Suppr超能文献

在韩国的混合急诊室系统中,对一名血流动力学稳定的肠系膜血管损伤老年患者成功实施经导管动脉栓塞术进行微创治疗:一例病例报告。

Successful minimally invasive management using transcatheter arterial embolization in a hemodynamically stable elderly patient with mesenteric vascular injury in a hybrid emergency room system cin Korea: a case report.

作者信息

Ahn So Ra, Lee Joo Hyun, Seo Sang Hyun, Park Chan Yong

机构信息

Department of Trauma Surgery, Wonkwang University School of Medicine, Iksan, Korea.

Department of Surgery, Wonkwang University School of Medicine, Iksan, Korea.

出版信息

J Trauma Inj. 2023 Dec;36(4):435-440. doi: 10.20408/jti.2023.0018. Epub 2023 Jul 25.

Abstract

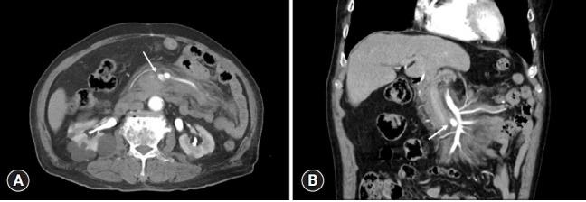
Mesenteric injury occurs rarely in cases associated with blunt abdominal trauma. Despite its low incidence, mesenteric injury can lead to fatal outcomes such as hypovolemic shock due to hemoperitoneum or sepsis due to intestinal ischemia, or perforation-related peritonitis. For mesenteric injuries, especially those involving massive bleeding, intestinal ischemia, and perforation, the standard treatment is surgery. However, in the case of operative management, it should be borne in mind that there is a possibility of complications and mortality during and after surgery. The usefulness of transcatheter arterial embolization (TAE) is well known in solid organs but is controversial for mesenteric injury. We present a 75-year-old man with mesenteric injury due to blunt abdominal trauma. Initial abdominal computed tomography showed no hemoperitoneum, but a mesenteric contusion and pseudoaneurysm with a diameter of 17 mm were observed near the origin of the superior mesenteric artery. Since there were no findings requiring emergency surgery such as free air or intestinal ischemia, it was decided to perform nonoperative management with TAE using microcoils in hybrid emergency room system. TAE was performed successfully, and there were no complications such as bleeding, bowel ischemia, or delayed bowel perforation. He was discharged on the 23rd day after admission with percutaneous catheter drainage for drainage of mesenteric hematoma. The authors believe that treatment with TAE for highly selected elderly patients with mesenteric injuries has the positive aspect of minimally invasive management, considering the burden of general anesthesia and the various avoidable intraoperative and postoperative complications.

摘要

肠系膜损伤在钝性腹部创伤相关病例中很少见。尽管其发病率较低,但肠系膜损伤可导致致命后果,如因腹腔积血引起的低血容量性休克,或因肠缺血引起的败血症,或穿孔相关的腹膜炎。对于肠系膜损伤,尤其是那些涉及大量出血、肠缺血和穿孔的损伤,标准治疗方法是手术。然而,在手术治疗的情况下,应牢记手术期间和术后存在并发症和死亡的可能性。经导管动脉栓塞术(TAE)在实体器官中的作用已广为人知,但在肠系膜损伤方面存在争议。我们报告一名75岁男性因钝性腹部创伤导致肠系膜损伤。最初的腹部计算机断层扫描显示没有腹腔积血,但在肠系膜上动脉起源附近观察到肠系膜挫伤和直径为17毫米的假性动脉瘤。由于没有发现需要紧急手术的情况,如游离气体或肠缺血,因此决定在混合急诊室系统中使用微线圈对该患者进行TAE非手术治疗。TAE手术成功,没有出现出血、肠缺血或延迟肠穿孔等并发症。患者在入院后第23天出院,采用经皮导管引流术引流肠系膜血肿。作者认为,考虑到全身麻醉的负担以及各种可避免的术中及术后并发症,对于经过严格筛选的老年肠系膜损伤患者,TAE治疗具有微创管理的积极意义。

https://cdn.ncbi.nlm.nih.gov/pmc/blobs/a1a3/11309253/718066a1496c/jti-2023-0018f1.jpg

文献检索

告别复杂PubMed语法,用中文像聊天一样搜索,搜遍4000万医学文献。AI智能推荐,让科研检索更轻松。

立即免费搜索

文件翻译

保留排版,准确专业,支持PDF/Word/PPT等文件格式,支持 12+语言互译。

免费翻译文档

深度研究

AI帮你快速写综述,25分钟生成高质量综述,智能提取关键信息,辅助科研写作。

立即免费体验