• 文献检索
  • 文档翻译
  • 深度研究
  • 学术资讯
  • Suppr Zotero 插件Zotero 插件
  • 邀请有礼
  • 套餐&价格
  • 历史记录
应用&插件
Suppr Zotero 插件Zotero 插件浏览器插件Mac 客户端Windows 客户端微信小程序
定价
高级版会员购买积分包购买API积分包
服务
文献检索文档翻译深度研究API 文档MCP 服务
关于我们
关于 Suppr公司介绍联系我们用户协议隐私条款
关注我们

Suppr 超能文献

核心技术专利:CN118964589B侵权必究
粤ICP备2023148730 号-1Suppr @ 2026

文献检索

告别复杂PubMed语法,用中文像聊天一样搜索,搜遍4000万医学文献。AI智能推荐,让科研检索更轻松。

立即免费搜索

文件翻译

保留排版,准确专业,支持PDF/Word/PPT等文件格式,支持 12+语言互译。

免费翻译文档

深度研究

AI帮你快速写综述,25分钟生成高质量综述,智能提取关键信息,辅助科研写作。

立即免费体验

双侧乳糜胸继发于甲状腺乳头状癌伴颈淋巴结清扫术:病例报告及文献复习。

Bilateral chylothorax following papillary thyroid carcinoma with cervical lymph node dissection: Case report and comprehensive review of the literature.

机构信息

Department of Breast and Thyroid Department, Women and Children's Hospital of Chongqing Medical University: Chongqing Health Center for Women and Children, Chongqing, China.

Intelligent Integrated Circuits and Systems Laboratory (SICS Lab), University of Electronic Science and Technology of China, Chengdu, China.

出版信息

Medicine (Baltimore). 2024 Nov 8;103(45):e40371. doi: 10.1097/MD.0000000000040371.

DOI:10.1097/MD.0000000000040371
PMID:39533596
原文链接:https://pmc.ncbi.nlm.nih.gov/articles/PMC11556962/
Abstract

RATIONALE

This case analysis and literature review aim to identify the causes of bilateral chylothorax following thyroid cancer surgery, a rare yet serious complication.

PATIENT CONCERNS

We report 2 East Asian women who developed bilateral chylothorax after undergoing total thyroidectomy with neck lymph node dissection. Both patients presented with dyspnea and significant pleural effusion postoperatively.

DIAGNOSES

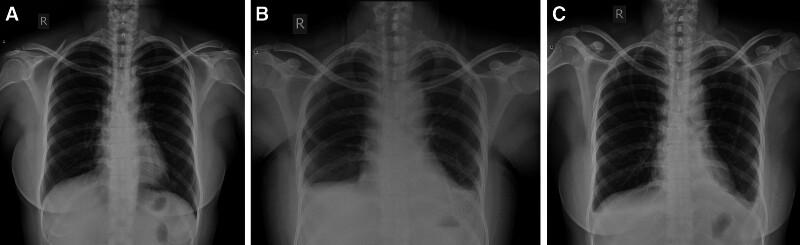
Both patients were diagnosed with bilateral chylothorax based on clinical examination and imaging studies, including chest ultrasonography and X-rays.

INTERVENTIONS

In both cases, conservative management was initially implemented, involving chest tube drainage, total parenteral nutrition, and octreotide therapy. Surgical intervention was considered if conservative measures failed to control the chylous output.

OUTCOMES

Both patients showed gradual improvement with conservative treatment, ultimately resulting in successful resolution of pleural effusion and discharge from the hospital without complications.

LESSONS

For patients with bilateral chylothorax, conservative treatment should be the initial approach for small effusions. For moderate to large effusions, placement of a chest drainage tube is recommended, and surgical intervention should be considered if chyle volume exceeds 10 mL/(kg/d) for 48 to 72 hours or persists for more than 11 days following conservative treatment.

摘要

背景

本病例分析及文献复习旨在明确甲状腺癌术后双侧乳糜胸的病因,这是一种罕见但严重的并发症。

病例介绍

我们报告了 2 例东亚女性,她们在接受甲状腺全切除术及颈部淋巴结清扫术后发生双侧乳糜胸。2 例患者术后均出现呼吸困难和明显胸腔积液。

诊断

根据临床检查和影像学研究,包括胸部超声和 X 线,均诊断为双侧乳糜胸。

治疗

最初均采用保守治疗,包括胸腔引流管、全胃肠外营养和奥曲肽治疗。如果保守治疗未能控制乳糜液排出,则考虑手术干预。

结果

2 例患者均经保守治疗逐渐好转,最终胸腔积液成功消退,患者无并发症出院。

结论

对于双侧乳糜胸患者,如果胸腔积液较小,应首先采用保守治疗。对于中至大量胸腔积液,建议放置胸腔引流管。如果在保守治疗后 48-72 小时内乳糜液量超过 10 mL/(kg/d)或持续超过 11 天,或持续存在,应考虑手术干预。

https://cdn.ncbi.nlm.nih.gov/pmc/blobs/bc9c/11556962/a1761aa9adf5/medi-103-e40371-g007.jpg
https://cdn.ncbi.nlm.nih.gov/pmc/blobs/bc9c/11556962/fd0684f4b79f/medi-103-e40371-g001.jpg
https://cdn.ncbi.nlm.nih.gov/pmc/blobs/bc9c/11556962/fa8e23abcd6a/medi-103-e40371-g002.jpg
https://cdn.ncbi.nlm.nih.gov/pmc/blobs/bc9c/11556962/8626985a0f53/medi-103-e40371-g003.jpg
https://cdn.ncbi.nlm.nih.gov/pmc/blobs/bc9c/11556962/42465c301490/medi-103-e40371-g004.jpg
https://cdn.ncbi.nlm.nih.gov/pmc/blobs/bc9c/11556962/c9680a159a0d/medi-103-e40371-g005.jpg
https://cdn.ncbi.nlm.nih.gov/pmc/blobs/bc9c/11556962/292b3030abe8/medi-103-e40371-g006.jpg
https://cdn.ncbi.nlm.nih.gov/pmc/blobs/bc9c/11556962/a1761aa9adf5/medi-103-e40371-g007.jpg
https://cdn.ncbi.nlm.nih.gov/pmc/blobs/bc9c/11556962/fd0684f4b79f/medi-103-e40371-g001.jpg
https://cdn.ncbi.nlm.nih.gov/pmc/blobs/bc9c/11556962/fa8e23abcd6a/medi-103-e40371-g002.jpg
https://cdn.ncbi.nlm.nih.gov/pmc/blobs/bc9c/11556962/8626985a0f53/medi-103-e40371-g003.jpg
https://cdn.ncbi.nlm.nih.gov/pmc/blobs/bc9c/11556962/42465c301490/medi-103-e40371-g004.jpg
https://cdn.ncbi.nlm.nih.gov/pmc/blobs/bc9c/11556962/c9680a159a0d/medi-103-e40371-g005.jpg
https://cdn.ncbi.nlm.nih.gov/pmc/blobs/bc9c/11556962/292b3030abe8/medi-103-e40371-g006.jpg
https://cdn.ncbi.nlm.nih.gov/pmc/blobs/bc9c/11556962/a1761aa9adf5/medi-103-e40371-g007.jpg

相似文献

1
Bilateral chylothorax following papillary thyroid carcinoma with cervical lymph node dissection: Case report and comprehensive review of the literature.双侧乳糜胸继发于甲状腺乳头状癌伴颈淋巴结清扫术:病例报告及文献复习。
Medicine (Baltimore). 2024 Nov 8;103(45):e40371. doi: 10.1097/MD.0000000000040371.
2
Bilateral Chylothorax Following Total Thyroidectomy with Neck Dissection for Papillary Thyroid Cancer: Case report.甲状腺乳头状癌行全甲状腺切除及颈部清扫术后双侧乳糜胸:病例报告
Sultan Qaboos Univ Med J. 2021 Aug;21(3):481-484. doi: 10.18295/squmj.4.2021.018. Epub 2021 Aug 29.
3
Massive Chylous Leakage After Endoscopic Thyroidectomy with Central Lymph Node Dissection: A Case Report.内镜甲状腺切除术联合中央区淋巴结清扫术后乳糜漏:病例报告。
Am J Case Rep. 2024 Jul 19;25:e944579. doi: 10.12659/AJCR.944579.
4
Bilateral chylothorax following total thyroidectomy with neck lymph node dissection for thyroid cancer: a case report and literature review.甲状腺癌行全甲状腺切除及颈部淋巴结清扫术后双侧乳糜胸:1例病例报告及文献复习
Front Oncol. 2025 Jan 8;14:1489410. doi: 10.3389/fonc.2024.1489410. eCollection 2024.
5
Chyle fistula as complication of thyroid surgery in malignant pathology.乳糜瘘作为恶性病变甲状腺手术的并发症。
Endocrinol Diabetes Nutr (Engl Ed). 2019 Apr;66(4):247-253. doi: 10.1016/j.endinu.2018.07.006. Epub 2018 Oct 8.
6
Chylothorax after neck dissection for thyroid carcinomas: report of three cases.甲状腺癌颈清扫术后乳糜胸:三例报告。
Surg Today. 2012 Jan;42(1):89-92. doi: 10.1007/s00595-011-0015-6. Epub 2011 Nov 11.
7
An Unusual Case of Bilateral Chylothorax After Neck Dissection.
JAMA Otolaryngol Head Neck Surg. 2021 Nov 1;147(11):1006-1008. doi: 10.1001/jamaoto.2021.2491.
8
Left-sided neck dissection and chylothorax: a rare complication and its management.左侧颈清扫术与乳糜胸:一种罕见的并发症及其处理
J Laryngol Otol. 2012 Jun;126(6):648-50. doi: 10.1017/S002221511200062X.
9
Bilateral chylothorax following neck dissection.
Head Neck. 1995 Jan-Feb;17(1):69-72. doi: 10.1002/hed.2880170115.
10
Efficacy of octreotide against chylothorax following lateral neck dissection for thyroid cancer: A case report.奥曲肽治疗甲状腺癌侧颈清扫术后乳糜胸的疗效:一例报告
Int J Surg Case Rep. 2016;21:107-10. doi: 10.1016/j.ijscr.2016.02.025. Epub 2016 Feb 27.

本文引用的文献

1
Lymphangiography-Guided Thoracic Duct Surgical Lymphovenous Bypass for Distal Thoracic Duct Occlusion.淋巴管造影引导下胸导管远端阻塞的胸导管手术淋巴静脉分流术
J Vasc Interv Radiol. 2023 Aug;34(8):1472-1473. doi: 10.1016/j.jvir.2023.04.004.
2
Lymphangiography and lymphatic embolisation for the treatment of chyle leaks after neck surgery: assessment of lymphangiography findings and embolisation techniques.淋巴管造影和淋巴栓塞治疗颈部手术后乳糜漏:淋巴管造影表现和栓塞技术评估。
Br J Radiol. 2023 Sep;96(1149):20220831. doi: 10.1259/bjr.20220831. Epub 2023 Jul 3.
3
Postoperative Chyle Leak Rate Following Neck Dissection for Squamous Cell Carcinoma Versus Papillary Thyroid Cancer.
颈清扫术后鳞癌与甲状腺乳头状癌的乳糜漏发生率。
Laryngoscope. 2023 Nov;133(11):2959-2964. doi: 10.1002/lary.30627. Epub 2023 Feb 24.
4
Horner's Syndrome and Lymphocele Following Thyroid Surgery.甲状腺手术后的霍纳综合征和淋巴管瘤
J Clin Med. 2023 Jan 6;12(2):474. doi: 10.3390/jcm12020474.
5
Chylothorax after thyroid surgery: A rare cause of postoperative hypoxia!甲状腺手术后乳糜胸:术后缺氧的罕见原因!
Indian J Anaesth. 2022 Aug;66(8):608-610. doi: 10.4103/ija.ija_290_22. Epub 2022 Aug 22.
6
An Unusual Case of Bilateral Chylothorax After Neck Dissection.
JAMA Otolaryngol Head Neck Surg. 2021 Nov 1;147(11):1006-1008. doi: 10.1001/jamaoto.2021.2491.
7
Bilateral Chylothorax Following Total Thyroidectomy with Neck Dissection for Papillary Thyroid Cancer: Case report.甲状腺乳头状癌行全甲状腺切除及颈部清扫术后双侧乳糜胸:病例报告
Sultan Qaboos Univ Med J. 2021 Aug;21(3):481-484. doi: 10.18295/squmj.4.2021.018. Epub 2021 Aug 29.
8
Management of chyle leaks following esophageal resection: a systematic review.食管切除术后乳糜漏的管理:系统评价。
Dis Esophagus. 2021 Nov 11;34(11). doi: 10.1093/dote/doab012.
9
Lymph or Chyle Leak After Neck Dissection in Patients With Thyroid Carcinoma: Results of a Study on 1724 Patients.甲状腺癌患者颈部清扫术后的淋巴或乳糜漏:一项对1724例患者的研究结果
Am Surg. 2022 Jan;88(1):109-114. doi: 10.1177/0003134820981723. Epub 2021 Mar 4.
10
Postoperative Chylothorax after Modified Radical Neck Dissection for Thyroid Carcinoma: A Missable Rare Complication of Thyroid Surgery.甲状腺癌改良根治性颈清扫术后乳糜胸:甲状腺手术中一种易被忽视的罕见并发症。
Medicina (Kaunas). 2020 Sep 21;56(9):481. doi: 10.3390/medicina56090481.