abstract

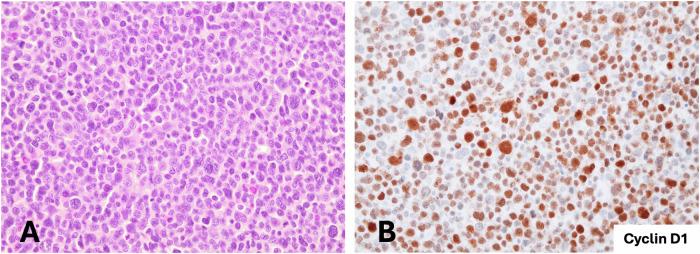
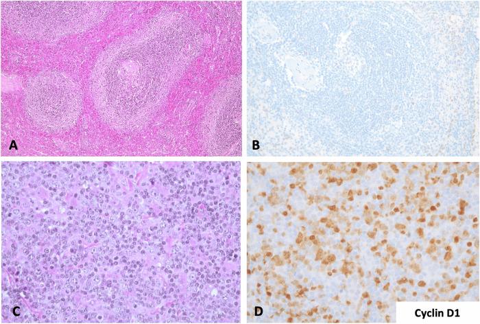
Mantle cell lymphoma (MCL) is genetically characterized by the IG::CCND1 translocation mediated by an aberrant V(D)J rearrangement. CCND1 translocations and overexpression have been identified in occasional aggressive B-cell lymphomas with unusual features for MCL. The mechanism generating CCND1 rearrangements in these tumors and their genomic profile are not known. We have reconstructed the IG::CCND1 translocations and the genomic profile of 13 SOX11-negative aggressive B-cell lymphomas using whole genome/exome and target sequencing. The mechanism behind the translocation was an aberrant V(D)J rearrangement in three tumors and by an anomalous IGH class-switch recombination (CSR) or somatic hypermutation (SHM) mechanism in ten. The tumors with a V(D)J-mediated translocation were two blastoid MCL and one high-grade B-cell lymphoma. None of them had a mutational profile suggestive of DLBCL. The ten tumors with CSR/SHM-mediated IGH::CCND1 were mainly large B-cell lymphomas, with mutated genes commonly seen in DLBCL and BCL6 rearrangements in 6. Two cases, which transformed from marginal zone lymphomas, carried mutations in KLF2, TNFAIP3 and KMT2D. These findings expand the spectrum of tumors carrying CCND1 rearrangement that may occur as a secondary event in DLBCL mediated by aberrant CSR/SHM and associated with a mutational profile different from that of MCL.

摘要

套细胞淋巴瘤(MCL)的遗传学特征是由异常的 V(D)J 重排介导的 IG::CCND1 易位。在具有 MCL 罕见特征的偶发性侵袭性 B 细胞淋巴瘤中,已鉴定出 CCND1 易位和过表达。这些肿瘤中产生 CCND1 重排的机制及其基因组特征尚不清楚。我们使用全基因组/外显子和靶向测序重建了 13 例 SOX11 阴性侵袭性 B 细胞淋巴瘤的 IG::CCND1 易位和基因组图谱。易位背后的机制在三个肿瘤中是异常的 V(D)J 重排,在十个肿瘤中是异常的 IGH 类别转换重组(CSR)或体细胞超突变(SHM)机制。由 V(D)J 介导易位的肿瘤是两个 blastoid MCL 和一个高级别 B 细胞淋巴瘤。它们都没有提示 DLBCL 的突变特征。由 CSR/SHM 介导的 IGH::CCND1 的十个肿瘤主要是大 B 细胞淋巴瘤,通常具有 DLBCL 中常见的突变基因和 6 例 BCL6 重排。两个从边缘区淋巴瘤转化而来的病例携带 KLF2、TNFAIP3 和 KMT2D 的突变。这些发现扩展了携带 CCND1 重排的肿瘤谱,这些肿瘤可能作为异常 CSR/SHM 介导的 DLBCL 的继发事件发生,并与 MCL 的突变特征不同。

https://cdn.ncbi.nlm.nih.gov/pmc/blobs/1b4d/11420347/3f40f530194b/41408_2024_1146_Fig5_HTML.jpg
https://cdn.ncbi.nlm.nih.gov/pmc/blobs/1b4d/11420347/277335c3c534/41408_2024_1146_Fig1_HTML.jpg
https://cdn.ncbi.nlm.nih.gov/pmc/blobs/1b4d/11420347/d40cf58a3879/41408_2024_1146_Fig2_HTML.jpg
https://cdn.ncbi.nlm.nih.gov/pmc/blobs/1b4d/11420347/ae695b5c5fec/41408_2024_1146_Fig3_HTML.jpg
https://cdn.ncbi.nlm.nih.gov/pmc/blobs/1b4d/11420347/c1dbe326ac79/41408_2024_1146_Fig4_HTML.jpg
https://cdn.ncbi.nlm.nih.gov/pmc/blobs/1b4d/11420347/3f40f530194b/41408_2024_1146_Fig5_HTML.jpg
https://cdn.ncbi.nlm.nih.gov/pmc/blobs/1b4d/11420347/277335c3c534/41408_2024_1146_Fig1_HTML.jpg
https://cdn.ncbi.nlm.nih.gov/pmc/blobs/1b4d/11420347/d40cf58a3879/41408_2024_1146_Fig2_HTML.jpg
https://cdn.ncbi.nlm.nih.gov/pmc/blobs/1b4d/11420347/ae695b5c5fec/41408_2024_1146_Fig3_HTML.jpg
https://cdn.ncbi.nlm.nih.gov/pmc/blobs/1b4d/11420347/c1dbe326ac79/41408_2024_1146_Fig4_HTML.jpg
https://cdn.ncbi.nlm.nih.gov/pmc/blobs/1b4d/11420347/3f40f530194b/41408_2024_1146_Fig5_HTML.jpg

相似文献

1
Large B-cell lymphomas with CCND1 rearrangement have different immunoglobulin gene breakpoints and genomic profile than mantle cell lymphoma.具有 CCND1 重排的大 B 细胞淋巴瘤与套细胞淋巴瘤的免疫球蛋白基因断裂点和基因组特征不同。
Blood Cancer J. 2024 Sep 23;14(1):166. doi: 10.1038/s41408-024-01146-z.
2
Cyclin D1-positive diffuse large B-cell lymphoma with IGH-CCND1 translocation and BCL6 rearrangement: a report of two cases.伴有IGH-CCND1易位和BCL6重排的细胞周期蛋白D1阳性弥漫性大B细胞淋巴瘤:两例报告
Am J Clin Pathol. 2015 Feb;143(2):288-99. doi: 10.1309/AJCPUIDW2CPTA1JA.
3
Primary large B-cell lymphoma of the central nervous system with cyclin D1 expression and t(11;14) (IGH-CCND1): Diffuse large B-cell lymphoma with CCND1 rearrangement or mantle cell lymphoma?中枢神经系统原发性大 B 细胞淋巴瘤伴 cyclin D1 表达和 t(11;14) (IGH-CCND1):伴有 CCND1 重排的弥漫性大 B 细胞淋巴瘤还是套细胞淋巴瘤?
Hematol Oncol. 2020 Dec;38(5):817-822. doi: 10.1002/hon.2779. Epub 2020 Aug 13.
4
Identification of CD5/SOX11 double-negative pleomorphic mantle cell lymphoma.鉴定 CD5/SOX11 双阴性多形性套细胞淋巴瘤。
Virchows Arch. 2024 Aug;485(2):323-334. doi: 10.1007/s00428-024-03813-9. Epub 2024 May 11.
5
Mantle cell lymphomas with concomitant MYC and CCND1 breakpoints are recurrently TdT positive and frequently show high-grade pathological and genetic features.具有 MYC 和 CCND1 断裂点的套细胞淋巴瘤常常 TdT 阳性,并且常具有高级别的病理和遗传学特征。
Virchows Arch. 2021 Jul;479(1):133-145. doi: 10.1007/s00428-021-03022-8. Epub 2021 Feb 2.
6
SOX11+ Large B-Cell Neoplasms: Cyclin D1-Negative Blastoid/Pleomorphic Mantle Cell Lymphoma or Large B-Cell Lymphoma?SOX11 阳性大 B 细胞肿瘤:Cyclin D1 阴性淋巴母细胞样/多形性套细胞淋巴瘤还是大 B 细胞淋巴瘤?
Mod Pathol. 2024 Feb;37(2):100405. doi: 10.1016/j.modpat.2023.100405. Epub 2023 Dec 15.
7
CCND2 rearrangements are the most frequent genetic events in cyclin D1(-) mantle cell lymphoma.CCND2 重排是 cyclin D1(-) 套细胞淋巴瘤中最常见的遗传事件。
Blood. 2013 Feb 21;121(8):1394-402. doi: 10.1182/blood-2012-08-452284. Epub 2012 Dec 18.
8
and hijack immunoglobulin light-chain enhancers in cyclin D1 mantle cell lymphoma.并劫持免疫球蛋白轻链增强子在套细胞淋巴瘤中的 cyclin D1 中。
Blood. 2019 Feb 28;133(9):940-951. doi: 10.1182/blood-2018-07-862151. Epub 2018 Dec 11.
9
MRD Detection in B-Cell Non-Hodgkin Lymphomas Using Ig Gene Rearrangements and Chromosomal Translocations as Targets for Real-Time Quantitative PCR and ddPCR.采用 Ig 基因重排和染色体易位作为实时定量 PCR 和 ddPCR 的靶标,检测 B 细胞非霍奇金淋巴瘤中的微小残留病。
Methods Mol Biol. 2025;2865:189-219. doi: 10.1007/978-1-0716-4188-0_8.
10
Distinct Patterns of Colocalization of the CCND1 and CMYC Genes With Their Potential Translocation Partner IGH at Successive Stages of B-Cell Differentiation.CCND1和CMYC基因与其潜在易位伴侣IGH在B细胞分化连续阶段的共定位独特模式。
J Cell Biochem. 2016 Jul;117(7):1506-10. doi: 10.1002/jcb.25516. Epub 2016 Mar 6.

引用本文的文献

1
IGH/IGK gene rearrangement in the diagnosis of B-cell non-Hodgkin lymphoma: experience from three centers.IGH/IGK基因重排在B细胞非霍奇金淋巴瘤诊断中的应用:三个中心的经验
Ann Hematol. 2025 Jun 14. doi: 10.1007/s00277-025-06452-5.

本文引用的文献

1
Biological and clinical determinants shaping heterogeneity in mantle cell lymphoma.塑造套细胞淋巴瘤异质性的生物学和临床决定因素。
Blood Adv. 2024 Jul 23;8(14):3652-3664. doi: 10.1182/bloodadvances.2023011763.
2
Cytogenomics of B-cell non-Hodgkin lymphomas: The "old" meets the "new".B细胞非霍奇金淋巴瘤的细胞基因组学:“旧”与“新”的碰撞。
Best Pract Res Clin Haematol. 2023 Dec;36(4):101513. doi: 10.1016/j.beha.2023.101513. Epub 2023 Oct 10.
3
Outcomes of patients with blastoid and pleomorphic variant mantle cell lymphoma. blastoid 和多形性变异套细胞淋巴瘤患者的预后。
Blood Adv. 2023 Dec 26;7(24):7393-7401. doi: 10.1182/bloodadvances.2023010757.
4
Unexpected MYC::DMD translocation after transformation of follicular lymphoma with IGH::BCL2 and IGH::MYC.在滤泡性淋巴瘤经IGH::BCL2和IGH::MYC转化后出现意外的MYC::DMD易位。
Br J Haematol. 2023 Oct;203(2):e74-e77. doi: 10.1111/bjh.18994. Epub 2023 Jul 23.
5
RFcaller: a machine learning approach combined with read-level features to detect somatic mutations.RFcaller:一种结合读取水平特征以检测体细胞突变的机器学习方法。
NAR Genom Bioinform. 2023 May 30;5(2):lqad056. doi: 10.1093/nargab/lqad056. eCollection 2023 Jun.
6
Genomic landscape of follicular lymphoma across a wide spectrum of clinical behaviors.弥漫大 B 细胞淋巴瘤的基因组景观具有广泛的临床行为谱。
Hematol Oncol. 2023 Oct;41(4):631-643. doi: 10.1002/hon.3132. Epub 2023 Mar 30.
7
How I manage mantle cell lymphoma: indolent versus aggressive disease.我如何治疗套细胞淋巴瘤:惰性与侵袭性疾病
Br J Haematol. 2023 Apr;201(2):185-198. doi: 10.1111/bjh.18697. Epub 2023 Feb 20.
8
Genomic profiling for clinical decision making in lymphoid neoplasms.淋巴肿瘤临床决策的基因组分析。
Blood. 2022 Nov 24;140(21):2193-2227. doi: 10.1182/blood.2022015854.
9
Detection of early seeding of Richter transformation in chronic lymphocytic leukemia.检测慢性淋巴细胞白血病中 Richter 转化的早期播种。
Nat Med. 2022 Aug;28(8):1662-1671. doi: 10.1038/s41591-022-01927-8. Epub 2022 Aug 11.
10
Genomic and transcriptomic profiling reveals distinct molecular subsets associated with outcomes in mantle cell lymphoma.基因组和转录组谱分析揭示与套细胞淋巴瘤患者结局相关的不同分子亚群。
J Clin Invest. 2022 Feb 1;132(3). doi: 10.1172/JCI153283.