Suppr超能文献

青少年血清甲胎蛋白升高的卵巢支持-间质细胞瘤:一例罕见病例报告及文献复习。

An Ovarian Sertoli-Leydig Cell Tumor with Elevated Alpha-Fetoprotein in an Adolescent: A Rare Case Report and Literature Review.

机构信息

Faculty of Medicine, Vilnius University, LT-03101 Vilnius, Lithuania.

Clinic of Obstetrics and Gynaecology, Institute of Clinical Medicine, Faculty of Medicine, Vilnius University, LT-03101 Vilnius, Lithuania.

出版信息

Medicina (Kaunas). 2024 Sep 10;60(9):1477. doi: 10.3390/medicina60091477.

Abstract

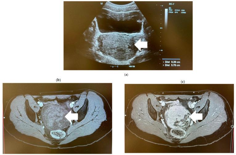
An ovarian Sertoli-Leydig cell tumor is a rare type of sex cord-stromal tumor of the ovary. Typically, it presents as abdominal pain or androgenic manifestations in women in the second to third decade of life. While cases of ovarian Sertoli-Leydig cell tumor associated with increased levels of alpha-fetoprotein are rare, they are reported to be the most common alpha-fetoprotein-producing ovarian non-germ cell tumor. We report the case of a 16-year-old patient, who presented with complaints of amenorrhea that had lasted for one year. Transabdominal ultrasound revealed the presence of a tumor in the right ovary, measuring 9.3 × 5.8 cm in size. The laboratory investigation showed an increased level of alpha-fetoprotein. The patient underwent laparoscopic right salpingo-oophorectomy. Histopathological examination confirmed the presence of a moderately differentiated (G2) Sertoli-Leydig cell tumor in the right ovary. For reproductive-age patients with disease confined to the ovary, fertility-sparing surgery is recommended. According to the current recommendations, the administration of adjuvant chemotherapy is indicated in cases of the presence of heterologous elements, poorly differentiated tumors, or FIGO stages IB-IV. As there were no high-risk factors and no residual disease in this case, there were no indications for further treatment with adjuvant chemotherapy. A recent follow-up visit showed that the patient is in complete remission. This report presents a detailed description of the findings, differential diagnosis, clinical course, chosen treatment, and prognosis. Also, a comprehensive literature review of ovarian Sertoli-Leydig cell tumors, focusing on their clinical presentation, laboratory findings, macroscopic and histopathological features, genetics, clinical management, prognostic factors and follow-up, is provided.

摘要

卵巢 Sertoli-Leydig 细胞瘤是一种罕见的卵巢性索-间质肿瘤。它通常表现为第二至第三十年纪女性的腹痛或雄激素表现。虽然伴有甲胎蛋白水平升高的卵巢 Sertoli-Leydig 细胞瘤病例罕见,但它们被认为是最常见的产生甲胎蛋白的卵巢非生殖细胞瘤。我们报告了 1 例 16 岁患者,因闭经 1 年就诊。经腹超声显示右侧卵巢有一个肿瘤,大小为 9.3×5.8cm。实验室检查显示甲胎蛋白水平升高。患者接受了腹腔镜右侧输卵管卵巢切除术。组织病理学检查证实右侧卵巢存在中分化(G2)Sertoli-Leydig 细胞瘤。对于局限于卵巢的疾病的生育期患者,建议进行保留生育功能的手术。根据目前的建议,对于存在异源性成分、低分化肿瘤或 FIGO 分期 IB-IV 的病例,应给予辅助化疗。由于该病例无高危因素且无残留疾病,因此无需进一步接受辅助化疗。最近的随访显示患者完全缓解。本报告详细描述了发现、鉴别诊断、临床过程、选择的治疗方法和预后。还提供了对卵巢 Sertoli-Leydig 细胞瘤的全面文献复习,重点介绍了其临床表现、实验室发现、大体和组织病理学特征、遗传学、临床管理、预后因素和随访。

https://cdn.ncbi.nlm.nih.gov/pmc/blobs/1359/11433753/a12cd5ba72a1/medicina-60-01477-g001.jpg

文献AI研究员

20分钟写一篇综述,助力文献阅读效率提升50倍。

立即体验

用中文搜PubMed

大模型驱动的PubMed中文搜索引擎

马上搜索

文档翻译

学术文献翻译模型,支持多种主流文档格式。

立即体验