Chatchomchuan Waralee, Thewjitcharoen Yotsapon, Nakasatien Soontaree, Suvikapakornkul Ronnarat, Keerawat Somboon, Himathongkam Thep
Theptarin Diabetes, Thyroid, and Endocrine center, Vimut-Theptarin Hospital, Bangkok 10110, Thailand.
Department of Surgery, Faculty of Medicine, Ramathibodi Hospital, Mahidol University, Bangkok 10400, Thailand.
JCEM Case Rep. 2024 Nov 4;2(11):luae197. doi: 10.1210/jcemcr/luae197. eCollection 2024 Nov.
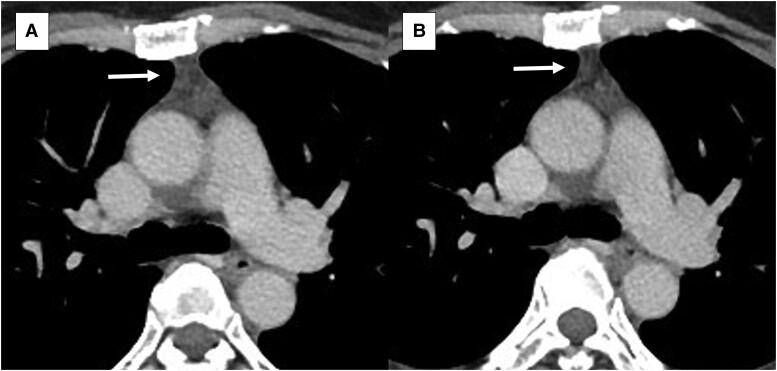
Thymic hyperplasia has occasionally been reported in patients with Graves disease (GD). However, ectopic cervical thymic hyperplasia in the setting of hyperthyroid GD is exceptionally rare. We describe a case of a 54-year-old Thai woman who presented with hyperthyroidism, diplopia, and pretibial myxedema. She underwent a total thyroidectomy because of diplopia caused by Graves ophthalmopathy. During the surgery, 3 macroscopically abnormal enlargements of parathyroid gland-like tissue were identified and removed. Histopathology revealed hyperplastic thymic tissue mixed with 1 normal-sized parathyroid gland at the location of the left upper parathyroid gland, and thymic tissue was found in the sample labeled as the right upper parathyroid gland. Notably, the sample labeled as the right lower parathyroid gland was actually determined to be a lymph node. Preoperative blood samples showed normal serum calcium and parathyroid hormone levels. Postoperatively, computed tomography of the chest showed thymic hyperplasia in the anterior mediastinum, which slightly regressed at the 9-month follow-up. The patient had transient hypoparathyroidism requiring oral calcium and active vitamin D supplements for 6 months postoperatively. Ectopic cervical thymic hyperplasia can be found in GD and might be indistinguishable from parathyroid hyperplasia. Biochemical evaluations are required to exclude concomitant hyperparathyroidism, and a conservative approach should be considered.
胸腺增生偶尔会在格雷夫斯病(GD)患者中被报道。然而,甲状腺功能亢进型GD患者出现异位颈部胸腺增生极为罕见。我们描述了一例54岁泰国女性患者,她表现为甲状腺功能亢进、复视和胫前黏液性水肿。由于格雷夫斯眼病导致的复视,她接受了全甲状腺切除术。手术过程中,发现并切除了3处肉眼可见的甲状旁腺样组织异常增大。组织病理学显示,左上甲状旁腺位置有增生的胸腺组织与1个正常大小的甲状旁腺混合,且在标记为右上甲状旁腺的样本中发现了胸腺组织。值得注意的是,标记为右下甲状旁腺的样本实际上被确定为一个淋巴结。术前血液样本显示血清钙和甲状旁腺激素水平正常。术后,胸部计算机断层扫描显示前纵隔有胸腺增生,在9个月的随访中略有消退。患者术后出现短暂性甲状旁腺功能减退,需要口服钙剂和活性维生素D补充剂6个月。异位颈部胸腺增生可在GD患者中发现,可能与甲状旁腺增生难以区分。需要进行生化评估以排除合并的甲状旁腺功能亢进,应考虑采取保守治疗方法。