Suppr超能文献

LGR6通过抑制坏死性凋亡来保护心肌缺血再灌注损伤。

LGR6 protects against myocardial ischemia-reperfusion injury via suppressing necroptosis.

作者信息

Zhao Mengmeng, Zheng Zihui, Liu Jianfang, Xu Yao, Zhang Jishou, Peng Shanshan, Qin Juan-Juan, Wan Jun, Wang Menglong

机构信息

Department of Cardiology, Renmin Hospital of Wuhan University, Wuhan, China; Cardiovascular Research Institute, Wuhan University, Wuhan, China; Hubei Key Laboratory of Cardiology, Wuhan, China.

Department of Geriatrics, Zhongnan Hospital of Wuhan University, Wuhan, China; Center for Healthy Aging, Wuhan University School of Nursing, Wuhan, China.

出版信息

Redox Biol. 2024 Dec;78:103400. doi: 10.1016/j.redox.2024.103400. Epub 2024 Oct 16.

Abstract

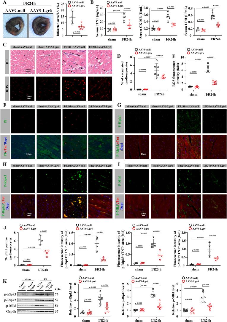
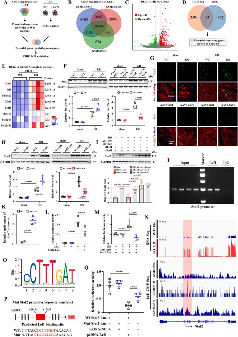
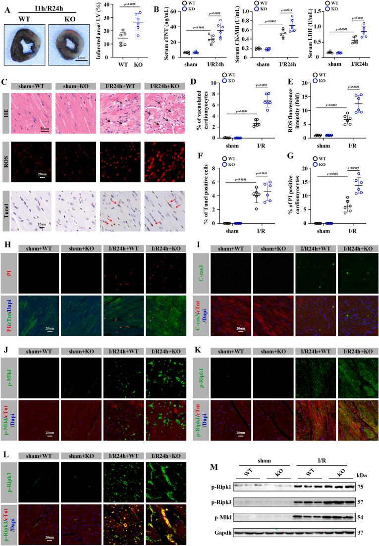
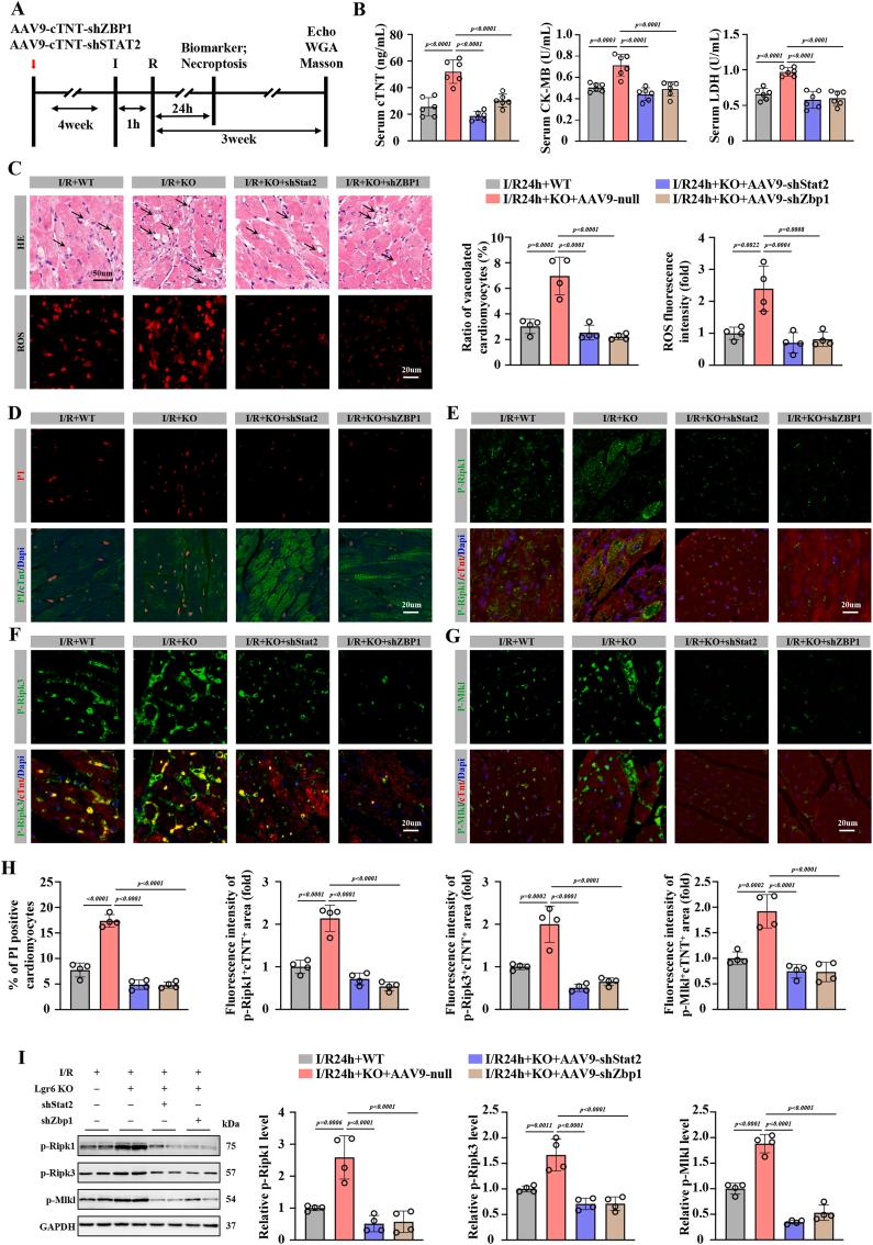
Regulated necrosis (necroptosis) and apoptosis are important biological features of ischemia-reperfusion (I/R) injury. However, the molecular mechanisms underlying myocardial necroptosis remain elusive. Leucine rich repeat containing G protein-coupled receptor 6 (LGR6) has been reported to play important roles in various cardiovascular disease. In this study, we aimed to determine whether LGR6 suppresses I/R-induced myocardial necroptosis and the underlying molecular mechanisms. We generated LGR6 knockout mice and used ligation of left anterior descending coronary artery to produce an in vivo I/R model. The effects of LGR6 and its downstream molecules were subsequently identified using RNA sequencing and CHIP assays. We observed significantly downregulated LGR6 expression in hearts post myocardial I/R and cardiomyocytes post hypoxia and reoxygenation (HR). LGR6 deficiency promoted and LGR6 overexpression inhibited necroptosis and acute myocardial injury after I/R. Mechanistically, in vivo and in vitro experiments suggest that LGR6 regulates the expression of STAT2 and ZBP1 by activating the Wnt signaling pathway, thereby inhibiting cardiomyocyte necroptosis after HR. Inhibiting STAT2 and ZBP1 effectively alleviated the aggravating effect of LGR6 deficiency on myocardial necroptosis after I/R. Furthermore, activating LGR6 with RSPO3 also effectively protected mice from acute myocardial I/R injury. Our findings reveal that RSPO3-LGR6 axis downregulates the expression of STAT2 and ZBP1 through the Wnt signaling pathway, thereby inhibiting I/R-induced myocardial injury and necroptosis. Targeting the RSPO3-LGR6 axis may be a potential therapeutic strategy to treat myocardial I/R injury.

摘要

程序性坏死(坏死性凋亡)和凋亡是缺血再灌注(I/R)损伤的重要生物学特征。然而,心肌坏死性凋亡的分子机制仍不清楚。据报道,富含亮氨酸重复序列的G蛋白偶联受体6(LGR6)在各种心血管疾病中起重要作用。在本研究中,我们旨在确定LGR6是否抑制I/R诱导的心肌坏死性凋亡及其潜在的分子机制。我们构建了LGR6基因敲除小鼠,并通过结扎左冠状动脉前降支建立体内I/R模型。随后,使用RNA测序和CHIP分析确定LGR6及其下游分子的作用。我们观察到心肌I/R后心脏组织以及缺氧复氧(HR)后心肌细胞中LGR6表达显著下调。LGR6基因缺失促进了I/R后的坏死性凋亡和急性心肌损伤,而LGR6过表达则抑制了这些损伤。机制上,体内和体外实验表明,LGR6通过激活Wnt信号通路调节信号转导和转录激活因子2(STAT2)和锌指蛋白1(ZBP1)的表达,从而抑制HR后心肌细胞的坏死性凋亡。抑制STAT2和ZBP1可有效减轻LGR6基因缺失对I/R后心肌坏死性凋亡的加重作用。此外,用RSPO3激活LGR6也能有效保护小鼠免受急性心肌I/R损伤。我们的研究结果表明,RSPO3-LGR6轴通过Wnt信号通路下调STAT2和ZBP1的表达,从而抑制I/R诱导的心肌损伤和坏死性凋亡。靶向RSPO3-LGR6轴可能是治疗心肌I/R损伤的潜在治疗策略。

https://cdn.ncbi.nlm.nih.gov/pmc/blobs/ca11/11550357/add3d8bf8ffa/ga1.jpg

文献检索

告别复杂PubMed语法,用中文像聊天一样搜索,搜遍4000万医学文献。AI智能推荐,让科研检索更轻松。

立即免费搜索

文件翻译

保留排版,准确专业,支持PDF/Word/PPT等文件格式,支持 12+语言互译。

免费翻译文档

深度研究

AI帮你快速写综述,25分钟生成高质量综述,智能提取关键信息,辅助科研写作。

立即免费体验