• 文献检索
  • 文档翻译
  • 深度研究
  • 学术资讯
  • Suppr Zotero 插件Zotero 插件
  • 邀请有礼
  • 套餐&价格
  • 历史记录
应用&插件
Suppr Zotero 插件Zotero 插件浏览器插件Mac 客户端Windows 客户端微信小程序
定价
高级版会员购买积分包购买API积分包
服务
文献检索文档翻译深度研究API 文档MCP 服务
关于我们
关于 Suppr公司介绍联系我们用户协议隐私条款
关注我们

Suppr 超能文献

核心技术专利:CN118964589B侵权必究
粤ICP备2023148730 号-1Suppr @ 2026

文献检索

告别复杂PubMed语法,用中文像聊天一样搜索,搜遍4000万医学文献。AI智能推荐,让科研检索更轻松。

立即免费搜索

文件翻译

保留排版,准确专业,支持PDF/Word/PPT等文件格式,支持 12+语言互译。

免费翻译文档

深度研究

AI帮你快速写综述,25分钟生成高质量综述,智能提取关键信息,辅助科研写作。

立即免费体验

额叶脑膜瘤的神经精神表现:一例报告

Neuropsychiatric Manifestations of a Frontal Lobe Meningioma: A Case Report.

作者信息

Bokhari Syed Ali, Elnoor Muhanad, Al Mansour Alma, Mustafa Khalid, Osman Abdelaziz

机构信息

Psychiatry, Al Amal Psychiatric Hospital, Emirates Health Services, Dubai, ARE.

Emergency Medicine, Al Qassimi Hospital, Emirates Health Services, Sharjah, ARE.

出版信息

Cureus. 2024 Aug 29;16(8):e68101. doi: 10.7759/cureus.68101. eCollection 2024 Aug.

DOI:10.7759/cureus.68101
PMID:39347214
原文链接:https://pmc.ncbi.nlm.nih.gov/articles/PMC11438519/
Abstract

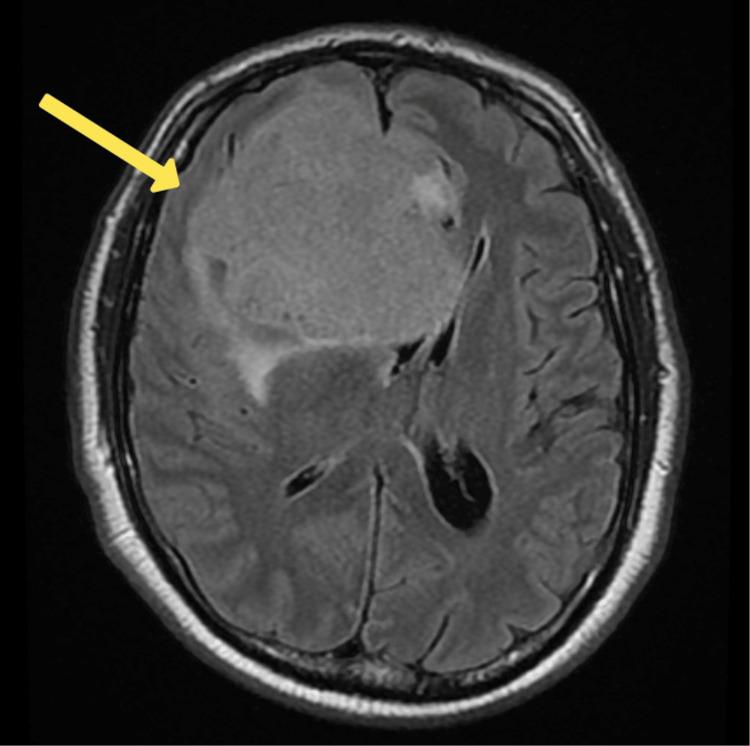
The exclusion of organic causes for psychiatric symptoms is a routine practice in mental healthcare. Brain tumors can elicit a range of mood, behavioral, or cognitive symptoms that mimic mental health disorders, significantly altering a patient's personality and behavior if left undiagnosed or untreated. This case report presents a 56-year-old Middle Eastern male with no prior history of mental illness who exhibited a three-week history of depressive symptoms, social withdrawal, and poor self-care. Despite treatment, his condition deteriorated, manifesting psychomotor retardation, urinary incontinence, paranoia, mood lability, and sexually disinhibited behavior. Neuroimaging revealed a large extra-axial mass in the anterior cranial fossa, indicative of a meningioma, necessitating referral to neurosurgery. CT and MRI scans confirmed a hyperdense mass lesion (7.1 x 7.7 x 7.5 cm), causing structural erosion and a midline shift. This case underscores the importance of considering organic causes in atypical psychiatric presentations. Meningiomas, particularly those in the frontal lobes, can present primarily with psychiatric symptoms, complicating early diagnosis. Neuroimaging is critical for accurate diagnosis and effective management in such cases. Clinicians should be vigilant for organic causes in patients with atypical psychiatric symptoms, especially in those over 50. Early neuroimaging can lead to timely diagnosis and treatment, significantly improving patient outcomes.

摘要

在精神卫生保健中,排除精神症状的器质性病因是一种常规做法。脑肿瘤可引发一系列情绪、行为或认知症状,这些症状酷似精神健康障碍,如果未被诊断或治疗,会显著改变患者的性格和行为。本病例报告介绍了一名56岁的中东男性,他既往无精神疾病史,出现了为期三周的抑郁症状、社交退缩和自我照料不佳的情况。尽管接受了治疗,他的病情仍恶化,表现出精神运动迟缓、尿失禁、妄想、情绪不稳定和性抑制行为。神经影像学检查显示颅前窝有一个巨大的轴外肿块,提示为脑膜瘤,需要转诊至神经外科。CT和MRI扫描证实有一个高密度肿块病变(7.1×7.7×7.5厘米),导致结构侵蚀和中线移位。本病例强调了在非典型精神症状表现中考虑器质性病因的重要性。脑膜瘤,尤其是额叶的脑膜瘤,可能主要表现为精神症状,使早期诊断复杂化。在此类病例中,神经影像学检查对于准确诊断和有效管理至关重要。临床医生应对有非典型精神症状的患者,尤其是50岁以上的患者警惕器质性病因。早期神经影像学检查可实现及时诊断和治疗,显著改善患者预后。

https://cdn.ncbi.nlm.nih.gov/pmc/blobs/a52b/11438519/8b11d3a77947/cureus-0016-00000068101-i02.jpg
https://cdn.ncbi.nlm.nih.gov/pmc/blobs/a52b/11438519/2cf04ec74028/cureus-0016-00000068101-i01.jpg
https://cdn.ncbi.nlm.nih.gov/pmc/blobs/a52b/11438519/8b11d3a77947/cureus-0016-00000068101-i02.jpg
https://cdn.ncbi.nlm.nih.gov/pmc/blobs/a52b/11438519/2cf04ec74028/cureus-0016-00000068101-i01.jpg
https://cdn.ncbi.nlm.nih.gov/pmc/blobs/a52b/11438519/8b11d3a77947/cureus-0016-00000068101-i02.jpg

相似文献

1
Neuropsychiatric Manifestations of a Frontal Lobe Meningioma: A Case Report.额叶脑膜瘤的神经精神表现:一例报告
Cureus. 2024 Aug 29;16(8):e68101. doi: 10.7759/cureus.68101. eCollection 2024 Aug.
2
Letter to the Editor: Depression As The First Symptom Of Frontal Lobe Grade 2 Malignant Glioma.给编辑的信:额颞叶 2 级恶性胶质瘤的首发症状为抑郁。
Turk Psikiyatri Derg. 2022 Summer;33(2):143-145. doi: 10.5080/u25957.
3
Meningioma and psychiatric symptoms: An individual patient data analysis.脑膜瘤与精神症状:一项基于个体患者数据的分析。
Asian J Psychiatr. 2019 Apr;42:94-103. doi: 10.1016/j.ajp.2019.03.029. Epub 2019 Mar 28.
4
Psychiatric Manifestations as the Primary Presentation of Frontal Meningioma.以精神症状为首发表现的额叶脑膜瘤
Ochsner J. 2023 Summer;23(2):167-171. doi: 10.31486/toj.22.0112.
5
[Psychiatric manifestations of vitamin B12 deficiency: a case report].[维生素B12缺乏的精神症状:一例报告]
Encephale. 2003 Nov-Dec;29(6):560-5.
6
Meningioma and psychiatric symptoms: A case report and brief review.
Ann Clin Psychiatry. 2015 May;27(2):126-33.
7
Olfactory Fossa Meningioma Presenting as Depressive Disorder: A Case Report.
Cogn Behav Neurol. 2016 Jun;29(2):107-12. doi: 10.1097/WNN.0000000000000090.
8
Letter to the Editor: CONVERGENCES AND DIVERGENCES IN THE ICD-11 VS. DSM-5 CLASSIFICATION OF MOOD DISORDERS.给编辑的信:《ICD-11 与 DSM-5 心境障碍分类的趋同与分歧》
Turk Psikiyatri Derg. 2021;32(4):293-295. doi: 10.5080/u26899.
9
Pre-operative and post-operative psychiatric manifestations in patients with supratentorial meningiomas.幕上脑膜瘤患者的术前和术后精神症状
Clin Neurol Neurosurg. 2016 Aug;147:24-9. doi: 10.1016/j.clineuro.2016.05.018. Epub 2016 May 17.
10
Frontal Lobe Epilepsy: A Primer for Psychiatrists and a Systematic Review of Psychiatric Manifestations.额叶癫痫:精神科医生入门指南及精神症状系统综述
Psychosomatics. 2016 Sep-Oct;57(5):445-64. doi: 10.1016/j.psym.2016.05.005. Epub 2016 May 16.

本文引用的文献

1
Schizophrenia-Like Psychosis Presented in a Patient With a Temporal Lobe Tumor: A Case Report.颞叶肿瘤患者出现精神分裂症样精神病:一例报告
Cureus. 2022 Sep 11;14(9):e29034. doi: 10.7759/cureus.29034. eCollection 2022 Sep.
2
Atypical Charles Bonnet syndrome secondary to frontal meningioma: a case report.继发于额部脑膜瘤的非典型 Charles Bonnet 综合征:病例报告。
BMC Psychiatry. 2021 Jul 22;21(1):365. doi: 10.1186/s12888-021-03360-6.
3
Frontal lobe meningioma presenting with schizophrenia-like symptoms: an organic cause of psychotic disorder.
额叶脑膜瘤表现出精神分裂症样症状:精神障碍的器质性病因。
BMJ Case Rep. 2020 Apr 28;13(4):e234526. doi: 10.1136/bcr-2020-234526.
4
Mania and psychosis associated with right parietal meningioma.与右顶叶脑膜瘤相关的躁狂和精神病。
Int J Psychiatry Med. 2020 Mar;55(2):74-81. doi: 10.1177/0091217419885218. Epub 2019 Nov 7.
5
CBTRUS Statistical Report: Primary Brain and Other Central Nervous System Tumors Diagnosed in the United States in 2012-2016.美国 2012-2016 年诊断的原发性脑和其他中枢神经系统肿瘤 CBTRUS 统计报告。
Neuro Oncol. 2019 Nov 1;21(Suppl 5):v1-v100. doi: 10.1093/neuonc/noz150.
6
Meningiomatosis revealed by a major depressive syndrome.以重度抑郁综合征为首发表现的脑膜瘤病
BMJ Case Rep. 2015 Dec 20;2015:bcr2015211909. doi: 10.1136/bcr-2015-211909.
7
The cognitive and behavioral effects of meningioma lesions involving the ventromedial prefrontal cortex.涉及腹内侧前额叶皮质的脑膜瘤病变的认知和行为影响。
J Neurosurg. 2016 Jun;124(6):1568-77. doi: 10.3171/2015.5.JNS142788. Epub 2015 Nov 27.
8
Convexity meningioma associated with depression: a case report.
Srp Arh Celok Lek. 2014 Sep-Oct;142(9-10):586-8. doi: 10.2298/sarh1410586z.
9
Case report: anxiety and fear in a patient with meningioma compressing the left amygdala.
Neurocase. 2012;18(2):91-4. doi: 10.1080/13554794.2011.556126. Epub 2011 Oct 20.
10
Brain tumor location and psychiatric symptoms: is there any association? A meta-analysis of published case studies.脑肿瘤位置与精神症状:两者之间存在关联吗?已发表病例研究的荟萃分析。
Expert Rev Neurother. 2010 Oct;10(10):1529-36. doi: 10.1586/ern.10.94.