Suppr超能文献

颈静脉孔区神经鞘瘤与周围膜性结构的关系及其手术应用

The Relationship Between Jugular Foramen Schwannoma and Surrounding Membrane Structures and Its Surgical Application.

作者信息

Lin Jie, Cai Yonghua, Wang Hai, Liang Xianqiu, Xu Wei, Zhou Qixiong, Xie Sidi, Qi Songtao, Wang Chaohu, Zhang Xi'an

机构信息

Department of Neurosurgery, Nanfang Hospital, Southern Medical University, Guangzhou , Guangdong , China.

出版信息

Oper Neurosurg. 2025 May 1;28(5):641-650. doi: 10.1227/ons.0000000000001357. Epub 2024 Sep 27.

Abstract

BACKGROUND AND OBJECTIVES

Surgical resection of jugular foramen (JF) schwannomas with minimal neurological complications is challenging because of their difficult-to-access location and complex relationships with surrounding neurovascular structures, even for experienced neurosurgeons. In this article, we elucidate the membranous anatomy of JF schwannomas, with the aim of reducing iatrogenic injury to the lower cranial nerves (LCNs) during surgery.

METHODS

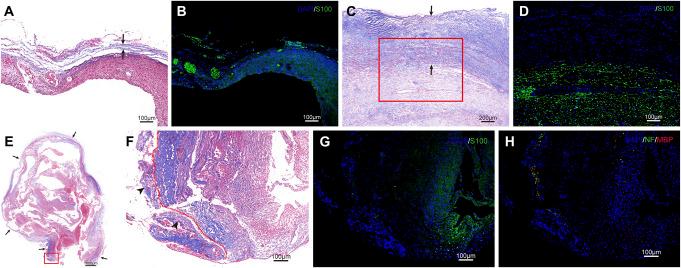
The clinical data of 31 consecutive patients with JF schwannomas were reviewed. The relationship between the tumor and the surrounding membranous structures was observed during dissection. Samples were analyzed using Masson's trichrome and immunofluorescence staining to study the membranous characteristics. Histological-radiographic correlations were also summarized.

RESULTS

In this series, we found that all 3 type B, 2 type C, and 8 type D tumors (according to the Kaye-Pellet grading system) were entirely extradural in location, whereas the 18 type A tumors could be subdural (9 cases) or extradural (9 cases), which frequently could not be predicted preoperatively based on whether the tumor had intraforaminal extension. The dural capsule, when present, could be used as an insulating layer to protect LCNs. With this subcapsular dissection technique, postoperative LCN dysfunction occurred in 10 patients (32.3%), which was usually temporary and mild.

CONCLUSION

The different relationships between the tumor and membranous structures of the JF is related to the distinct point of tumor origin and the complex anatomy of the meningeal dura within the JF. Subcapsular dissection technique is recommended for better preservation of LCNs when the dural capsule is identified.

摘要

背景与目的

由于颈静脉孔(JF)神经鞘瘤位置难以触及且与周围神经血管结构关系复杂,即使对于经验丰富的神经外科医生而言,以最小的神经并发症进行手术切除也具有挑战性。在本文中,我们阐明了JF神经鞘瘤的膜性解剖结构,旨在减少手术期间对下颅神经(LCNs)的医源性损伤。

方法

回顾了31例连续的JF神经鞘瘤患者的临床资料。在解剖过程中观察肿瘤与周围膜性结构的关系。使用Masson三色染色和免疫荧光染色对样本进行分析,以研究膜性特征。还总结了组织学与影像学的相关性。

结果

在本系列研究中,我们发现所有3例B型、2例C型和8例D型肿瘤(根据Kaye-Pellet分级系统)均完全位于硬膜外,而18例A型肿瘤可能位于硬膜下(9例)或硬膜外(9例),这在术前通常无法根据肿瘤是否有孔内延伸来预测。硬膜囊若存在,可作为绝缘层来保护LCNs。采用这种囊下解剖技术,10例患者(32.3%)出现术后LCN功能障碍,通常为暂时性且症状较轻。

结论

JF肿瘤与膜性结构之间的不同关系与肿瘤起源的不同部位以及JF内脑膜硬脑膜的复杂解剖结构有关。当识别出硬膜囊时,建议采用囊下解剖技术以更好地保留LCNs。

https://cdn.ncbi.nlm.nih.gov/pmc/blobs/0852/11981385/94988499a87b/ons-28-641-g001.jpg

相似文献

1
The Relationship Between Jugular Foramen Schwannoma and Surrounding Membrane Structures and Its Surgical Application.
Oper Neurosurg. 2025 May 1;28(5):641-650. doi: 10.1227/ons.0000000000001357. Epub 2024 Sep 27.
3
Surgical results, technical notes and complications of jugular foramen lesions via retroauricular infratemporal fossa approach.
Clin Neurol Neurosurg. 2024 Sep;244:108445. doi: 10.1016/j.clineuro.2024.108445. Epub 2024 Jul 16.
4
Stereotactic radio-neurosurgery for jugular foramen schwannomas.
Acta Neurochir (Wien). 2024 Aug 23;166(1):348. doi: 10.1007/s00701-024-06211-x.
5
[Jugular Foramen Schwannoma].
No Shinkei Geka. 2025 Jul;53(4):746-753. doi: 10.11477/mf.030126030530040746.

本文引用的文献

1
Lower Cranial Nerve Schwannomas: Cohort Study and Systematic Review.
Neurosurgery. 2024 Apr 1;94(4):745-755. doi: 10.1227/neu.0000000000002735. Epub 2023 Oct 24.
2
Surgical Management of Jugular Foramen Schwannomas.
Cancers (Basel). 2021 Aug 22;13(16):4218. doi: 10.3390/cancers13164218.
3
The PROCESS 2020 Guideline: Updating Consensus Preferred Reporting Of CasESeries in Surgery (PROCESS) Guidelines.
Int J Surg. 2020 Dec;84:231-235. doi: 10.1016/j.ijsu.2020.11.005. Epub 2020 Nov 12.
4
"Interdural" Surgical Strategy for Lower Cranial Nerve Neurinomas-A Report of 14 Cases.
World Neurosurg. 2020 Nov;143:e261-e267. doi: 10.1016/j.wneu.2020.07.109. Epub 2020 Jul 23.
5
Meningeal Architecture of the Jugular Foramen: An Anatomic Study Using Plastinated Histologic Sections.
World Neurosurg. 2019 Jul;127:e809-e817. doi: 10.1016/j.wneu.2019.03.272. Epub 2019 Apr 5.
6
The interperiosteodural concept applied to the jugular foramen and its compartmentalization.
J Neurosurg. 2018 Sep;129(3):770-778. doi: 10.3171/2017.1.JNS161890. Epub 2017 Sep 8.
8
Dural Septation on the Inner Surface of the Jugular Foramen: An Anatomical Study.
J Neurol Surg B Skull Base. 2015 Jun;76(3):214-7. doi: 10.1055/s-0034-1543973. Epub 2015 Jan 21.
9
Anatomic characteristics of the dural sheath of the trigeminal nerve.
Head Neck. 2016 Apr;38 Suppl 1:E185-8. doi: 10.1002/hed.23968. Epub 2015 Jun 20.
10
Microsurgical management of jugular foramen schwannomas.
Neurosurgery. 2013 Jan;72(1):42-6; discussion 46. doi: 10.1227/NEU.0b013e3182770e74.

文献AI研究员

20分钟写一篇综述,助力文献阅读效率提升50倍。

立即体验

用中文搜PubMed

大模型驱动的PubMed中文搜索引擎

马上搜索

文档翻译

学术文献翻译模型,支持多种主流文档格式。

立即体验