• 文献检索
  • 文档翻译
  • 深度研究
  • 学术资讯
  • Suppr Zotero 插件Zotero 插件
  • 邀请有礼
  • 套餐&价格
  • 历史记录
应用&插件
Suppr Zotero 插件Zotero 插件浏览器插件Mac 客户端Windows 客户端微信小程序
定价
高级版会员购买积分包购买API积分包
服务
文献检索文档翻译深度研究API 文档MCP 服务
关于我们
关于 Suppr公司介绍联系我们用户协议隐私条款
关注我们

Suppr 超能文献

核心技术专利:CN118964589B侵权必究
粤ICP备2023148730 号-1Suppr @ 2026

文献检索

告别复杂PubMed语法,用中文像聊天一样搜索,搜遍4000万医学文献。AI智能推荐,让科研检索更轻松。

立即免费搜索

文件翻译

保留排版,准确专业,支持PDF/Word/PPT等文件格式,支持 12+语言互译。

免费翻译文档

深度研究

AI帮你快速写综述,25分钟生成高质量综述,智能提取关键信息,辅助科研写作。

立即免费体验

运动训练上调 CD55 以抑制帕金森病中的补体介导的突触吞噬作用。

Exercise training upregulates CD55 to suppress complement-mediated synaptic phagocytosis in Parkinson's disease.

机构信息

Department of Neurology and Neurological Rehabilitation, Shanghai Disabled Persons' Federation Key Laboratory of Intelligent Rehabilitation Assistive Devices and Technologies, Yangzhi Rehabilitation Hospital (Shanghai Sunshine Rehabilitation Center), School of Medicine, Tongji University, Shanghai, China.

Neurotoxin Research Center, Key Laboratory of Spine and Spinal Cord Injury Repair and Regeneration of Ministry of Education, Department of Neurology, Tongji Hospital, School of Medicine, Tongji University, Shanghai, China.

出版信息

J Neuroinflammation. 2024 Sep 28;21(1):246. doi: 10.1186/s12974-024-03234-0.

DOI:10.1186/s12974-024-03234-0
PMID:39342308
原文链接:https://pmc.ncbi.nlm.nih.gov/articles/PMC11439226/
Abstract

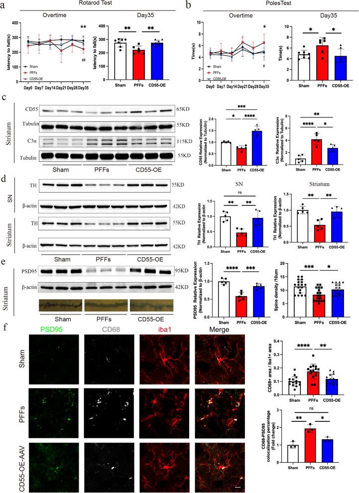
The primary pathological change in Parkinson's disease (PD) is the progressive degeneration of dopaminergic neurons in the substantia nigra. Additionally, excessive microglial activation and synaptic loss are also typical features observed in PD samples. Exercise trainings have been proven to improve PD symptoms, delay the disease progression as well as affect excessive microglial synaptic phagocytosis. In this study, we established a mouse model of PD by injecting mouse-derived α-synuclein preformed fibrils (M-α-syn PFFs) into the substantia nigra, and demonstrated that treadmill exercise inhibits microglial activation and synaptic phagocytosis in striatum. Using RNA-Seq and proteomics, we also found that PD involves excessive activation of the complement pathway which is closely related to over-activation of microglia and abnormal synaptic function. More importantly, exercise training can inhibit complement levels and complement-mediated microglial phagocytosis of synapses. It is probably triggered by CD55, as we observed that CD55 in the striatum significantly increased after exercise training and up-regulation of that molecule rescued motor deficits of PD mice, accompanied with reduced microglial synaptic phagocytosis in the striatum. This research elucidated the interplay among microglia, complement, and synapses, and analyzed the effects of exercise training on these factors. Our work also suggested CD55 as a complement-relevant candidate molecule for developing therapeutic strategies of PD.

摘要

帕金森病(PD)的主要病理学变化是黑质中多巴胺能神经元的进行性退化。此外,过度的小胶质细胞激活和突触丢失也是 PD 样本中的典型特征。运动训练已被证明可以改善 PD 症状,延缓疾病进展,并影响过度的小胶质细胞突触吞噬作用。在这项研究中,我们通过将源自小鼠的α-突触核蛋白原纤维(M-α-syn PFFs)注射到黑质中来建立 PD 小鼠模型,并证明跑步机运动抑制纹状体中小胶质细胞的激活和突触吞噬作用。通过 RNA-Seq 和蛋白质组学,我们还发现 PD 涉及补体途径的过度激活,这与小胶质细胞的过度激活和异常突触功能密切相关。更重要的是,运动训练可以抑制补体水平和补体介导的突触小胶质细胞吞噬作用。这可能是由 CD55 触发的,因为我们观察到运动训练后纹状体中的 CD55 明显增加,并且该分子的上调挽救了 PD 小鼠的运动缺陷,伴随着纹状体中小胶质细胞突触吞噬作用的减少。这项研究阐明了小胶质细胞、补体和突触之间的相互作用,并分析了运动训练对这些因素的影响。我们的工作还表明 CD55 作为一种与补体相关的候选分子,可用于开发 PD 的治疗策略。

https://cdn.ncbi.nlm.nih.gov/pmc/blobs/5bde/11439226/5aa8cde5a2ca/12974_2024_3234_Fig7_HTML.jpg
https://cdn.ncbi.nlm.nih.gov/pmc/blobs/5bde/11439226/72f334d3dc04/12974_2024_3234_Fig1_HTML.jpg
https://cdn.ncbi.nlm.nih.gov/pmc/blobs/5bde/11439226/befc24394886/12974_2024_3234_Fig2_HTML.jpg
https://cdn.ncbi.nlm.nih.gov/pmc/blobs/5bde/11439226/61d2a9cd17e2/12974_2024_3234_Fig3_HTML.jpg
https://cdn.ncbi.nlm.nih.gov/pmc/blobs/5bde/11439226/bd3d003fc647/12974_2024_3234_Fig4_HTML.jpg
https://cdn.ncbi.nlm.nih.gov/pmc/blobs/5bde/11439226/7582321deae3/12974_2024_3234_Fig5_HTML.jpg
https://cdn.ncbi.nlm.nih.gov/pmc/blobs/5bde/11439226/db5ad1eaf729/12974_2024_3234_Fig6_HTML.jpg
https://cdn.ncbi.nlm.nih.gov/pmc/blobs/5bde/11439226/5aa8cde5a2ca/12974_2024_3234_Fig7_HTML.jpg
https://cdn.ncbi.nlm.nih.gov/pmc/blobs/5bde/11439226/72f334d3dc04/12974_2024_3234_Fig1_HTML.jpg
https://cdn.ncbi.nlm.nih.gov/pmc/blobs/5bde/11439226/befc24394886/12974_2024_3234_Fig2_HTML.jpg
https://cdn.ncbi.nlm.nih.gov/pmc/blobs/5bde/11439226/61d2a9cd17e2/12974_2024_3234_Fig3_HTML.jpg
https://cdn.ncbi.nlm.nih.gov/pmc/blobs/5bde/11439226/bd3d003fc647/12974_2024_3234_Fig4_HTML.jpg
https://cdn.ncbi.nlm.nih.gov/pmc/blobs/5bde/11439226/7582321deae3/12974_2024_3234_Fig5_HTML.jpg
https://cdn.ncbi.nlm.nih.gov/pmc/blobs/5bde/11439226/db5ad1eaf729/12974_2024_3234_Fig6_HTML.jpg
https://cdn.ncbi.nlm.nih.gov/pmc/blobs/5bde/11439226/5aa8cde5a2ca/12974_2024_3234_Fig7_HTML.jpg

相似文献

1
Exercise training upregulates CD55 to suppress complement-mediated synaptic phagocytosis in Parkinson's disease.运动训练上调 CD55 以抑制帕金森病中的补体介导的突触吞噬作用。
J Neuroinflammation. 2024 Sep 28;21(1):246. doi: 10.1186/s12974-024-03234-0.
2
Ciita Regulates Local and Systemic Immune Responses in a Combined rAAV-α-synuclein and Preformed Fibril-Induced Rat Model for Parkinson's Disease.Ciita 在联合 rAAV-α-突触核蛋白和原纤维诱导的帕金森病大鼠模型中调节局部和全身免疫反应。
J Parkinsons Dis. 2024;14(4):693-711. doi: 10.3233/JPD-240062.
3
Microglia affect α-synuclein cell-to-cell transfer in a mouse model of Parkinson's disease.小胶质细胞影响帕金森病小鼠模型中α-突触核蛋白的细胞间转移。
Mol Neurodegener. 2019 Aug 16;14(1):34. doi: 10.1186/s13024-019-0335-3.
4
Further Characterization of Intrastriatal Lipopolysaccharide Model of Parkinson's Disease in C57BL/6 Mice.纹状体内脂多糖帕金森病模型在 C57BL/6 小鼠中的进一步特征描述。
Int J Mol Sci. 2021 Jul 9;22(14):7380. doi: 10.3390/ijms22147380.
5
T cell infiltration and upregulation of MHCII in microglia leads to accelerated neuronal loss in an α-synuclein rat model of Parkinson's disease.T 细胞浸润和小胶质细胞中 MHCII 的上调导致帕金森病 α-突触核蛋白大鼠模型中神经元的加速丢失。
J Neuroinflammation. 2020 Aug 15;17(1):242. doi: 10.1186/s12974-020-01911-4.
6
Protein kinase Cδ upregulation in microglia drives neuroinflammatory responses and dopaminergic neurodegeneration in experimental models of Parkinson's disease.小胶质细胞中蛋白激酶Cδ的上调在帕金森病实验模型中驱动神经炎症反应和多巴胺能神经变性。
Neurobiol Dis. 2016 Sep;93:96-114. doi: 10.1016/j.nbd.2016.04.008. Epub 2016 May 2.
7
A breakdown in microglial metabolic reprogramming causes internalization dysfunction of α-synuclein in a mouse model of Parkinson's disease.α-突触核蛋白内化功能障碍导致帕金森病小鼠模型中小胶质细胞代谢重编程的崩溃。
J Neuroinflammation. 2022 May 22;19(1):113. doi: 10.1186/s12974-022-02484-0.
8
Complement C1q/C3-CR3 signaling pathway mediates abnormal microglial phagocytosis of synapses in a mouse model of depression.补体 C1q/C3-CR3 信号通路介导抑郁模型中小鼠突触异常的小胶质细胞吞噬作用。
Brain Behav Immun. 2024 Jul;119:454-464. doi: 10.1016/j.bbi.2024.04.018. Epub 2024 Apr 18.
9
Treadmill exercise produces neuroprotective effects in a murine model of Parkinson's disease by regulating the TLR2/MyD88/NF-κB signaling pathway.跑步机运动通过调节TLR2/MyD88/NF-κB信号通路在帕金森病小鼠模型中产生神经保护作用。
Neuroscience. 2017 Jul 25;356:102-113. doi: 10.1016/j.neuroscience.2017.05.016. Epub 2017 May 18.
10
Microglial exosomes facilitate α-synuclein transmission in Parkinson's disease.小胶质细胞外泌体促进帕金森病中α-突触核蛋白的传播。
Brain. 2020 May 1;143(5):1476-1497. doi: 10.1093/brain/awaa090.

引用本文的文献

1
New perspectives on molecular mechanisms underlying exercise-induced benefits in Parkinson's disease.帕金森病运动诱导益处潜在分子机制的新视角。
NPJ Parkinsons Dis. 2025 Aug 23;11(1):256. doi: 10.1038/s41531-025-01113-w.
2
Multiomics Integration of Parkinson's Disease Datasets Reveals Unexpected Roles of IRE1 in Its Pathology.帕金森病数据集的多组学整合揭示了IRE1在其病理过程中的意外作用。
Int J Mol Sci. 2025 Jul 12;26(14):6711. doi: 10.3390/ijms26146711.
3
A Comprehensive Study of Circulating Blood Linear RNA nominates and as novel causal genes and early-stage biomarkers for Parkinson's Disease.

本文引用的文献

1
Complement C1q/C3-CR3 signaling pathway mediates abnormal microglial phagocytosis of synapses in a mouse model of depression.补体 C1q/C3-CR3 信号通路介导抑郁模型中小鼠突触异常的小胶质细胞吞噬作用。
Brain Behav Immun. 2024 Jul;119:454-464. doi: 10.1016/j.bbi.2024.04.018. Epub 2024 Apr 18.
2
Parkinson's disease-derived α-synuclein assemblies combined with chronic-type inflammatory cues promote a neurotoxic microglial phenotype.帕金森病源性α-突触核蛋白聚集体与慢性炎症线索结合,促进神经毒性小胶质细胞表型。
J Neuroinflammation. 2024 Feb 21;21(1):54. doi: 10.1186/s12974-024-03043-5.
3
Effects of physical exercise interventions on balance, postural stability and general mobility in Parkinson's disease: a network meta-analysis.
一项关于循环血液线性RNA的综合研究将[具体基因1]和[具体基因2]确定为帕金森病的新型致病基因和早期生物标志物。
medRxiv. 2025 Jun 20:2025.06.20.25329948. doi: 10.1101/2025.06.20.25329948.
运动干预对帕金森病患者平衡、姿势稳定性和整体活动能力的影响:网络荟萃分析。
J Rehabil Med. 2024 Feb 1;56:jrm10329. doi: 10.2340/jrm.v56.10329.
4
Analgesic Effect of Exercise on Neuropathic Pain via Regulating the Complement Component 3 of Reactive Astrocytes.运动通过调节反应性星形胶质细胞的补体成分3对神经性疼痛的镇痛作用。
Anesth Analg. 2024 Oct 1;139(4):840-850. doi: 10.1213/ANE.0000000000006884. Epub 2024 Jan 31.
5
Parkinson's Disease: Advances in Treatment and the Syntheses of Various Classes of Pharmaceutical Drug Substances.帕金森病:治疗进展及各类药物原料药的合成。
Chem Rev. 2023 Dec 13;123(23):13693-13712. doi: 10.1021/acs.chemrev.3c00479. Epub 2023 Nov 17.
6
Aerobic exercise regulates GPR81 signal pathway and mediates complement- microglia axis homeostasis on synaptic protection in the early stage of Alzheimer's disease.有氧运动调节 GPR81 信号通路,并在阿尔茨海默病早期通过调节补体-小胶质细胞轴平衡来介导突触保护。
Life Sci. 2023 Oct 15;331:122042. doi: 10.1016/j.lfs.2023.122042. Epub 2023 Aug 25.
7
Physical exercise modulates the microglial complement pathway in mice to relieve cortical circuitry deficits induced by mutant human TDP-43.体育锻炼可调节小鼠小胶质细胞补体途径,以缓解由突变型人类TDP-43诱导的皮质神经回路缺陷。
Cell Rep. 2023 Mar 28;42(3):112240. doi: 10.1016/j.celrep.2023.112240. Epub 2023 Mar 15.
8
Long-term voluntary exercise inhibited AGE/RAGE and microglial activation and reduced the loss of dendritic spines in the hippocampi of APP/PS1 transgenic mice.长期自愿运动可抑制APP/PS1转基因小鼠海马体中的晚期糖基化终末产物/晚期糖基化终末产物受体(AGE/RAGE)和小胶质细胞激活,并减少树突棘的丢失。
Exp Neurol. 2023 May;363:114371. doi: 10.1016/j.expneurol.2023.114371. Epub 2023 Mar 4.
9
Microglia and astrocyte activation is region-dependent in the α-synuclein mouse model of Parkinson's disease.在帕金森病的α-突触核蛋白小鼠模型中,小胶质细胞和星形胶质细胞的激活具有区域依赖性。
Glia. 2023 Mar;71(3):571-587. doi: 10.1002/glia.24295. Epub 2022 Nov 10.
10
Transcriptional Profiling Reveals Brain Region-Specific Gene Networks Regulated in Exercise in a Mouse Model of Parkinson's Disease.转录谱分析揭示帕金森病小鼠模型运动中受调控的脑区特异性基因网络。
Front Aging Neurosci. 2022 Jun 23;14:891644. doi: 10.3389/fnagi.2022.891644. eCollection 2022.