• 文献检索
  • 文档翻译
  • 深度研究
  • 学术资讯
  • Suppr Zotero 插件Zotero 插件
  • 邀请有礼
  • 套餐&价格
  • 历史记录
应用&插件
Suppr Zotero 插件Zotero 插件浏览器插件Mac 客户端Windows 客户端微信小程序
定价
高级版会员购买积分包购买API积分包
服务
文献检索文档翻译深度研究API 文档MCP 服务
关于我们
关于 Suppr公司介绍联系我们用户协议隐私条款
关注我们

Suppr 超能文献

核心技术专利:CN118964589B侵权必究
粤ICP备2023148730 号-1Suppr @ 2026

文献检索

告别复杂PubMed语法,用中文像聊天一样搜索,搜遍4000万医学文献。AI智能推荐,让科研检索更轻松。

立即免费搜索

文件翻译

保留排版,准确专业,支持PDF/Word/PPT等文件格式,支持 12+语言互译。

免费翻译文档

深度研究

AI帮你快速写综述,25分钟生成高质量综述,智能提取关键信息,辅助科研写作。

立即免费体验

颈椎伸展时导致高血压急症的非典型颈椎病性神经根病:一例报告并文献复习

Atypical cervical spondylotic radiculopathy resulting in a hypertensive emergency during cervical extension: A case report and review of literature.

作者信息

Cui Hao-Cheng, Chang Zheng-Qi, Zhao Shao-Ke

机构信息

Department of Orthopedic Surgery, 960 Hospital of PLA, Jinan 250031, Shandong Province, China.

出版信息

World J Orthop. 2024 Oct 18;15(10):981-990. doi: 10.5312/wjo.v15.i10.981.

DOI:10.5312/wjo.v15.i10.981
PMID:39473513
原文链接:https://pmc.ncbi.nlm.nih.gov/articles/PMC11514544/
Abstract

BACKGROUND

Extensive research revealed the absence of reports documenting hypertensive emergencies precipitated by changes in the cervical spine posture.

CASE SUMMARY

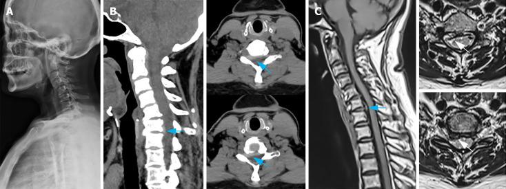
We here present a 57-year-old woman diagnosed as having cervical spondylotic radiculopathy (CSR) who was scheduled for anterior cervical decompression and fusion. During post-anesthetic positioning, a sudden hypertensive surge was observed when the patient was in a supine position with the neck being slightly extended. This surge was promptly reversed through cervical flexion and head elevation. This event however required an alternate surgical approach for recovery-posterior laminoplasty and endoscopy-assisted nucleus pulposus removal. Following the 6-month outpatient follow-up period, cervical flexion and extension activities substantially improved in the patient without any episodes of increase in acute blood pressure.

CONCLUSION

Maintaining a safe hypotensive posture and performing rapid, thorough decompression surgery may serve as effective interventions for patients presenting symptoms similar to those of CSR accompanied by hypertensive emergencies (HE). This would mitigate the underlying causes of these HEs.

摘要

背景

广泛研究表明,目前尚无关于颈椎姿势改变引发高血压急症的报道。

病例摘要

我们在此介绍一名57岁女性,被诊断为神经根型颈椎病(CSR),计划接受颈椎前路减压融合术。在麻醉后体位摆放过程中,当患者处于颈部稍伸展的仰卧位时,突然出现高血压激增。通过颈椎屈曲和抬头,这种激增迅速得到逆转。然而,这一事件需要采用另一种手术方法进行恢复——后路椎板成形术和内镜辅助下髓核摘除术。经过6个月的门诊随访期,患者的颈椎屈伸活动有了显著改善,且未出现急性血压升高的情况。

结论

对于出现类似神经根型颈椎病症状并伴有高血压急症(HE)的患者,保持安全的低血压姿势并进行快速、彻底的减压手术可能是有效的干预措施。这将减轻这些高血压急症的潜在病因。

https://cdn.ncbi.nlm.nih.gov/pmc/blobs/2848/11514544/b4762229e1a9/WJO-15-981-g005.jpg
https://cdn.ncbi.nlm.nih.gov/pmc/blobs/2848/11514544/1060f3b314be/WJO-15-981-g001.jpg
https://cdn.ncbi.nlm.nih.gov/pmc/blobs/2848/11514544/8a1f97c4a865/WJO-15-981-g002.jpg
https://cdn.ncbi.nlm.nih.gov/pmc/blobs/2848/11514544/fd6acbba4763/WJO-15-981-g003.jpg
https://cdn.ncbi.nlm.nih.gov/pmc/blobs/2848/11514544/a900f9e2bd1f/WJO-15-981-g004.jpg
https://cdn.ncbi.nlm.nih.gov/pmc/blobs/2848/11514544/b4762229e1a9/WJO-15-981-g005.jpg
https://cdn.ncbi.nlm.nih.gov/pmc/blobs/2848/11514544/1060f3b314be/WJO-15-981-g001.jpg
https://cdn.ncbi.nlm.nih.gov/pmc/blobs/2848/11514544/8a1f97c4a865/WJO-15-981-g002.jpg
https://cdn.ncbi.nlm.nih.gov/pmc/blobs/2848/11514544/fd6acbba4763/WJO-15-981-g003.jpg
https://cdn.ncbi.nlm.nih.gov/pmc/blobs/2848/11514544/a900f9e2bd1f/WJO-15-981-g004.jpg
https://cdn.ncbi.nlm.nih.gov/pmc/blobs/2848/11514544/b4762229e1a9/WJO-15-981-g005.jpg

相似文献

1
Atypical cervical spondylotic radiculopathy resulting in a hypertensive emergency during cervical extension: A case report and review of literature.颈椎伸展时导致高血压急症的非典型颈椎病性神经根病:一例报告并文献复习
World J Orthop. 2024 Oct 18;15(10):981-990. doi: 10.5312/wjo.v15.i10.981.
2
A comparison study of posterior cervical percutaneous endoscopic ventral bony decompression and simple dorsal decompression treatment in cervical spondylotic radiculopathy caused by cervical foraminal and/or lateral spinal stenosis: a clinical retrospective study.颈椎管狭窄症伴椎间孔及(或)侧隐窝狭窄所致神经根型颈椎病后路经皮颈椎内镜下前路减压与单纯后路减压治疗的对比研究:一项临床回顾性研究。
BMC Musculoskelet Disord. 2020 May 11;21(1):290. doi: 10.1186/s12891-020-03313-2.
3
Does rehabilitation of cervical lordosis influence sagittal cervical spine flexion extension kinematics in cervical spondylotic radiculopathy subjects?颈椎生理前凸的恢复是否会影响神经根型颈椎病患者颈椎矢状面屈伸运动学?
J Back Musculoskelet Rehabil. 2017;30(4):937-941. doi: 10.3233/BMR-150464.
4
Clinical application of large channel endoscopic decompression in posterior cervical spine disorders.大通道内镜下颈椎后路减压的临床应用。
BMC Musculoskelet Disord. 2019 Nov 18;20(1):548. doi: 10.1186/s12891-019-2920-6.
5
Multilevel posterior foraminotomy with laminoplasty versus laminoplasty alone for cervical spondylotic myelopathy with radiculopathy: a comparative study.多节段颈椎后路减压融合术与单纯颈椎后路减压术治疗伴神经根病的脊髓型颈椎病的比较研究。
Spine J. 2018 Mar;18(3):414-421. doi: 10.1016/j.spinee.2017.08.222. Epub 2017 Sep 4.
6
The Clinical Features, Risk Factors, and Surgical Treatment of Cervicogenic Headache in Patients With Cervical Spine Disorders Requiring Surgery.需要手术治疗的颈椎疾病患者中颈源性头痛的临床特征、危险因素及外科治疗
Headache. 2017 Jul;57(7):1109-1117. doi: 10.1111/head.13123. Epub 2017 Jun 5.
7
Deep Learning-Based Cervical Spine Posterior Percutaneous Endoscopic Disc Nucleus Resection for the Treatment of Cervical Spondylotic Radiculopathy.基于深度学习的颈椎后路经皮内窥镜下椎间盘切除术治疗神经根型颈椎病。
J Healthc Eng. 2021 Dec 17;2021:7245566. doi: 10.1155/2021/7245566. eCollection 2021.
8
Effect of double-door laminoplasty on atypical symptoms associated with cervical spondylotic myelopathy/radiculopathy.双开门椎板成形术对脊髓型颈椎病/神经根型颈椎病相关非典型症状的影响。
BMC Surg. 2016 May 10;16(1):31. doi: 10.1186/s12893-016-0146-1.
9
Effect of different surgical methods on headache associated with cervical spondylotic myelopathy and/or radiculopathy.不同手术方法对脊髓型颈椎病和/或神经根型颈椎病相关头痛的影响。
BMC Surg. 2015 Sep 23;15(1):105. doi: 10.1186/s12893-015-0092-3.
10
Posterior endoscopic cervical foramiotomy and discectomy: clinical and radiological computer tomography evaluation on the bony effect of decompression with 2 years follow-up.后路颈椎内窥镜下椎间孔切开术和椎间盘切除术:2 年随访的影像学 CT 评估对减压的骨效应
Eur Spine J. 2021 Feb;30(2):534-546. doi: 10.1007/s00586-020-06637-8. Epub 2020 Oct 19.

本文引用的文献

1
Effect of Cervical Decompression on Atypical Symptoms Cervical Spondylosis-A Narrative Review and Meta-Analysis.颈椎减压对非典型症状性颈椎病的影响——一项叙述性综述和荟萃分析
World Neurosurg. 2022 Jan;157:207-217.e1. doi: 10.1016/j.wneu.2021.09.110. Epub 2021 Oct 14.
2
2020 International Society of Hypertension Global Hypertension Practice Guidelines.2020年国际高血压学会全球高血压实践指南
Hypertension. 2020 Jun;75(6):1334-1357. doi: 10.1161/HYPERTENSIONAHA.120.15026. Epub 2020 May 6.
3
Functional Pathway Between Cervical Spinal and Sympathetic Ganglia: A Neurochemical Foundation Between Neck Pain and Vertigo.
颈椎与交感神经节之间的功能途径:颈痛与眩晕之间的神经化学基础。
Pain Physician. 2019 Nov;22(6):E627-E633.
4
ESC Council on hypertension position document on the management of hypertensive emergencies.ESC 高血压理事会关于高血压急症管理的立场文件。
Eur Heart J Cardiovasc Pharmacother. 2019 Jan 1;5(1):37-46. doi: 10.1093/ehjcvp/pvy032.
5
The New ACC/AHA Hypertension Guidelines for the Prevention, Detection, Evaluation, and Management of High Blood Pressure in Adults.美国心脏病学会/美国心脏协会成人高血压预防、检测、评估和管理新指南
Am J Hypertens. 2018 Jan 12;31(2):133-135. doi: 10.1093/ajh/hpx207.
6
Effect of double-door laminoplasty on atypical symptoms associated with cervical spondylotic myelopathy/radiculopathy.双开门椎板成形术对脊髓型颈椎病/神经根型颈椎病相关非典型症状的影响。
BMC Surg. 2016 May 10;16(1):31. doi: 10.1186/s12893-016-0146-1.
7
Effect of different surgical methods on headache associated with cervical spondylotic myelopathy and/or radiculopathy.不同手术方法对脊髓型颈椎病和/或神经根型颈椎病相关头痛的影响。
BMC Surg. 2015 Sep 23;15(1):105. doi: 10.1186/s12893-015-0092-3.
8
Cervical spondylosis and hypertension: a clinical study of 2 cases.颈椎病与高血压:2例临床研究
Medicine (Baltimore). 2015 Mar;94(10):e618. doi: 10.1097/MD.0000000000000618.
9
Sympathetic nerve innervation in cervical posterior longitudinal ligament as a potential causative factor in cervical spondylosis with sympathetic symptoms and preliminary evidence.颈椎后纵韧带中的交感神经支配:颈椎病伴交感症状的潜在致病因素及初步证据
Med Hypotheses. 2014 May;82(5):631-5. doi: 10.1016/j.mehy.2014.02.029. Epub 2014 Mar 5.
10
2013 ESH/ESC Guidelines for the management of arterial hypertension: the Task Force for the management of arterial hypertension of the European Society of Hypertension (ESH) and of the European Society of Cardiology (ESC).2013年欧洲高血压学会(ESH)和欧洲心脏病学会(ESC)动脉高血压管理指南:欧洲高血压学会(ESH)和欧洲心脏病学会(ESC)动脉高血压管理特别工作组
J Hypertens. 2013 Jul;31(7):1281-357. doi: 10.1097/01.hjh.0000431740.32696.cc.