Suppr超能文献

F-18 FDG PET/CT在腹部和盆腔正常变异、陷阱及伪影中的成像

F-18 FDG PET/CT Imaging in Normal Variants, Pitfalls and Artifacts in the Abdomen and Pelvis.

作者信息

Vangu Mboyo D T, Momodu Jaleelat I

机构信息

Department of Nuclear Medicine and Molecular Imaging, Charlotte Maxeke Johannesburg Academic Hospital, University of the Witwatersrand, Johannesburg, South Africa.

出版信息

Front Nucl Med. 2022 Jan 17;1:826109. doi: 10.3389/fnume.2021.826109. eCollection 2021.

Abstract

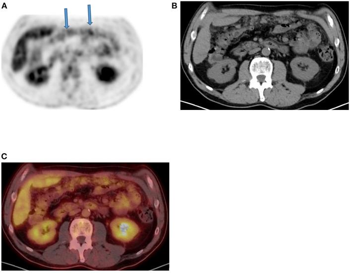
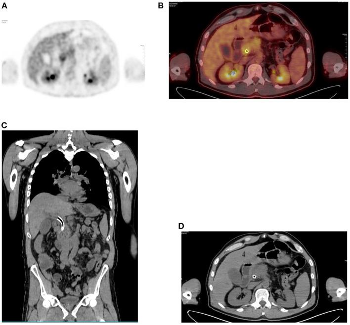
Since its introduction into clinical practice, multimodality imaging has revolutionized diagnostic imaging for both oncologic and non-oncologic pathologies. F-fluorodeoxyglucose (F-FDG) PET/CT imaging which takes advantage of increased anaerobic glycolysis that occurs in tumor cells (Warburg effect) has gained significant clinical relevance in the management of most, if not all oncologic conditions. Because FDG is taken by both normal and abnormal tissues, PET/CT imaging may demonstrate several normal variants and imaging pitfalls. These may ultimately impact disease detection and diagnostic accuracy. Imaging specialists (nuclear medicine physicians and radiologists) must demonstrate a thorough understanding of normal and physiologic variants in the distribution of F-FDG; including potential imaging pitfalls and technical artifacts to minimize misinterpretation of images. The normal physiologic course of F-FDG results in a variable degree of uptake in the stomach, liver, spleen, small and large bowel. Urinary excretion results in renal, ureteric, and urinary bladder uptake. Technical artifacts can occur due to motion, truncation as well as the effects of contrast agents and metallic hardware. Using pictorial illustrations, this paper aims to describe the variants of physiologic F-FDG uptake that may mimic pathology as well as potential benign conditions that may result in misinterpretation of PET/CT images in common oncologic conditions of the abdomen and pelvis.

摘要

自从多模态成像技术引入临床实践以来,它已经彻底改变了肿瘤和非肿瘤疾病的诊断成像。利用肿瘤细胞中发生的无氧糖酵解增加(瓦伯格效应)的F-氟脱氧葡萄糖(F-FDG)PET/CT成像,在大多数(即使不是全部)肿瘤疾病的管理中已具有重要的临床意义。由于正常组织和异常组织都会摄取FDG,PET/CT成像可能会显示出几种正常变异和成像陷阱。这些最终可能会影响疾病检测和诊断准确性。成像专家(核医学医师和放射科医生)必须充分了解F-FDG分布中的正常和生理变异;包括潜在的成像陷阱和技术伪影,以尽量减少对图像的错误解读。F-FDG的正常生理过程会导致胃、肝脏、脾脏、小肠和大肠出现不同程度的摄取。尿液排泄会导致肾脏、输尿管和膀胱摄取。由于运动、截断以及造影剂和金属硬件的影响,可能会出现技术伪影。本文旨在通过图片说明,描述可能模仿病变的生理性F-FDG摄取变异,以及在腹部和骨盆常见肿瘤疾病中可能导致PET/CT图像误判的潜在良性情况。

https://cdn.ncbi.nlm.nih.gov/pmc/blobs/fccd/11440875/a3349ce9ff8d/fnume-01-826109-g0001.jpg

文献检索

告别复杂PubMed语法,用中文像聊天一样搜索,搜遍4000万医学文献。AI智能推荐,让科研检索更轻松。

立即免费搜索

文件翻译

保留排版,准确专业,支持PDF/Word/PPT等文件格式,支持 12+语言互译。

免费翻译文档

深度研究

AI帮你快速写综述,25分钟生成高质量综述,智能提取关键信息,辅助科研写作。

立即免费体验