• 文献检索
  • 文档翻译
  • 深度研究
  • 学术资讯
  • Suppr Zotero 插件Zotero 插件
  • 邀请有礼
  • 套餐&价格
  • 历史记录
应用&插件
Suppr Zotero 插件Zotero 插件浏览器插件Mac 客户端Windows 客户端微信小程序
定价
高级版会员购买积分包购买API积分包
服务
文献检索文档翻译深度研究API 文档MCP 服务
关于我们
关于 Suppr公司介绍联系我们用户协议隐私条款
关注我们

Suppr 超能文献

核心技术专利:CN118964589B侵权必究
粤ICP备2023148730 号-1Suppr @ 2026

文献检索

告别复杂PubMed语法,用中文像聊天一样搜索,搜遍4000万医学文献。AI智能推荐,让科研检索更轻松。

立即免费搜索

文件翻译

保留排版,准确专业,支持PDF/Word/PPT等文件格式,支持 12+语言互译。

免费翻译文档

深度研究

AI帮你快速写综述,25分钟生成高质量综述,智能提取关键信息,辅助科研写作。

立即免费体验

导致截瘫的病理性压缩性骨折的临床监督与诊断延误

Clinical Oversight and Delayed Diagnosis of a Pathological Compression Fracture Causing Paraplegia.

作者信息

Chen Yin-Sheng, Liu Ping-Chuan, Chang Chih-Chang, Tu Tsung-Hsi, Kuo Chao-Hung

机构信息

Department of Neurosurgery, Taipei Veterans General Hospital, Taipei, TWN.

School of Medicine, National Yang Ming Chiao Tung University, Taipei, TWN.

出版信息

Cureus. 2024 Aug 31;16(8):e68296. doi: 10.7759/cureus.68296. eCollection 2024 Aug.

DOI:10.7759/cureus.68296
PMID:39350874
原文链接:https://pmc.ncbi.nlm.nih.gov/articles/PMC11441844/
Abstract

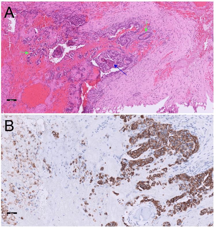
While osteoporosis is the primary cause of vertebral compression fractures (VCFs), it's crucial to promptly recognize pathological fractures through comprehensive diagnostic tests, including vertebral biopsies, to determine the exact etiology. For instance, a 66-year-old male with osteoporosis experienced worsening lower limb weakness and back pain after an initial vertebroplasty for a T12 compression fracture. Subsequent MRI revealed severe circumferential extradural compression at T12, leading to further surgeries that eventually uncovered metastatic adenocarcinoma from a pancreatic tumor. This case highlights the importance of precise diagnosis through vertebral biopsy and the necessity of sufficient ventral decompression or corpectomy, coupled with extensive laminectomy, to address severe neurological impairments like paraplegia. Prompt and accurate interventions can significantly improve patient outcomes and quality of life.

摘要

虽然骨质疏松症是椎体压缩性骨折(VCF)的主要原因,但通过包括椎体活检在内的全面诊断测试及时识别病理性骨折以确定确切病因至关重要。例如,一名患有骨质疏松症的66岁男性在接受T12压缩性骨折的初次椎体成形术后,下肢无力和背痛加重。随后的MRI显示T12水平存在严重的环形硬膜外压迫,导致进一步手术,最终发现是胰腺肿瘤转移所致的腺癌。该病例强调了通过椎体活检进行精确诊断的重要性,以及为解决诸如截瘫等严重神经功能障碍而进行充分的前路减压或椎体切除并结合广泛椎板切除术的必要性。及时准确的干预措施可显著改善患者的预后和生活质量。

https://cdn.ncbi.nlm.nih.gov/pmc/blobs/dfd7/11441844/5a2fd6de3358/cureus-0016-00000068296-i04.jpg
https://cdn.ncbi.nlm.nih.gov/pmc/blobs/dfd7/11441844/4919d79568f4/cureus-0016-00000068296-i01.jpg
https://cdn.ncbi.nlm.nih.gov/pmc/blobs/dfd7/11441844/63cf16db0941/cureus-0016-00000068296-i02.jpg
https://cdn.ncbi.nlm.nih.gov/pmc/blobs/dfd7/11441844/0eb9e3ba1482/cureus-0016-00000068296-i03.jpg
https://cdn.ncbi.nlm.nih.gov/pmc/blobs/dfd7/11441844/5a2fd6de3358/cureus-0016-00000068296-i04.jpg
https://cdn.ncbi.nlm.nih.gov/pmc/blobs/dfd7/11441844/4919d79568f4/cureus-0016-00000068296-i01.jpg
https://cdn.ncbi.nlm.nih.gov/pmc/blobs/dfd7/11441844/63cf16db0941/cureus-0016-00000068296-i02.jpg
https://cdn.ncbi.nlm.nih.gov/pmc/blobs/dfd7/11441844/0eb9e3ba1482/cureus-0016-00000068296-i03.jpg
https://cdn.ncbi.nlm.nih.gov/pmc/blobs/dfd7/11441844/5a2fd6de3358/cureus-0016-00000068296-i04.jpg

相似文献

1
Clinical Oversight and Delayed Diagnosis of a Pathological Compression Fracture Causing Paraplegia.导致截瘫的病理性压缩性骨折的临床监督与诊断延误
Cureus. 2024 Aug 31;16(8):e68296. doi: 10.7759/cureus.68296. eCollection 2024 Aug.
2
Pediatric cervical kyphosis in the MRI era (1984-2008) with long-term follow up: literature review.MRI 时代(1984-2008 年)的儿童颈椎后凸:文献回顾。
Childs Nerv Syst. 2022 Feb;38(2):361-377. doi: 10.1007/s00381-021-05409-z. Epub 2021 Nov 22.
3
Balloon kyphoplasty: an evidence-based analysis.球囊椎体后凸成形术:一项基于证据的分析。
Ont Health Technol Assess Ser. 2004;4(12):1-45. Epub 2004 Dec 1.
4
Delayed Recognition of Thoracic and Lumbar Vertebral Compression Fractures in Minor Accident Cases.轻微事故病例中胸腰椎椎体压缩性骨折的延迟诊断
Cureus. 2017 Feb 23;9(2):e1050. doi: 10.7759/cureus.1050.
5
Percutaneous vertebroplasty for treatment of painful osteoporotic vertebral compression fractures: an evidence-based analysis.经皮椎体成形术治疗疼痛性骨质疏松性椎体压缩骨折:一项循证分析
Ont Health Technol Assess Ser. 2010;10(19):1-45. Epub 2010 Oct 1.
6
Utility of routine biopsy at vertebroplasty in the management of vertebral compression fractures: a tertiary center experience.经皮椎体成形术中常规活检在椎体压缩性骨折治疗中的应用:一家三级中心的经验。
J Neurosurg Spine. 2014 Nov;21(5):687-97. doi: 10.3171/2014.7.SPINE121015. Epub 2014 Aug 15.
7
The role of routine transpedicular biopsies during kyphoplasty or vertebroplasty for vertebral compression fractures in the detection of malignant diseases: a systematic review.经皮椎体后凸成形术或椎体成形术治疗椎体压缩性骨折时常规经椎弓根活检在恶性疾病检测中的作用:系统评价。
Arch Orthop Trauma Surg. 2023 Apr;143(4):1887-1893. doi: 10.1007/s00402-022-04392-7. Epub 2022 Mar 1.
8
Posterior spinal fusion using a pedicle nail system with polymethylmethacrylate in a paraplegic patient after vertebral collapse caused by osteoporosis.
Spine J. 2009 Jan-Feb;9(1):e5-8. doi: 10.1016/j.spinee.2007.10.036. Epub 2007 Dec 21.
9
Utility of vertebral biopsy before vertebroplasty in patients with diagnosis of vertebral compression fracture.椎体成形术前椎体活检对诊断为椎体压缩性骨折患者的作用。
Radiol Med. 2021 Jul;126(7):956-962. doi: 10.1007/s11547-021-01353-9. Epub 2021 Apr 12.
10
Retrospective review of biopsy results following percutaneous fixation of vertebral compression fractures.经皮固定椎体压缩骨折后活检结果的回顾性分析。
Injury. 2008 Mar;39(3):327-33. doi: 10.1016/j.injury.2007.06.019. Epub 2007 Sep 18.

本文引用的文献

1
Comparative Efficacy of Surgical Interventions for Osteoporotic Vertebral Compression Fractures: A Systematic Review and Network Meta-analysis.骨质疏松性椎体压缩骨折手术干预的比较疗效:一项系统评价和网状Meta分析
Neurospine. 2023 Dec;20(4):1142-1158. doi: 10.14245/ns.2346996.498. Epub 2023 Dec 31.
2
Epidemiology of spinal metastases, metastatic epidural spinal cord compression and pathologic vertebral compression fractures in patients with solid tumors: A systematic review.实体瘤患者脊柱转移、转移性硬膜外脊髓压迫及病理性椎体压缩骨折的流行病学:一项系统评价
J Bone Oncol. 2022 Jul 9;35:100446. doi: 10.1016/j.jbo.2022.100446. eCollection 2022 Aug.
3
Utility of vertebral biopsy before vertebroplasty in patients with diagnosis of vertebral compression fracture.
椎体成形术前椎体活检对诊断为椎体压缩性骨折患者的作用。
Radiol Med. 2021 Jul;126(7):956-962. doi: 10.1007/s11547-021-01353-9. Epub 2021 Apr 12.
4
Malignant Metastasis Misdiagnosed as Osteoporotic Compression Fracture: A Case Report.恶性转移误诊为骨质疏松性压缩骨折:一例报告
Korean J Neurotrauma. 2018 Apr;14(1):39-42. doi: 10.13004/kjnt.2018.14.1.39. Epub 2018 Apr 30.
5
Review of the Imaging Features of Benign Osteoporotic and Malignant Vertebral Compression Fractures.良性骨质疏松性与恶性椎体压缩性骨折的影像学特征综述。
AJNR Am J Neuroradiol. 2018 Sep;39(9):1584-1592. doi: 10.3174/ajnr.A5528. Epub 2018 Jan 18.
6
Worldwide prevalence and incidence of osteoporotic vertebral fractures.骨质疏松性椎体骨折的全球患病率和发病率。
Osteoporos Int. 2017 May;28(5):1531-1542. doi: 10.1007/s00198-017-3909-3. Epub 2017 Feb 6.
7
Utility of routine biopsy at vertebroplasty in the management of vertebral compression fractures: a tertiary center experience.经皮椎体成形术中常规活检在椎体压缩性骨折治疗中的应用:一家三级中心的经验。
J Neurosurg Spine. 2014 Nov;21(5):687-97. doi: 10.3171/2014.7.SPINE121015. Epub 2014 Aug 15.
8
Red flags to screen for malignancy and fracture in patients with low back pain: systematic review.筛查腰痛患者恶性肿瘤和骨折的危险信号:系统评价。
BMJ. 2013 Dec 11;347:f7095. doi: 10.1136/bmj.f7095.
9
Comparison of four prediction models to discriminate benign from malignant vertebral compression fractures according to MRI feature analysis.基于 MRI 特征分析比较四种预测模型鉴别良恶性椎体压缩性骨折。
AJR Am J Roentgenol. 2013 Mar;200(3):493-502. doi: 10.2214/AJR.11.7192.
10
The actual management of tumor and vertebral compression fractures.肿瘤与椎体压缩性骨折的实际管理
J Neurosurg Sci. 2012 Jun;56(2):77-85.