• 文献检索
  • 文档翻译
  • 深度研究
  • 学术资讯
  • Suppr Zotero 插件Zotero 插件
  • 邀请有礼
  • 套餐&价格
  • 历史记录
应用&插件
Suppr Zotero 插件Zotero 插件浏览器插件Mac 客户端Windows 客户端微信小程序
定价
高级版会员购买积分包购买API积分包
服务
文献检索文档翻译深度研究API 文档MCP 服务
关于我们
关于 Suppr公司介绍联系我们用户协议隐私条款
关注我们

Suppr 超能文献

核心技术专利:CN118964589B侵权必究
粤ICP备2023148730 号-1Suppr @ 2026

文献检索

告别复杂PubMed语法,用中文像聊天一样搜索,搜遍4000万医学文献。AI智能推荐,让科研检索更轻松。

立即免费搜索

文件翻译

保留排版,准确专业,支持PDF/Word/PPT等文件格式,支持 12+语言互译。

免费翻译文档

深度研究

AI帮你快速写综述,25分钟生成高质量综述,智能提取关键信息,辅助科研写作。

立即免费体验

症状性血管痉挛对蛛网膜下腔出血后破裂椎动脉夹层动脉瘤的克拉生坦耐药:来自两个对比病例的临床意义。

Symptomatic Vasospasm Refractory to Clazosentan after Subarachnoid Hemorrhage of Ruptured Vertebral Artery Dissecting Aneurysm: Clinical Implications from Two Contrasting Cases.

机构信息

Department of Surgical Neurology, Research Institute for Brain and Blood Vessels, Akita Cerebrospinal and Cardiovascular Center, Akita 010-0874, Japan.

Department of Aging Research and Geriatric Medicine, Institute of Development, Aging and Cancer, Tohoku University, Aoba-ku, Sendai 980-8575, Japan.

出版信息

Medicina (Kaunas). 2024 Sep 20;60(9):1543. doi: 10.3390/medicina60091543.

DOI:10.3390/medicina60091543
PMID:39336584
原文链接:https://pmc.ncbi.nlm.nih.gov/articles/PMC11434283/
Abstract

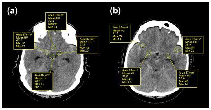
Clazosentan prevents vasospasms after aneurysmal subarachnoid hemorrhage (SAH). However, clinical data on patients with SAH with ruptured vertebral artery dissecting aneurysms (VADAs) are limited. We report the case of a 49-year-old male patient with mild-grade (WFNS grade 1) thick and diffuse (modified Fisher grade 3) SAH who underwent endovascular trapping of a ruptured VADA, resulting in a poor functional outcome with a modified Rankin Scale score of 4 due to severe symptomatic vasospasm refractory to clazosentan, requiring repeated rescue endovascular therapies and chronic communicating hydrocephalus. A retrospective analysis of the clot density in the basal and Sylvian cisterns, assessed by the Hounsfield unit (HU) values of serial CT scans, in this patient showed persistent higher values, distinct from another VADA case that showed a decline in HU values with a good clinical course. These results imply the limited effectiveness of clazosentan in cases of thick and diffuse SAH after a ruptured VADA, even in good-clinical-grade patients treated with less invasive modalities. The HU values may become a simple quantitative marker for predicting symptomatic vasospasms and chronic hydrocephalus.

摘要

克拉生坦可预防蛛网膜下腔出血(SAH)后的血管痉挛。然而,关于破裂椎动脉夹层动脉瘤(VADA)的 SAH 患者的临床数据有限。我们报告了一例 49 岁男性患者,其为轻度(WFNS 分级 1)厚且弥漫(改良 Fisher 分级 3)SAH,接受了破裂 VADA 的血管内夹闭术,由于严重的症状性血管痉挛对克拉生坦无反应,需要反复进行血管内救援治疗和慢性交通性脑积水,导致功能预后不良,改良 Rankin 量表评分为 4。对该患者的基底池和外侧裂池的血栓密度进行回顾性分析,通过连续 CT 扫描的亨氏单位(HU)值评估,发现持续存在较高的 HU 值,与另一例 HU 值下降、临床过程良好的 VADA 病例不同。这些结果表明,即使在接受侵袭性较小的治疗方式的良好临床分级患者中,克拉生坦在破裂 VADA 后发生厚且弥漫性 SAH 时的疗效有限。HU 值可能成为预测症状性血管痉挛和慢性脑积水的简单定量标志物。

https://cdn.ncbi.nlm.nih.gov/pmc/blobs/6c1d/11434283/5972f6c6174b/medicina-60-01543-g006.jpg
https://cdn.ncbi.nlm.nih.gov/pmc/blobs/6c1d/11434283/c9f3a7814f0e/medicina-60-01543-g001.jpg
https://cdn.ncbi.nlm.nih.gov/pmc/blobs/6c1d/11434283/e49d4f6ae132/medicina-60-01543-g002.jpg
https://cdn.ncbi.nlm.nih.gov/pmc/blobs/6c1d/11434283/872f4ca4b609/medicina-60-01543-g003.jpg
https://cdn.ncbi.nlm.nih.gov/pmc/blobs/6c1d/11434283/9739d700e8cd/medicina-60-01543-g004.jpg
https://cdn.ncbi.nlm.nih.gov/pmc/blobs/6c1d/11434283/b77e9692fe84/medicina-60-01543-g005.jpg
https://cdn.ncbi.nlm.nih.gov/pmc/blobs/6c1d/11434283/5972f6c6174b/medicina-60-01543-g006.jpg
https://cdn.ncbi.nlm.nih.gov/pmc/blobs/6c1d/11434283/c9f3a7814f0e/medicina-60-01543-g001.jpg
https://cdn.ncbi.nlm.nih.gov/pmc/blobs/6c1d/11434283/e49d4f6ae132/medicina-60-01543-g002.jpg
https://cdn.ncbi.nlm.nih.gov/pmc/blobs/6c1d/11434283/872f4ca4b609/medicina-60-01543-g003.jpg
https://cdn.ncbi.nlm.nih.gov/pmc/blobs/6c1d/11434283/9739d700e8cd/medicina-60-01543-g004.jpg
https://cdn.ncbi.nlm.nih.gov/pmc/blobs/6c1d/11434283/b77e9692fe84/medicina-60-01543-g005.jpg
https://cdn.ncbi.nlm.nih.gov/pmc/blobs/6c1d/11434283/5972f6c6174b/medicina-60-01543-g006.jpg

相似文献

1
Symptomatic Vasospasm Refractory to Clazosentan after Subarachnoid Hemorrhage of Ruptured Vertebral Artery Dissecting Aneurysm: Clinical Implications from Two Contrasting Cases.症状性血管痉挛对蛛网膜下腔出血后破裂椎动脉夹层动脉瘤的克拉生坦耐药:来自两个对比病例的临床意义。
Medicina (Kaunas). 2024 Sep 20;60(9):1543. doi: 10.3390/medicina60091543.
2
Thick and Diffuse Subarachnoid Blood as a Treatment Effect Modifier of Clazosentan After Subarachnoid Hemorrhage.蛛网膜下腔血厚且弥漫作为蛛网膜下腔出血后克拉生坦的治疗效果修饰剂。
Stroke. 2019 Oct;50(10):2738-2744. doi: 10.1161/STROKEAHA.119.025682. Epub 2019 Aug 9.
3
Thick and diffuse cisternal clot independently predicts vasospasm-related morbidity and poor outcome after aneurysmal subarachnoid hemorrhage.厚而弥漫的脑池血栓独立预测动脉瘤性蛛网膜下腔出血后与血管痉挛相关的发病率和不良预后。
J Neurosurg. 2020 May 22;134(5):1553-1561. doi: 10.3171/2020.3.JNS193400. Print 2021 May 1.
4
An Update on the Efficacy and Safety Profile of Clazosentan in Cerebral Vasospasm After Aneurysmal Subarachnoid Hemorrhage: A Meta-Analysis.氯沙坦治疗动脉瘤性蛛网膜下腔出血后脑血管痉挛的疗效和安全性概况更新:一项荟萃分析
World Neurosurg. 2019 Mar;123:e235-e244. doi: 10.1016/j.wneu.2018.11.143. Epub 2018 Nov 27.
5
Randomised trial of clazosentan, an endothelin receptor antagonist, in patients with aneurysmal subarachnoid hemorrhage undergoing surgical clipping (CONSCIOUS-2).内皮素受体拮抗剂克拉生坦用于接受外科夹闭术的动脉瘤性蛛网膜下腔出血患者的随机试验(CONSCIOUS-2)
Acta Neurochir Suppl. 2013;115:27-31. doi: 10.1007/978-3-7091-1192-5_7.
6
Reversal of Vasospasm with Clazosentan After Aneurysmal Subarachnoid Hemorrhage: A Pilot Study.氯苯唑酸治疗动脉瘤性蛛网膜下腔出血后血管痉挛的逆转:一项初步研究。
World Neurosurg. 2019 Aug;128:e639-e648. doi: 10.1016/j.wneu.2019.04.222. Epub 2019 May 2.
7
Clazosentan, an endothelin receptor antagonist, in patients with aneurysmal subarachnoid haemorrhage undergoing surgical clipping: a randomised, double-blind, placebo-controlled phase 3 trial (CONSCIOUS-2).克拉生坦,一种内皮素受体拮抗剂,在接受手术夹闭的颅内动脉瘤性蛛网膜下腔出血患者中的应用:一项随机、双盲、安慰剂对照的 3 期临床试验(CONSCIOUS-2)。
Lancet Neurol. 2011 Jul;10(7):618-25. doi: 10.1016/S1474-4422(11)70108-9. Epub 2011 Jun 2.
8
Dissociation of vasospasm-related morbidity and outcomes in patients with aneurysmal subarachnoid hemorrhage treated with clazosentan: a meta-analysis of randomized controlled trials.克拉生坦治疗蛛网膜下腔出血后血管痉挛相关发病率和结局的分离:随机对照试验的荟萃分析。
J Neurosurg. 2013 Jul;119(1):180-9. doi: 10.3171/2013.3.JNS121436. Epub 2013 May 3.
9
Clazosentan to overcome neurological ischemia and infarction occurring after subarachnoid hemorrhage (CONSCIOUS-1): randomized, double-blind, placebo-controlled phase 2 dose-finding trial.克拉生坦治疗蛛网膜下腔出血后发生的神经缺血和梗死(CONSCIOUS-1):随机、双盲、安慰剂对照2期剂量探索试验
Stroke. 2008 Nov;39(11):3015-21. doi: 10.1161/STROKEAHA.108.519942. Epub 2008 Aug 7.
10
Preventive Effect of Clazosentan against Cerebral Vasospasm after Clipping Surgery for Aneurysmal Subarachnoid Hemorrhage in Japanese and Korean Patients.在日本和韩国患者中,克拉生坦对动脉瘤性蛛网膜下腔出血夹闭术后脑血管痉挛的预防作用。
Cerebrovasc Dis. 2017;44(1-2):59-67. doi: 10.1159/000475824. Epub 2017 May 3.

本文引用的文献

1
REACT: a randomized trial to assess the efficacy and safety of clazosentan for preventing clinical deterioration due to delayed cerebral ischemia after aneurysmal subarachnoid hemorrhage.REACT:一项评估克拉生坦预防动脉瘤性蛛网膜下腔出血后因迟发性脑缺血导致临床病情恶化的疗效和安全性的随机试验。
J Neurosurg. 2024 Aug 9;142(1):98-109. doi: 10.3171/2024.4.JNS232191. Print 2025 Jan 1.
2
The effectiveness and safety of clazosentan in treating aneurysmal subarachnoid hemorrhage: A systematic review and meta-analysis.克拉生坦治疗蛛网膜下腔出血的有效性和安全性:系统评价和荟萃分析。
J Clin Neurosci. 2024 Aug;126:173-181. doi: 10.1016/j.jocn.2024.06.019. Epub 2024 Jun 25.
3
Prophylactic management of cerebral vasospasm with clazosentan in real clinical practice: a single-center retrospective cohort study.
在实际临床实践中使用克拉生坦对脑血管痉挛进行预防性治疗:一项单中心回顾性队列研究。
Front Neurol. 2024 Jun 6;15:1413632. doi: 10.3389/fneur.2024.1413632. eCollection 2024.
4
Successful Fluid Management in Respiratory Failure due to Clazosentan Following a Cerebral Aneurysm Clipping: A Case Report.脑动脉瘤夹闭术后因使用克拉生坦导致呼吸衰竭的成功液体管理:一例报告
Cureus. 2024 Feb 25;16(2):e54850. doi: 10.7759/cureus.54850. eCollection 2024 Feb.
5
Comparison of efficacy between clazosentan and fasudil hydrochloride-based management of vasospasm after subarachnoid hemorrhage focusing on older and WFNS grade V patients: a single-center experience in Japan.比较氯苯唑酸和盐酸法舒地尔在蛛网膜下腔出血后血管痉挛治疗中的疗效:日本单中心经验,重点关注老年和 WFNS 分级 V 患者。
Neurosurg Rev. 2024 Mar 13;47(1):113. doi: 10.1007/s10143-024-02345-9.
6
Diagnosis and management of subarachnoid haemorrhage.蛛网膜下腔出血的诊断与治疗。
Nat Commun. 2024 Feb 29;15(1):1850. doi: 10.1038/s41467-024-46015-2.
7
Factors Influencing Discontinuation of Clazosentan Therapy in Elderly Patients with Aneurysmal Subarachnoid Hemorrhage: A Retrospective Study from a Japanese Single Center.影响老年动脉瘤性蛛网膜下腔出血患者停用克拉生坦治疗的因素:来自日本单中心的回顾性研究。
Med Sci Monit. 2024 Feb 16;30:e943303. doi: 10.12659/MSM.943303.
8
Cardiopulmonary Events of the Elderly (≥75 Years) during Clazosentan Therapy after Subarachnoid Hemorrhage: A Retrospective Study from a Tertiary Stroke Center in Japan.日本某三级卒中中心关于蛛网膜下腔出血后使用克拉生坦治疗期间老年患者(≥75岁)心肺事件的回顾性研究
Medicina (Kaunas). 2024 Jan 21;60(1):185. doi: 10.3390/medicina60010185.
9
Initial real-world experience of clazosentan for subarachnoid hemorrhage in Japan.日本使用克拉生坦治疗蛛网膜下腔出血的初步真实世界经验。
World Neurosurg X. 2023 Dec 5;21:100253. doi: 10.1016/j.wnsx.2023.100253. eCollection 2024 Jan.
10
Hounsfield unit as a predictor of symptomatic vasospasm and hydrocephalus in good-grade subarachnoid hemorrhage treated with endovascular coiling.亨斯菲尔德单位作为血管内栓塞治疗的良好分级蛛网膜下腔出血患者症状性血管痉挛和脑积水的预测指标。
Quant Imaging Med Surg. 2023 Oct 1;13(10):6627-6635. doi: 10.21037/qims-23-355. Epub 2023 Aug 14.