Suppr超能文献

局部晚期直肠癌伴侧方盆腔淋巴结阳性患者接受放化疗后的预后及失败模式:一项倾向评分匹配分析

Outcomes and failure patterns after chemoradiotherapy for locally advanced rectal cancer with positive lateral pelvic lymph nodes: a propensity score-matched analysis.

作者信息

Li Shuai, Song Maxiaowei, Tie Jian, Zhu Xianggao, Zhang Yangzi, Wang Hongzhi, Geng Jianhao, Liu Zhiyan, Sui Xin, Teng Huajing, Cai Yong, Li Yongheng, Wang Weihu

机构信息

Key Laboratory of Carcinogenesis and Translational Research (Ministry of Education/Beijing), Department of Radiation Oncology, Peking University Cancer Hospital and Institute, Beijing, 100142, China.

State Key Laboratory of Holistic Integrative Management of Gastrointestinal Cancers, Beijing Key Laboratory of Carcinogenesis and Translational Research, Department of Radiation Oncology, Peking University Cancer Hospital & Institute, Beijing, 100142, China.

出版信息

Radiat Oncol. 2024 Oct 1;19(1):132. doi: 10.1186/s13014-024-02529-z.

Abstract

PURPOSE

This study aimed to use propensity score matching (PSM) to explore the long-term outcomes and failure patterns in locally advanced rectal cancer (LARC) patients with positive versus negative lateral pelvic lymph node (LPLN).

MATERIALS AND METHODS

Patients with LARC were retrospectively divided into LPLN-positive and LPLN-negative groups. Clinical characteristics were compared between the groups using the chi-square test. PSM was applied to balance these differences. Progression-free survival (PFS) and overall survival (OS), and local-regional recurrence (LRR) and distant metastasis (DM) rates were compared between the groups using the Kaplan-Meier method and log-rank tests.

RESULTS

A total of 651 LARC patients were included, 160 (24.6%) of whom had positive LPLN and 491 (75.4%) had negative LPLN. Before PSM, the LPLN-positive group had higher rates of lower location (53.1% vs. 43.0%, P = 0.025), T4 stage (37.5% vs. 23.2%, P = 0.002), mesorectal fascia (MRF)-positive (53.9% vs. 35.4%, P < 0.001) and extramural venous invasion (EMVI)-positive (51.2% vs. 27.2%, P < 0.001) disease than the LPLN-negative group. After PSM, there were 114 patients for each group along with the balanced clinical factors, and both groups had comparable surgery, pathologic complete response (pCR), and ypN stage rates. The median follow-up was 45.9 months, 3-year OS (88.3% vs. 92.1%, P = 0.276) and LRR (5.7% vs. 2.8%, P = 0.172) rates were comparable between LPLN-positive and LPLN-negative groups. Meanwhile, despite no statistical difference, 3-year PFS (78.8% vs. 85.9%, P = 0.065) and DM (20.4% vs. 13.3%, P = 0.061) rates slightly differed between the groups. 45 patients were diagnosed with DM, 11 (39.3%) LPLN-positive and 3 (17.6%) LPLN-negative patients were diagnosed with oligometastases (P = 0.109).

CONCLUSIONS

Our study indicates that for LPLN-positive patients, there is a tendency of worse PFS and DM than LPLN-negative patients, and for this group patients, large samples are needed to further confirm our conclusion.

摘要

目的

本研究旨在运用倾向评分匹配法(PSM)探讨局部晚期直肠癌(LARC)患者中侧方盆腔淋巴结(LPLN)阳性与阴性患者的长期预后及失败模式。

材料与方法

LARC患者被回顾性分为LPLN阳性组和LPLN阴性组。采用卡方检验比较两组的临床特征。应用PSM平衡这些差异。采用Kaplan-Meier法和对数秩检验比较两组的无进展生存期(PFS)、总生存期(OS)、局部区域复发(LRR)率和远处转移(DM)率。

结果

共纳入651例LARC患者,其中160例(24.6%)LPLN阳性,491例(75.4%)LPLN阴性。PSM前,LPLN阳性组低位病变(53.1%对43.0%,P = 0.025)、T4期(37.5%对23.2%,P = 0.002)、直肠系膜筋膜(MRF)阳性(53.9%对35.4%,P < 0.001)及壁外静脉侵犯(EMVI)阳性(51.2%对27.2%,P < 0.001)疾病的发生率高于LPLN阴性组。PSM后,每组各有114例患者且临床因素得到平衡,两组在手术、病理完全缓解(pCR)及ypN分期率方面具有可比性。中位随访时间为45.9个月,LPLN阳性组与LPLN阴性组的3年总生存率(88.3%对92.1%,P = 0.276)和局部区域复发率(5.7%对2.8%,P = 0.172)具有可比性。同时,尽管无统计学差异,但两组的3年无进展生存率(78.8%对85.9%,P = 0.065)和远处转移率(20.4%对13.3%,P = 0.061)略有不同。45例患者被诊断为远处转移,11例(39.3%)LPLN阳性患者和3例(17.6%)LPLN阴性患者被诊断为寡转移(P = 0.109)。

结论

我们的研究表明,对于LPLN阳性患者,与LPLN阴性患者相比有PFS和DM较差的趋势,对于该组患者,需要大样本进一步证实我们的结论。

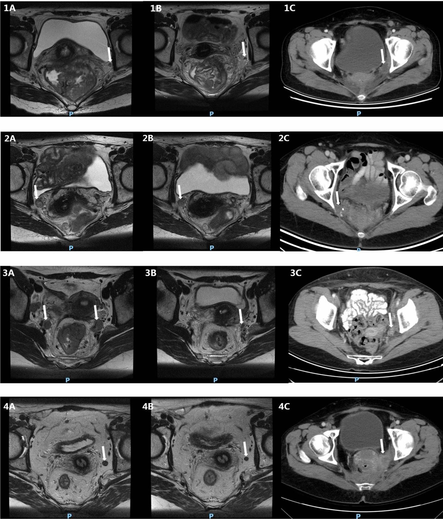
https://cdn.ncbi.nlm.nih.gov/pmc/blobs/3cf2/11443637/2c0d74584789/13014_2024_2529_Fig1_HTML.jpg

文献检索

告别复杂PubMed语法,用中文像聊天一样搜索,搜遍4000万医学文献。AI智能推荐,让科研检索更轻松。

立即免费搜索

文件翻译

保留排版,准确专业,支持PDF/Word/PPT等文件格式,支持 12+语言互译。

免费翻译文档

深度研究

AI帮你快速写综述,25分钟生成高质量综述,智能提取关键信息,辅助科研写作。

立即免费体验