Suppr超能文献

三级医疗中心肾活检中膜性肾病的临床病理分析及其与磷脂酶A2受体(PLA2R)免疫组化表达的相关性

A Clinicopathological Analysis of Membranous Nephropathy and Its Correlation With the Immunohistochemical Expression of Phospholipase A2 Receptor (PLA2R) in Renal Biopsies in a Tertiary Care Center.

作者信息

K Hemapriya, Balasubramanian Subalakshmi, Gunabooshanam Barathi, As Ponneyinchelvi, V Pavithra, Elumalai Ram P

机构信息

Pathology, Sri Ramachandra Institute of Higher Education and Research, Chennai, IND.

Pathology, Coimbatore Kidney Centre, Coimbatore, IND.

出版信息

Cureus. 2024 Oct 6;16(10):e70960. doi: 10.7759/cureus.70960. eCollection 2024 Oct.

Abstract

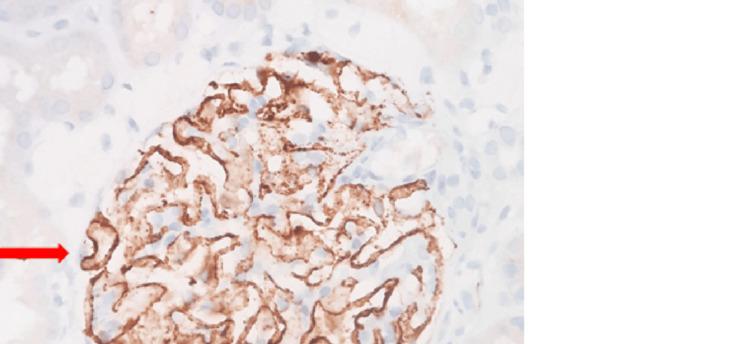
Background  Membranous nephropathy (MN) is the second most common adult-onset nephrotic syndrome worldwide. Traditionally, these were classified as primary and secondary, with primary causes showing higher positivity for various antigens, including M-type phospholipase A2 receptor (PLA2R), a key antigen located in the podocyte against which antibodies are directed. Aim The aim of this study is to analyze the cases diagnosed as MN with clinicopathological parameters and PLA2R positivity by immunohistochemistry in renal biopsies. Methods A retrospective observational study of 65 cases of MN diagnosed in renal biopsies by light microscopy and confirmed by ancillary studies from the Department of Pathology, Sri Ramachandra Medical College and Research Institute over a period of three years (2021-2023). The demographic profile and patient details were obtained from the hospital information system and archival case files. The description of categorical variables was expressed as frequency and percentage. The Chi-squared test and Fisher's exact test were employed to compare the distribution of qualitative variables between the groups. Results This case study includes 65 membranous nephropathy cases, of which 47.7% were diagnosed as primary MN and 52.3% as secondary MN. Of these, serum antinuclear antibody (ANA) positivity was seen in 80.6% of cases of primary MN and 58.8% of cases of secondary MN. Elevated serum C3/C4 levels were noted in 51.6% of primary MN and 47.1% of secondary MN (Ref. C3 = 90-180mg/dl; C4 = 10-40mg/dl). Immunofluorescence for IgG showed a nonspecific association between primary and secondary MN. Immunohistochemistry (IHC) for PLA2R showed positivity in 72.3% of primary MN cases and 27.7% of secondary MN cases. The Chi-squared test and Fisher's exact test showed statistical significance for these parameters. Conclusion This study signifies that primary MN is more frequently associated with positive immunohistochemical expression of PLA2R. These findings help in characterizing these cases as antigen-specific and have helped in the ongoing validation of PLA2R IHC as a diagnostic marker, which aids in monitoring the disease progression, remission, and recurrence. Despite the availability of various modalities for estimating the levels of anti-PLA2R, diagnostic challenges persist. Hence, most renal laboratories continue to adopt renal biopsy staining for IHC PLA2R to identify and monitor the disease progression.

摘要

背景 膜性肾病(MN)是全球第二常见的成人起病的肾病综合征。传统上,这些病例被分为原发性和继发性,原发性病因对包括M型磷脂酶A2受体(PLA2R)在内的各种抗原显示出更高的阳性率,PLA2R是位于足细胞中的一种关键抗原,抗体即针对该抗原产生。目的 本研究旨在通过肾活检的临床病理参数和免疫组化检测PLA2R阳性情况,对诊断为MN的病例进行分析。方法 对在三年(2021 - 2023年)期间于斯里兰卡拉马钱德拉医学院和研究所病理科经光镜诊断并经辅助检查确诊的65例MN病例进行回顾性观察研究。人口统计学资料和患者详细信息从医院信息系统和档案病例中获取。分类变量的描述以频率和百分比表示。采用卡方检验和费舍尔精确检验比较两组间定性变量的分布。结果 本病例研究包括65例膜性肾病病例,其中47.7%被诊断为原发性MN,52.3%为继发性MN。其中,原发性MN病例中80.6%血清抗核抗体(ANA)阳性,继发性MN病例中58.8%阳性。原发性MN中51.6%血清C3/C4水平升高,继发性MN中47.1%升高(参考值:C3 = 90 - 180mg/dl;C4 = 10 - 40mg/dl)。IgG免疫荧光显示原发性和继发性MN之间存在非特异性关联。PLA2R免疫组化(IHC)显示原发性MN病例中72.3%阳性,继发性MN病例中27.7%阳性。卡方检验和费舍尔精确检验显示这些参数具有统计学意义。结论 本研究表明原发性MN更常与PLA2R免疫组化阳性表达相关。这些发现有助于将这些病例表征为抗原特异性,并有助于正在进行的将PLA2R IHC验证为诊断标志物的工作,这有助于监测疾病进展、缓解和复发。尽管有多种评估抗PLA2R水平的方法,但诊断挑战依然存在。因此,大多数肾脏实验室继续采用肾活检进行PLA2R IHC染色以识别和监测疾病进展。

https://cdn.ncbi.nlm.nih.gov/pmc/blobs/5912/11538043/aac72b95c7bb/cureus-0016-00000070960-i01.jpg

文献检索

告别复杂PubMed语法,用中文像聊天一样搜索,搜遍4000万医学文献。AI智能推荐,让科研检索更轻松。

立即免费搜索

文件翻译

保留排版,准确专业,支持PDF/Word/PPT等文件格式,支持 12+语言互译。

免费翻译文档

深度研究

AI帮你快速写综述,25分钟生成高质量综述,智能提取关键信息,辅助科研写作。

立即免费体验