• 文献检索
  • 文档翻译
  • 深度研究
  • 学术资讯
  • Suppr Zotero 插件Zotero 插件
  • 邀请有礼
  • 套餐&价格
  • 历史记录
应用&插件
Suppr Zotero 插件Zotero 插件浏览器插件Mac 客户端Windows 客户端微信小程序
定价
高级版会员购买积分包购买API积分包
服务
文献检索文档翻译深度研究API 文档MCP 服务
关于我们
关于 Suppr公司介绍联系我们用户协议隐私条款
关注我们

Suppr 超能文献

核心技术专利:CN118964589B侵权必究
粤ICP备2023148730 号-1Suppr @ 2026

文献检索

告别复杂PubMed语法,用中文像聊天一样搜索,搜遍4000万医学文献。AI智能推荐,让科研检索更轻松。

立即免费搜索

文件翻译

保留排版,准确专业,支持PDF/Word/PPT等文件格式,支持 12+语言互译。

免费翻译文档

深度研究

AI帮你快速写综述,25分钟生成高质量综述,智能提取关键信息,辅助科研写作。

立即免费体验

CGG重复扩增导致重叠性眼咽远端肌病和神经元核内包涵体病伴小脑弥散加权成像异常

CGG Repeat Expansion in Causing Overlapping Oculopharyngodistal Myopathy and Neuronal Intranuclear Inclusion Disease With Diffusion Weighted Imaging Abnormality in the Cerebellum.

作者信息

Ma Jing, Zhang Huiqiu, Meng Bing, Qin Jiangbo, Liu Hongye, Pang Xiaomin, Zhao Rongjuan, Wang Juan, Chang Xueli, Guo Junhong, Zhang Wei

机构信息

Department of Neurology, The First Hospital of Shanxi Medical University, Taiyuan, China.

Department of Neurology, First Clinical Medical College, Shanxi Medical University, Taiyuan, China.

出版信息

J Clin Neurol. 2024 Nov;20(6):580-590. doi: 10.3988/jcn.2023.0486.

DOI:10.3988/jcn.2023.0486
PMID:39505310
原文链接:https://pmc.ncbi.nlm.nih.gov/articles/PMC11543384/
Abstract

BACKGROUND AND PURPOSE

CGG repeat expansion in the 5' untranslated region (5'UTR) of the Notch 2 N-terminal-like C gene () has been associated with neuronal intranuclear inclusion disease (NIID) and oculopharyngodistal myopathy type 3 (OPDM3). Few OPDM3 patients have been reported. This report describes two OPDM3 patients with novel imaging findings who presented the typical features of NIID, and reviews all OPDM3 cases available in the literature.

METHODS

The available clinical, imaging, and pathological information was reviewed and investigated. CGG repeat expansion in the 5'UTR of was tested using the repeat-primed polymerase chain reaction (PCR), followed by the fluorescence amplicon-length PCR to determine the number of CGG repeats.

RESULTS

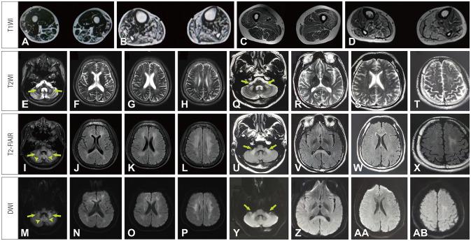
Our two OPDM3 patients and most patients reported in the literature developed the typical clinical characteristics of NIID, including leukoencephalopathy, peripheral neuropathy, cognitive deterioration, pigmentary retinopathy, ataxia, tremor, acute encephalitis-like episodes, pigmentary retinopathy, miosis, and sensorineural hearing loss. In addition to typical imaging findings of NIID, our two patients exhibited diffusion weighted imaging (DWI) hyperintensities in the middle cerebellar peduncles, which have not been described previously. Muscle biopsies revealed rimmed vacuoles and p62-positive intranuclear inclusions in the myofibers in both patients. The skin biopsy performed in one patient detected typical eosinophilic intranuclear inclusions. Genetic analysis identified CGG repeat expansion in as the causative mutation in the two patients.

CONCLUSIONS

Our two patients with OPDM3 had clinical characteristics of NIID and exhibited DWI abnormality in the cerebellum. Our results indicate that OPDM3 is within the spectrum of NIID and that DWI hyperintensities in the cerebellum are helpful for diagnosing NIID or OPDM3.

摘要

背景与目的

Notch 2 N端样C基因()5'非翻译区(5'UTR)中的CGG重复扩增与神经元核内包涵体病(NIID)和3型眼咽远端肌病(OPDM3)相关。报道的OPDM3患者较少。本报告描述了两名具有新影像学表现的OPDM3患者,他们呈现出NIID的典型特征,并回顾了文献中所有可用的OPDM3病例。

方法

回顾并研究了可用的临床、影像学和病理学信息。使用重复引物聚合酶链反应(PCR)检测中5'UTR的CGG重复扩增,随后进行荧光扩增子长度PCR以确定CGG重复的数量。

结果

我们的两名OPDM3患者以及文献中报道的大多数患者都出现了NIID的典型临床特征,包括白质脑病、周围神经病变、认知衰退、色素性视网膜病变、共济失调、震颤、急性脑炎样发作、色素性视网膜病变、瞳孔缩小和感音神经性听力损失。除了NIID的典型影像学表现外,我们的两名患者在小脑中脚出现了扩散加权成像(DWI)高信号,这在以前尚未有过描述。肌肉活检显示两名患者的肌纤维中均有边缘空泡和p62阳性核内包涵体。对一名患者进行的皮肤活检检测到典型嗜酸性核内包涵体。基因分析确定中CGG重复扩增是这两名患者的致病突变。

结论

我们的两名OPDM3患者具有NIID的临床特征,并在小脑中表现出DWI异常。我们的结果表明,OPDM3属于NIID范畴,小脑中的DWI高信号有助于诊断NIID或OPDM3。

https://cdn.ncbi.nlm.nih.gov/pmc/blobs/703e/11543384/bc7846349e3a/jcn-20-580-g005.jpg
https://cdn.ncbi.nlm.nih.gov/pmc/blobs/703e/11543384/4566ceb3b412/jcn-20-580-g001.jpg
https://cdn.ncbi.nlm.nih.gov/pmc/blobs/703e/11543384/2e13d7e9b25e/jcn-20-580-g002.jpg
https://cdn.ncbi.nlm.nih.gov/pmc/blobs/703e/11543384/558a4e698ff6/jcn-20-580-g003.jpg
https://cdn.ncbi.nlm.nih.gov/pmc/blobs/703e/11543384/ec6326cbc218/jcn-20-580-g004.jpg
https://cdn.ncbi.nlm.nih.gov/pmc/blobs/703e/11543384/bc7846349e3a/jcn-20-580-g005.jpg
https://cdn.ncbi.nlm.nih.gov/pmc/blobs/703e/11543384/4566ceb3b412/jcn-20-580-g001.jpg
https://cdn.ncbi.nlm.nih.gov/pmc/blobs/703e/11543384/2e13d7e9b25e/jcn-20-580-g002.jpg
https://cdn.ncbi.nlm.nih.gov/pmc/blobs/703e/11543384/558a4e698ff6/jcn-20-580-g003.jpg
https://cdn.ncbi.nlm.nih.gov/pmc/blobs/703e/11543384/ec6326cbc218/jcn-20-580-g004.jpg
https://cdn.ncbi.nlm.nih.gov/pmc/blobs/703e/11543384/bc7846349e3a/jcn-20-580-g005.jpg

相似文献

1
CGG Repeat Expansion in Causing Overlapping Oculopharyngodistal Myopathy and Neuronal Intranuclear Inclusion Disease With Diffusion Weighted Imaging Abnormality in the Cerebellum.CGG重复扩增导致重叠性眼咽远端肌病和神经元核内包涵体病伴小脑弥散加权成像异常
J Clin Neurol. 2024 Nov;20(6):580-590. doi: 10.3988/jcn.2023.0486.
2
Neuronal intranuclear inclusion disease in patients with adult-onset non-vascular leukoencephalopathy.成年起病的非血管性脑白质病伴神经元核内包涵体病。
Brain. 2022 Sep 14;145(9):3010-3021. doi: 10.1093/brain/awac135.
3
CGG expansion in NOTCH2NLC is associated with oculopharyngodistal myopathy with neurological manifestations.NOTCH2NLC 中的 CGG 扩展与具有神经表现的眼咽远端肌病有关。
Acta Neuropathol Commun. 2020 Nov 25;8(1):204. doi: 10.1186/s40478-020-01084-4.
4
Neuronal intranuclear inclusion disease: recognition and update.神经元核内包涵体病:认识与更新。
J Neural Transm (Vienna). 2021 Mar;128(3):295-303. doi: 10.1007/s00702-021-02313-3. Epub 2021 Feb 18.
5
Intranuclear inclusions in skin biopsies are not limited to neuronal intranuclear inclusion disease but can also be seen in oculopharyngodistal myopathy.皮肤活检中的核内包涵体并不局限于神经元核内包涵体病,在眼咽远端肌病中也可见到。
Neuropathol Appl Neurobiol. 2022 Apr;48(3):e12787. doi: 10.1111/nan.12787. Epub 2021 Dec 28.
6
NOTCH2NLC-related oculopharyngodistal myopathy type 3 complicated with focal segmental glomerular sclerosis: a case report.NOTCH2NLC 相关眼咽远端肌病合并局灶节段性肾小球硬化症:一例报告。
BMC Neurol. 2022 Jul 4;22(1):243. doi: 10.1186/s12883-022-02766-3.
7
FXTAS is difficult to differentiate from neuronal intranuclear inclusion disease through skin biopsy: a case report.通过皮肤活检,很难将 FXTAS 与神经核内包涵体病区分开来:一例报告。
BMC Neurol. 2021 Oct 12;21(1):396. doi: 10.1186/s12883-021-02425-z.
8
Encephalitis-like episodes with cortical edema and enhancement in patients with neuronal intranuclear inclusion disease.神经元核内包涵体病患者伴皮质水肿和强化的脑炎样发作。
Neurol Sci. 2024 Sep;45(9):4501-4511. doi: 10.1007/s10072-024-07492-x. Epub 2024 Mar 26.
9
Long-read sequencing identified repeat expansions in the 5'UTR of the gene from Chinese patients with neuronal intranuclear inclusion disease.长读测序鉴定了中国神经元核内包涵体病患者基因 5'UTR 中的重复扩展。
J Med Genet. 2019 Nov;56(11):758-764. doi: 10.1136/jmedgenet-2019-106268. Epub 2019 Aug 14.
10
GGC Repeat Expansion in Patients With Vascular Leukoencephalopathy.血管性白质脑病患者的GGC重复序列扩增
Stroke. 2023 May;54(5):1236-1245. doi: 10.1161/STROKEAHA.122.041848. Epub 2023 Mar 21.

引用本文的文献

1
A case report of oculopharyngodistal myopathy with 126 CGG repeat expansions in .一例伴有126次CGG重复扩增的眼咽远端肌病病例报告
Front Genet. 2025 Feb 27;16:1472907. doi: 10.3389/fgene.2025.1472907. eCollection 2025.

本文引用的文献

1
NOTCH2NLC-related oculopharyngodistal myopathy type 3 complicated with focal segmental glomerular sclerosis: a case report.NOTCH2NLC 相关眼咽远端肌病合并局灶节段性肾小球硬化症:一例报告。
BMC Neurol. 2022 Jul 4;22(1):243. doi: 10.1186/s12883-022-02766-3.
2
GGC repeat expansions in NOTCH2NLC causing a phenotype of lower motor neuron syndrome.NOTCH2NLC 中的 GGC 重复扩展导致下运动神经元综合征表型。
J Neurol. 2022 Aug;269(8):4469-4477. doi: 10.1007/s00415-022-11092-0. Epub 2022 Apr 2.
3
An autopsy case of adult-onset neuronal intranuclear inclusion disease with perivascular preservation in cerebral white matter.
一例成人起病的脑白质血管周围保留型神经元核内包涵体病尸检病例。
Neuropathology. 2022 Feb;42(1):66-73. doi: 10.1111/neup.12778. Epub 2021 Dec 26.
4
Characteristics of ocular findings of patients with neuronal intranuclear inclusion disease.神经元核内包涵体病患者眼部表现的特征。
Neurol Sci. 2022 May;43(5):3231-3237. doi: 10.1007/s10072-021-05748-4. Epub 2021 Nov 19.
5
The Phenotypes and Mechanisms of NOTCH2NLC-Related GGC Repeat Expansion Disorders: a Comprehensive Review.NOTCH2NLC相关GGC重复序列扩增疾病的表型与机制:综述
Mol Neurobiol. 2022 Jan;59(1):523-534. doi: 10.1007/s12035-021-02616-2. Epub 2021 Oct 31.
6
-related disorders: the widening spectrum and genotype-phenotype correlation.相关疾病:不断拓宽的疾病谱及基因型-表型相关性。
J Med Genet. 2022 Jan;59(1):1-9. doi: 10.1136/jmedgenet-2021-107883. Epub 2021 Oct 21.
7
FXTAS is difficult to differentiate from neuronal intranuclear inclusion disease through skin biopsy: a case report.通过皮肤活检,很难将 FXTAS 与神经核内包涵体病区分开来:一例报告。
BMC Neurol. 2021 Oct 12;21(1):396. doi: 10.1186/s12883-021-02425-z.
8
Clinicopathologic Features of Oculopharyngodistal Myopathy With LRP12 CGG Repeat Expansions Compared With Other Oculopharyngodistal Myopathy Subtypes.眼咽远端肌病伴 LRP12 CGG 重复扩展与其他眼咽远端肌病亚型的临床病理特征比较。
JAMA Neurol. 2021 Jul 1;78(7):853-863. doi: 10.1001/jamaneurol.2021.1509.
9
GGC repeat expansions in NOTCH2NLC causing a phenotype of distal motor neuropathy and myopathy.NOTCH2NLC 中的 GGC 重复扩展导致远端运动神经病和肌病的表型。
Ann Clin Transl Neurol. 2021 Jun;8(6):1330-1342. doi: 10.1002/acn3.51371. Epub 2021 May 4.
10
The GGC repeat expansion in NOTCH2NLC is associated with oculopharyngodistal myopathy type 3.NOTCH2NLC 中的 GGC 重复扩展与眼咽远端肌病 3 型有关。
Brain. 2021 Jul 28;144(6):1819-1832. doi: 10.1093/brain/awab077.