• 文献检索
  • 文档翻译
  • 深度研究
  • 学术资讯
  • Suppr Zotero 插件Zotero 插件
  • 邀请有礼
  • 套餐&价格
  • 历史记录
应用&插件
Suppr Zotero 插件Zotero 插件浏览器插件Mac 客户端Windows 客户端微信小程序
定价
高级版会员购买积分包购买API积分包
服务
文献检索文档翻译深度研究API 文档MCP 服务
关于我们
关于 Suppr公司介绍联系我们用户协议隐私条款
关注我们

Suppr 超能文献

核心技术专利:CN118964589B侵权必究
粤ICP备2023148730 号-1Suppr @ 2026

文献检索

告别复杂PubMed语法,用中文像聊天一样搜索,搜遍4000万医学文献。AI智能推荐,让科研检索更轻松。

立即免费搜索

文件翻译

保留排版,准确专业,支持PDF/Word/PPT等文件格式,支持 12+语言互译。

免费翻译文档

深度研究

AI帮你快速写综述,25分钟生成高质量综述,智能提取关键信息,辅助科研写作。

立即免费体验

病例报告:全面的临床、病理和遗传学研究解析周期性血小板减少症的背景。

Case report: Comprehensive clinical, pathological and genetic investigations to decipher the background of cyclic thrombocytopenia.

机构信息

Department of Internal Medicine and Oncology, Faculty of Medicine, Semmelweis University, Budapest, Hungary.

Department of Laboratory Medicine, Faculty of Medicine, University of Debrecen, Debrecen, Hungary.

出版信息

Pathol Oncol Res. 2024 Sep 30;30:1611914. doi: 10.3389/pore.2024.1611914. eCollection 2024.

DOI:10.3389/pore.2024.1611914
PMID:39403403
原文链接:https://pmc.ncbi.nlm.nih.gov/articles/PMC11471597/
Abstract

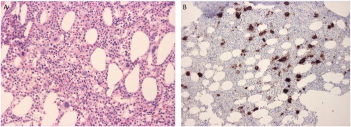
Cyclic thrombocytopenia (CTP) is a rare disease characterized by the oscillations seen in the platelet count of the patients. The pathomechanism of the disease is poorly understood, several pathological processes have been implied in the background of CTP. In our current study, we aimed to thoroughly investigate the case of a 41-year-old female patient with a 22-year history of CTP. Wide-ranging laboratory testing, histological analyses and genetic investigations were carried out to investigate all the defects and alterations of physiological pathways described in the background of CTP to date. Bone marrow biopsy showed normal hemopoiesis with the abundance of megakaryocytes, some of which displayed hypolobulated nuclei. T-cell receptor rearrangement studies showed a polyclonal pattern with no indication of a monoclonal cell population. Flow cytometric assessment of the platelets revealed large number of immature platelets and decreased expression of glycoprotein IIb and IIIa at platelet zenith. Increased expression of glycoprotein IIb, IIIa and glycoprotein Ib-IX complex was observed at the nadir of the cycle. Whole exome sequencing revealed a heterozygous missense variant of uncertain significance in the SERPINC1 gene, which has been associated with hereditary antithrombin deficiency. The screening of autoantibodies did not reveal signs of autoreactive processes, and no thyroid dysfunction was found. Furthermore, synchronization with the menstrual cycle could not be concluded based on our patient's case. With our results we contribute to the very limited data known about the long-term course of the disease and provide valuable insights into the genetic architecture of CTP.

摘要

周期性血小板减少症(CTP)是一种罕见的疾病,其特征是患者血小板计数的波动。该疾病的发病机制尚未完全阐明,目前已有几种病理过程被认为与 CTP 相关。在我们目前的研究中,我们旨在深入研究一名 41 岁女性 CTP 患者的病例。进行了广泛的实验室检测、组织学分析和遗传研究,以调查迄今为止描述的 CTP 背景下所有生理途径的缺陷和改变。骨髓活检显示正常造血,巨核细胞丰富,其中一些巨核细胞显示出核分叶减少。T 细胞受体重排研究显示为多克隆模式,没有单克隆细胞群的迹象。血小板的流式细胞术评估显示大量未成熟的血小板,血小板峰值时糖蛋白 IIb 和 IIIa 的表达减少。在循环的低谷期观察到糖蛋白 IIb、IIIa 和糖蛋白 Ib-IX 复合物的表达增加。外显子组测序显示 SERPINC1 基因存在一个意义未明的杂合错义变异,该基因与遗传性抗凝血酶缺陷有关。自身抗体筛查未发现自身反应过程的迹象,也未发现甲状腺功能障碍。此外,根据我们患者的病例,无法得出与月经周期同步的结论。我们的研究结果为该疾病的长期病程提供了非常有限的数据,并为 CTP 的遗传结构提供了有价值的见解。

https://cdn.ncbi.nlm.nih.gov/pmc/blobs/a039/11471597/64532cf93c7a/pore-30-1611914-g003.jpg
https://cdn.ncbi.nlm.nih.gov/pmc/blobs/a039/11471597/3e2b0096defa/pore-30-1611914-g001.jpg
https://cdn.ncbi.nlm.nih.gov/pmc/blobs/a039/11471597/81ac093600ee/pore-30-1611914-g002.jpg
https://cdn.ncbi.nlm.nih.gov/pmc/blobs/a039/11471597/64532cf93c7a/pore-30-1611914-g003.jpg
https://cdn.ncbi.nlm.nih.gov/pmc/blobs/a039/11471597/3e2b0096defa/pore-30-1611914-g001.jpg
https://cdn.ncbi.nlm.nih.gov/pmc/blobs/a039/11471597/81ac093600ee/pore-30-1611914-g002.jpg
https://cdn.ncbi.nlm.nih.gov/pmc/blobs/a039/11471597/64532cf93c7a/pore-30-1611914-g003.jpg

相似文献

1
Case report: Comprehensive clinical, pathological and genetic investigations to decipher the background of cyclic thrombocytopenia.病例报告:全面的临床、病理和遗传学研究解析周期性血小板减少症的背景。
Pathol Oncol Res. 2024 Sep 30;30:1611914. doi: 10.3389/pore.2024.1611914. eCollection 2024.
2
Giant platelets, megakaryocytes and the expression of glycoprotein Ib-IX complexes.巨大血小板、巨核细胞与糖蛋白Ib-IX复合物的表达
C R Acad Sci III. 1996 Aug;319(8):717-26.
3
Cyclic thrombocytopenia associated with IgM anti-GPIIb-IIIa autoantibodies.与IgM抗血小板糖蛋白IIb-IIIa自身抗体相关的周期性血小板减少症。
Br J Haematol. 1994 Dec;88(4):809-15. doi: 10.1111/j.1365-2141.1994.tb05121.x.
4
Chronic isolated macrothrombocytopenia with autosomal dominant transmission: a morphological and qualitative platelet disorder.常染色体显性遗传的慢性孤立性大血小板减少症:一种形态学和定性的血小板疾病。
Eur J Haematol. 1997 Jan;58(1):40-5. doi: 10.1111/j.1600-0609.1997.tb01408.x.
5
Bernard-Soulier syndrome: quantitative characterization of megakaryocytes and platelets by flow cytometric and platelet kinetic measurements.伯纳德-索利尔综合征:通过流式细胞术和血小板动力学测量对巨核细胞和血小板进行定量表征。
Eur J Haematol. 1994 Apr;52(4):193-200. doi: 10.1111/j.1600-0609.1994.tb00645.x.
6
Cyclic thrombocytopenia associated with estradiol: a case report.与雌二醇相关的周期性血小板减少症:病例报告。
Hematology. 2023 Dec;28(1):2240140. doi: 10.1080/16078454.2023.2240140.
7
How I manage cyclic thrombocytopenia.我是如何管理周期性血小板减少症的。
Blood. 2021 Jan 14;137(2):178-184. doi: 10.1182/blood.2020008218.
8
The highs and lows of cyclic thrombocytopenia.周期性血小板减少症的起伏
Br J Haematol. 2024 Jan;204(1):56-67. doi: 10.1111/bjh.19239. Epub 2023 Dec 11.
9
Flow cytometric analysis of platelet cyclooxygenase-1 and -2 and surface glycoproteins in patients with immune thrombocytopenia and healthy individuals.免疫性血小板减少症患者和健康个体血小板环氧化酶-1和-2及表面糖蛋白的流式细胞术分析
Platelets. 2017 Jun;28(4):387-393. doi: 10.1080/09537104.2016.1224829. Epub 2016 Oct 7.
10
Menstrual cyclic thrombocytopenia.
Br J Haematol. 1989 Apr;71(4):519-24. doi: 10.1111/j.1365-2141.1989.tb06312.x.

本文引用的文献

1
Cyclic Thrombocytopenia: A Rare Cause of Recurrent Thrombocytopenia.周期性血小板减少症:复发性血小板减少症的罕见病因。
Cureus. 2022 Feb 23;14(2):e22525. doi: 10.7759/cureus.22525. eCollection 2022 Feb.
2
How I manage cyclic thrombocytopenia.我是如何管理周期性血小板减少症的。
Blood. 2021 Jan 14;137(2):178-184. doi: 10.1182/blood.2020008218.
3
Clinical and laboratory characteristics of cyclic thrombocytopenia: an observational study.周期性血小板减少症的临床和实验室特征:一项观察性研究。
Haematologica. 2020 Apr;105(4):e198-e201. doi: 10.3324/haematol.2019.237909. Epub 2020 Jan 23.
4
American Society of Hematology 2019 guidelines for immune thrombocytopenia.美国血液学会 2019 年免疫性血小板减少症治疗指南。
Blood Adv. 2019 Dec 10;3(23):3829-3866. doi: 10.1182/bloodadvances.2019000966.
5
Misdiagnosis of primary immune thrombocytopenia and frequency of bleeding: lessons from the McMaster ITP Registry.原发性免疫性血小板减少症的误诊及出血频率:来自麦克马斯特ITP注册研究的经验教训。
Blood Adv. 2017 Nov 28;1(25):2414-2420. doi: 10.1182/bloodadvances.2017010942.
6
A statistical framework to predict functional non-coding regions in the human genome through integrated analysis of annotation data.一种通过注释数据的综合分析来预测人类基因组中功能性非编码区域的统计框架。
Sci Rep. 2015 May 27;5:10576. doi: 10.1038/srep10576.
7
Standards and guidelines for the interpretation of sequence variants: a joint consensus recommendation of the American College of Medical Genetics and Genomics and the Association for Molecular Pathology.序列变异解读的标准与指南:美国医学遗传学与基因组学学会和分子病理学协会的联合共识推荐
Genet Med. 2015 May;17(5):405-24. doi: 10.1038/gim.2015.30. Epub 2015 Mar 5.
8
Cyclic thrombocytopenia related to menstrual cycle: a case report and literature review.与月经周期相关的周期性血小板减少症:一例报告及文献综述
Int J Clin Exp Med. 2014 Oct 15;7(10):3595-8. eCollection 2014.
9
Large granular lymphocytic proliferation-associated cyclic thrombocytopenia.大颗粒淋巴细胞增殖相关的周期性血小板减少症。
Am J Hematol. 2005 Aug;79(4):334-6. doi: 10.1002/ajh.20375.
10
Matriptase-3 is a novel phylogenetically preserved membrane-anchored serine protease with broad serpin reactivity.Matriptase-3是一种新的、系统发育上保守的膜锚定丝氨酸蛋白酶,具有广泛的丝氨酸蛋白酶抑制剂反应活性。
Biochem J. 2005 Aug 15;390(Pt 1):231-42. doi: 10.1042/BJ20050299.