Suppr超能文献

Demyelinating lesions due to Theiler's virus are associated with ongoing central nervous system infection.

作者信息

Chamorro M, Aubert C, Brahic M

出版信息

J Virol. 1986 Mar;57(3):992-7. doi: 10.1128/JVI.57.3.992-997.1986.

Abstract

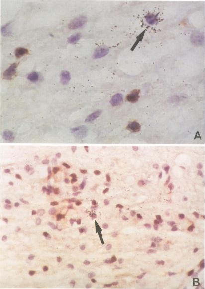
We used in situ hybridization and immunocytochemistry to look for a correlation between virus expression and white matter lesions during late demyelinating disease due to persistent Theiler's virus infection. We found the following. (i) Tissue lesions developed at the site of virus infection. This correlation was not explained by infection of lymphocytes and macrophages. (ii) Large differences in the extent of pathology existed between mice. The amount of inflammation paralleled the number of cells containing viral RNA or viral capsid antigens. (iii) C57BL/6 mice, which are resistant to demyelination, were able to eradicate the infection. Our results are strongly in favor of a mechanism of demyelination in which viral gene products play a central role.

摘要
https://cdn.ncbi.nlm.nih.gov/pmc/blobs/9481/252831/4cf091d0a690/jvirol00114-0289-a.jpg

文献AI研究员

20分钟写一篇综述,助力文献阅读效率提升50倍。

立即体验

用中文搜PubMed

大模型驱动的PubMed中文搜索引擎

马上搜索

文档翻译

学术文献翻译模型,支持多种主流文档格式。

立即体验