Suppr超能文献

炎症巨噬细胞龛的改变驱动枯否细胞的表型和功能可塑性。

Alternations in inflammatory macrophage niche drive phenotypic and functional plasticity of Kupffer cells.

机构信息

State Key Laboratory of Oncology in South China, Sun Yat-sen University Cancer Center, Guangzhou, 510060, P. R. China.

Department of Hematologic Oncology, Sun Yat-sen University Cancer Center, Guangzhou, 510060, P. R. China.

出版信息

Nat Commun. 2024 Oct 29;15(1):9337. doi: 10.1038/s41467-024-53659-7.

Abstract

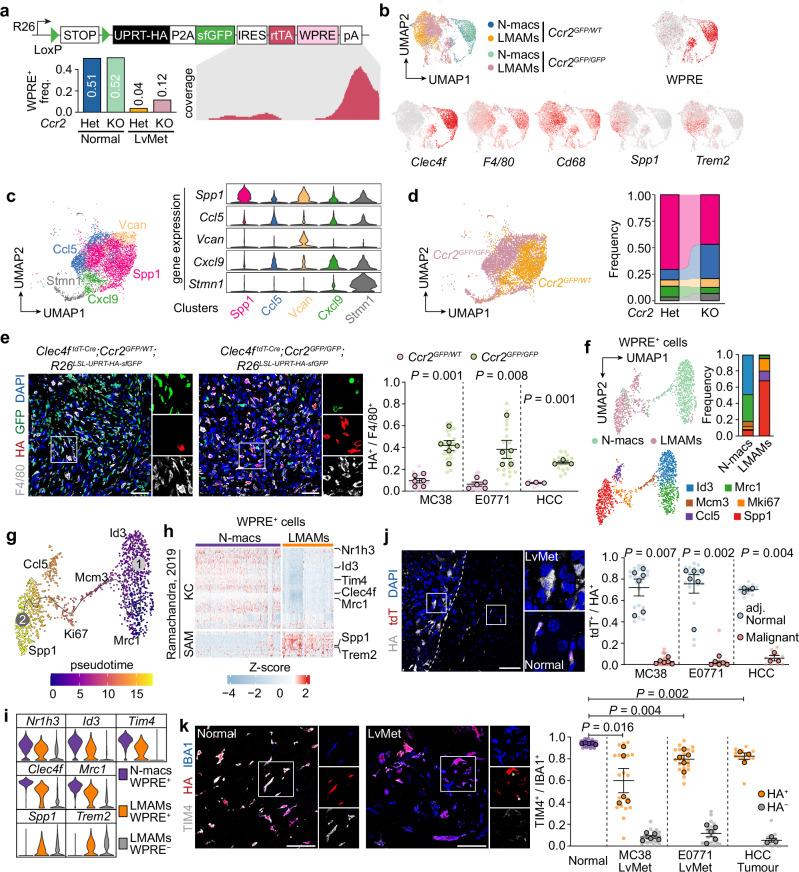
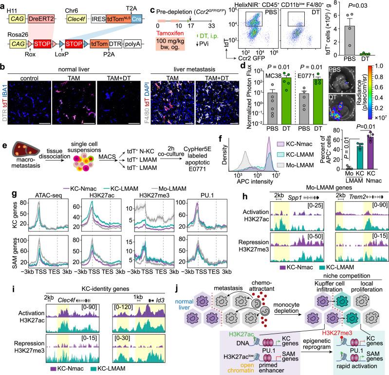
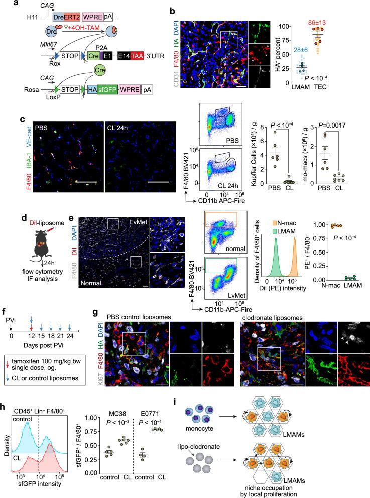
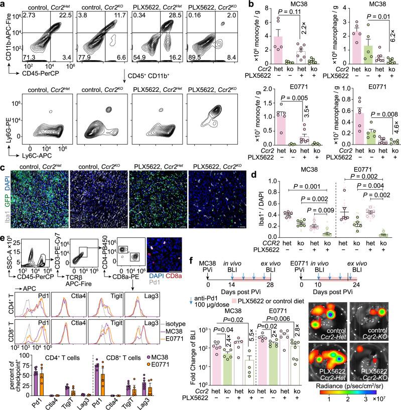
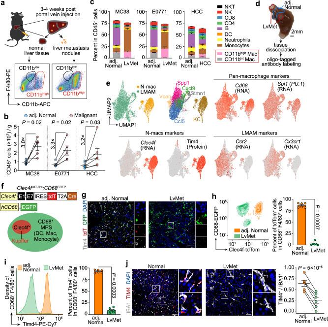
Inflammatory signals lead to recruitment of circulating monocytes and induce their differentiation into pro-inflammatory macrophages. Therefore, whether blocking inflammatory monocytes can mitigate disease progression is being actively evaluated. Here, we employ multiple lineage-tracing models and show that monocyte-derived macrophages (mo-mac) are the major population of immunosuppressive, liver metastasis-associated macrophages (LMAM), while the proportion of Kupffer cells (KC) as liver-resident macrophages is diminished in metastatic nodules. Paradoxically, genetic ablation of mo-macs results in only a marginal decrease in LMAMs. Using a proliferation-recording system and a KC-tracing model in a monocyte-deficient background, we find that LMAMs can be replenished either via increased local macrophage proliferation or by promoting KC infiltration. In the latter regard, KCs undergo transient proliferation and exhibit substantial phenotypic and functional alterations through epigenetic reprogramming following the vacating of macrophage niches by monocyte depletion. Our data thus suggest that a simultaneous blockade of monocyte recruitment and macrophage proliferation may effectively target immunosuppressive myelopoiesis and reprogram the microenvironment towards an immunostimulatory state.

摘要

炎症信号导致循环单核细胞的募集,并诱导其分化为促炎巨噬细胞。因此,是否阻断炎症单核细胞可以减轻疾病进展正在积极评估中。在这里,我们采用多种谱系追踪模型,表明单核细胞衍生的巨噬细胞(mo-mac)是免疫抑制性肝转移相关巨噬细胞(LMAM)的主要群体,而作为肝驻留巨噬细胞的枯否细胞(KC)的比例在转移结节中减少。矛盾的是,mo-mac 的基因缺失仅导致 LMAMs 略有减少。使用增殖记录系统和单核细胞缺陷背景下的 KC 追踪模型,我们发现 LMAMs 可以通过增加局部巨噬细胞增殖或通过促进 KC 浸润来补充。在后一种情况下,KC 经历短暂增殖,并通过单核细胞耗竭腾出巨噬细胞龛后经历表观遗传重编程而表现出显著的表型和功能改变。因此,我们的数据表明,同时阻断单核细胞募集和巨噬细胞增殖可能有效地靶向免疫抑制性髓样细胞生成,并将微环境重新编程为免疫刺激状态。

https://cdn.ncbi.nlm.nih.gov/pmc/blobs/9eec/11522483/8c82ca1ccafa/41467_2024_53659_Fig1_HTML.jpg

文献检索

告别复杂PubMed语法,用中文像聊天一样搜索,搜遍4000万医学文献。AI智能推荐,让科研检索更轻松。

立即免费搜索

文件翻译

保留排版,准确专业,支持PDF/Word/PPT等文件格式,支持 12+语言互译。

免费翻译文档

深度研究

AI帮你快速写综述,25分钟生成高质量综述,智能提取关键信息,辅助科研写作。

立即免费体验