Suppr超能文献

局部应用褪黑素联合或不联合异种材料在大鼠颅骨临界缺损中的作用。

Local application of melatonin associated or not to xenogeneic material, in critical defects of rat calvaria.

机构信息

Faculdade e Centro de Pesquisas Odontológicas São Leopoldo Mandic, Campinas, São Paulo, Brasil.

出版信息

Acta Odontol Latinoam. 2024 Sep 30;37(2):123-133. doi: 10.54589/aol.37/2/123.

Abstract

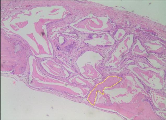
Melatonin (MLT) is a hormone that can stimulate bone formation and inhibit bone resorption, among other functions. Aim: To evaluate the effect on new bone formation of MLT applied locally to critical defects created in the calvaria of rats, compared to the effect of Bio-Oss® xenogeneic bone substitute (BO), by analyzing histomorphometry, microtomography and gene expression. Materials and Method: Two critical defects (5.0 mm in diameter) were created in the calvaria of 36 adults male Wistar rats. The rats were divided randomly into two groups: a test group, in which one of the defects was filled with MLT, and the other with MLT with Bio-Oss® (MLTBO), and a control group, in which one of the defects was filled only with the clot (C), and the other with BO. The rats were euthanized 30 days after surgery. Samples of the calvaria containing the critical defects were collected for analysis by histomorphometry, microtomography, and the expression of the genes for type I collagen (COL-I), osteopontin (OPN) and bone morphogenetic protein 2 (BMP-2). Results: A qualitative improvement was observed in bone healing when MLT was used, though there was no statistical difference in the quantification of newly formed bone (p>0.05). Micro-CT showed that bone volume was significantly smaller in absence of BO (p=0.006). Bone trabeculae thickness (p=0.590) and number (p=0.150) were not significantly affected by MLT. Regarding the expression of the genes COL-I, OPN and BMP-2, no significant differences were observed between the MLT, BO and MLTBO groups. Conclusion: Topical application of MLT resulted in a qualitative improvement in bone healing, although it did not affect bone formation quantitatively. In the absence of BO, less bone volume and less bone trabecular thickness were observed.

摘要

褪黑素(MLT)是一种激素,具有刺激骨形成和抑制骨吸收等功能。目的:通过分析组织形态计量学、微断层扫描和基因表达,评估 MLT 局部应用于大鼠颅骨临界缺损对新骨形成的影响,并与异种骨替代物 Bio-Oss®(BO)的影响进行比较。材料和方法:在 36 只成年雄性 Wistar 大鼠颅骨上创建两个临界缺损(直径 5.0mm)。将大鼠随机分为两组:实验组,一个缺损填充 MLT,另一个缺损填充 MLT 和 BO(MLTBO),对照组,一个缺损仅填充血凝块(C),另一个缺损填充 BO。手术后 30 天处死大鼠。收集包含临界缺损的颅骨样本进行组织形态计量学、微断层扫描和 I 型胶原(COL-I)、骨桥蛋白(OPN)和骨形态发生蛋白 2(BMP-2)基因表达分析。结果:当使用 MLT 时,观察到骨愈合质量的改善,但新形成骨的定量无统计学差异(p>0.05)。微 CT 显示,在没有 BO 的情况下,骨体积明显较小(p=0.006)。骨小梁厚度(p=0.590)和数量(p=0.150)不受 MLT 影响。关于 COL-I、OPN 和 BMP-2 基因的表达,MLT、BO 和 MLTBO 组之间无显著差异。结论:局部应用 MLT 可改善骨愈合质量,但对骨形成无明显影响。在没有 BO 的情况下,观察到骨体积和骨小梁厚度减少。

https://cdn.ncbi.nlm.nih.gov/pmc/blobs/c58b/11590004/7ed9f71a1549/1852-4834-37-2-123-g001.jpg

文献AI研究员

20分钟写一篇综述,助力文献阅读效率提升50倍。

立即体验

用中文搜PubMed

大模型驱动的PubMed中文搜索引擎

马上搜索

文档翻译

学术文献翻译模型,支持多种主流文档格式。

立即体验