Suppr超能文献

使用金纳米颗粒的环介导等温扩增法检测亚种。

Loop-Mediated Isothermal Amplification Assay Using Gold Nanoparticles for Detecting subspp. .

作者信息

Phurijaruyangkun Saranthum, Tangjitrungrot Pongbun, Jaratsing Pornpun, Augkarawaritsawong Suphitcha, Pongparit Sawanya, Veeramano Rungnapa, Tanomnuch Kularb, Areekit Supatra, Chansiri Kosum, Santiwatanakul Somchai

机构信息

Faculty of Medicine, Srinakharinwirot University, Bangkok 10110, Thailand.

Center of Excellence in Biosensors, Panyananthaphikhu Chonprathan Medical Center, Srinakharinwirot University, Nonthaburi 11120, Thailand.

出版信息

Diagnostics (Basel). 2024 Oct 18;14(20):2323. doi: 10.3390/diagnostics14202323.

Abstract

BACKGROUND

Venereal syphilis in humans is caused by subspp. . A study has shown that 30,302 individuals in Thailand had syphilis in 2020, with a male-to-female ratio of 1:0.8 and the highest incidence rate at ages between fifteen and twenty-four.

METHODS

This research aimed to develop a loop-mediated isothermal amplification assay using gold nanoparticles (LAMP-AuNPs). Analytical sensitivity, diagnostic specificity, accuracy, and predictive values for each technique are provided.

RESULTS

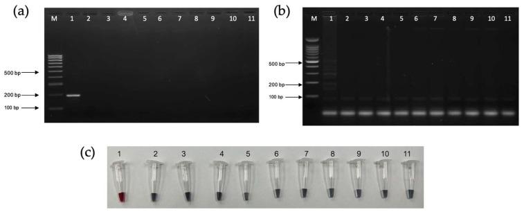
The diagnosis sensitivities of polymerase chain reaction using agarose gel electrophoresis (PCR-AGE), loop-mediated isothermal amplification assay using agarose gel electrophoresis (LAMP-AGE), and LAMP-AuNPs were 116 ng/µL, 11.6 ng/µL, and 11.6 ng/µL, respectively. We evaluated the analytical specificity using PCR and a LAMP-based assay, and there was no cross-reactivity to , , , , , , , human immunodeficiency virus (HIV), and healthy humans. After analyzing 400 serum samples of patients suspected of syphilis, the LAMP-AGE and LAMP-AuNPs assays displayed 100% diagnostic sensitivity scores, 91% diagnostic specificity scores, 95.5% accuracy rates, 100% positive predictive values (PPVs), and 91% negative predictive values (NPVs), the positive likelihood ratio (LR+) was 11.11, while the negative likelihood ratio (LR-) was 0. Conversely, for PCR assays displayed 100% diagnostic sensitivity scores, 94.5% diagnostic specificity scores, 97.25% accuracy rates, 100% PPVs, and 94.5% NPVs, LR+ was 18.18, and LR- was 0.

CONCLUSIONS

The LAMP-AuNPs technique demonstrates rapidity, affordability, and convenience, rendering it well-suited for point-of-care applications in the diagnosis, prevention, and management of pathogenic infections.

摘要

背景

人类性病梅毒由梅毒亚种引起。一项研究表明,2020年泰国有30302人感染梅毒,男女比例为1:0.8,发病最高年龄段在15至24岁之间。

方法

本研究旨在开发一种使用金纳米颗粒的环介导等温扩增检测法(LAMP-AuNPs)。提供了每种技术的分析灵敏度、诊断特异性、准确性和预测值。

结果

使用琼脂糖凝胶电泳的聚合酶链反应(PCR-AGE)、使用琼脂糖凝胶电泳的环介导等温扩增检测法(LAMP-AGE)和LAMP-AuNPs的诊断灵敏度分别为116 ng/µL、11.6 ng/µL和11.6 ng/µL。我们使用PCR和基于LAMP的检测法评估了分析特异性,结果显示对梅毒亚种、苍白亚种、极细亚种、中间亚种、地方亚种、类地方亚种、非致病性亚种、人类免疫缺陷病毒(HIV)和健康人无交叉反应。在分析400份疑似梅毒患者的血清样本后,LAMP-AGE和LAMP-AuNPs检测法的诊断灵敏度得分均为100%,诊断特异性得分均为91%,准确率均为95.5%,阳性预测值(PPV)均为100%,阴性预测值(NPV)均为91%,阳性似然比(LR+)为11.11,而阴性似然比(LR-)为0。相反,PCR检测法的诊断灵敏度得分100%,诊断特异性得分94.5%,准确率97.25%,PPV为100%,NPV为94.5%,LR+为18.18,LR-为0。

结论

LAMP-AuNPs技术具有快速、经济和便捷的特点,非常适合在病原体感染的诊断、预防和管理中进行即时检测应用。

https://cdn.ncbi.nlm.nih.gov/pmc/blobs/b93f/11507355/13612ac1896f/diagnostics-14-02323-g001.jpg

文献检索

告别复杂PubMed语法,用中文像聊天一样搜索,搜遍4000万医学文献。AI智能推荐,让科研检索更轻松。

立即免费搜索

文件翻译

保留排版,准确专业,支持PDF/Word/PPT等文件格式,支持 12+语言互译。

免费翻译文档

深度研究

AI帮你快速写综述,25分钟生成高质量综述,智能提取关键信息,辅助科研写作。

立即免费体验