Suppr超能文献

与乙酰唑胺相比,生理激发试验在评估脑血流动力学中的应用:一例报告

Physiological provocation compared to acetazolamide in the assessment of cerebral hemodynamics: a case report.

作者信息

Henriksen Alexander Cuculiza, Thomsen Gerda Krog, Knudsen Gitte M, Stavngaard Trine, Rosenbaum Sverre, Marner Lisbeth

机构信息

Department of Clinical Physiology and Nuclear Medicine, Copenhagen University Hospital Bispebjerg and Frederiksberg, Copenhagen, Denmark.

Department of Radiology, Copenhagen University Hospital Rigshospitalet, Copenhagen, Denmark.

出版信息

EJNMMI Res. 2024 Oct 2;14(1):89. doi: 10.1186/s13550-024-01154-x.

Abstract

BACKGROUND

Severe large vessel disease may lead to cerebral hemodynamic failure that critically impairs cerebral blood flow (CBF) regulation elevating the risk of ischemic events. Assessment of the condition is often based on changes in CBF during vasodilatation; however, pharmacologically induced vasodilation does not reflect the physiological condition during an ischemic event caused by hemodynamic failure. We compared a [O]HO PET brain scan during vasodilation to a [Tc]HMPAO SPECT brain scan during an ongoing transient ischemic attack (TIA).

CASE PRESENTATION

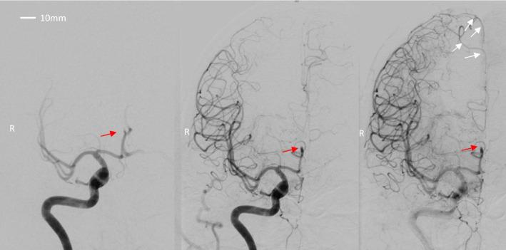
A single patient presenting with limb-shaking TIA underwent CT, Digital Subtraction Angiography, and two different modalities of cerebral perfusion scans: [O]HO PET and [Tc]HMPAO SPECT. Acetazolamide was used in the PET scan to induce vasodilatation, and during the SPECT scan physiological stress, standing up rapidly, was used to induce limb-shaking TIA. CT-angiography and Digital Subtraction Angiography revealed an occlusion in the distal part of the right A2 segment of the anterior cerebral artery, with a corresponding infarction in the watershed area. Collaterals supplied the main vascular territory of the anterior cerebral artery. During rest, neither perfusion modalities demonstrated reduced perfusion outside of the ischemic core. However, we found a pronounced difference between the PET utilizing acetazolamide and the SPECT during the TIA. The PET scan demonstrated relative hypoperfusion in vascular territory supplied by collaterals, while the area around the ischemic core was not affected. Contrary, the SPECT had only minor relative hypoperfusion in the collateral-supplied area, whereas the watershed area proximal to the infarct core had pronounced relative hypoperfusion.

CONCLUSIONS

The observed discrepancy in compromised areas during physiological provocation compared to pharmacological induced vasodilation questions the use of an unphysiological stressor for assessment of cerebrovascular hemodynamics. A physiological provocation test may achieve more clinically relevant evaluation.

摘要

背景

严重的大血管疾病可能导致脑血流动力学衰竭,严重损害脑血流量(CBF)调节,增加缺血事件的风险。对该病症的评估通常基于血管扩张期间CBF的变化;然而,药物诱导的血管扩张并不能反映血流动力学衰竭引起的缺血事件期间的生理状况。我们比较了血管扩张期间的[O]HO正电子发射断层扫描(PET)脑扫描与正在进行的短暂性脑缺血发作(TIA)期间的[Tc]HMPAO单光子发射计算机断层扫描(SPECT)脑扫描。

病例报告

一名出现肢体抖动性TIA的患者接受了CT、数字减影血管造影以及两种不同的脑灌注扫描方式:[O]HO PET和[Tc]HMPAO SPECT。PET扫描中使用乙酰唑胺诱导血管扩张,而在SPECT扫描期间,通过快速站立这种生理应激来诱发肢体抖动性TIA。CT血管造影和数字减影血管造影显示大脑前动脉右A2段远端闭塞,在分水岭区域有相应梗死灶。侧支循环供应大脑前动脉的主要血管区域。在静息状态下,两种灌注方式均未显示缺血核心区以外的灌注减少。然而,我们发现使用乙酰唑胺的PET与TIA期间的SPECT之间存在明显差异。PET扫描显示侧支循环供应区域存在相对灌注不足,而缺血核心区周围区域未受影响。相反,SPECT在侧支循环供应区域仅有轻微的相对灌注不足,而梗死核心近端的分水岭区域有明显的相对灌注不足。

结论

与药物诱导的血管扩张相比,在生理激发期间观察到的受损区域差异对使用非生理性应激源评估脑血管血流动力学提出了质疑。生理激发试验可能会实现更具临床相关性的评估。

https://cdn.ncbi.nlm.nih.gov/pmc/blobs/45d7/11447169/4120b1253d03/13550_2024_1154_Fig1_HTML.jpg

文献检索

告别复杂PubMed语法,用中文像聊天一样搜索,搜遍4000万医学文献。AI智能推荐,让科研检索更轻松。

立即免费搜索

文件翻译

保留排版,准确专业,支持PDF/Word/PPT等文件格式,支持 12+语言互译。

免费翻译文档

深度研究

AI帮你快速写综述,25分钟生成高质量综述,智能提取关键信息,辅助科研写作。

立即免费体验