Suppr超能文献

使用射波刀治疗大体积脑膜瘤的临床经验:一项初步研究。

Clinical Experiences Using CyberKnife for Large-Volume Meningiomas: A Preliminary Study.

作者信息

Song Yonghun, Go Kyeong-O

机构信息

Department of Neurosurgery, Gyeongsang National University Changwon Hospital, Changwon, Korea.

Department of Neurosurgery, College of Medicine, Gyeongsang National University, Jinju, Korea.

出版信息

Brain Tumor Res Treat. 2024 Oct;12(4):230-236. doi: 10.14791/btrt.2024.0030.

Abstract

BACKGROUND

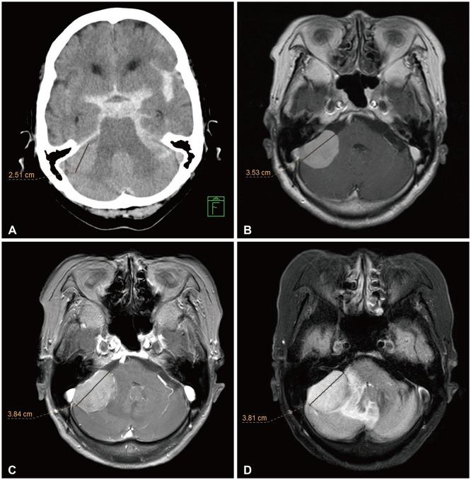
This preliminary study evaluates the safety and efficacy of CyberKnife radiosurgery (CKRS) for large-volume meningiomas (≥10 cm³), where surgical options may be limited due to tumor location or patient health conditions.

METHODS

We retrospectively analyzed 18 patients with meningiomas treated with CKRS at Gyeongsang National University Hospital between 2010 and 2020. Tumor control and survival rates were evaluated, with follow-up imaging performed regularly.

RESULTS

CKRS achieved a 5-year overall survival rate of 92.3% and a 5-year tumor control rate of 93.8%. Symptomatic peritumoral edema occurred in 61.1% of patients, with 16.7% requiring surgical intervention.

CONCLUSION

CKRS appears to be a promising option for patients with large meningiomas, showing good tumor control and manageable complications. Further studies with larger cohorts are necessary to confirm these findings.

摘要

背景

本初步研究评估了射波刀放射外科手术(CKRS)治疗大体积脑膜瘤(≥10 cm³)的安全性和有效性,对于此类肿瘤,由于肿瘤位置或患者健康状况,手术选择可能有限。

方法

我们回顾性分析了2010年至2020年间在庆尚国立大学医院接受CKRS治疗的18例脑膜瘤患者。评估了肿瘤控制率和生存率,并定期进行随访成像。

结果

CKRS的5年总生存率为92.3%,5年肿瘤控制率为93.8%。61.1%的患者出现有症状的瘤周水肿,其中16.7%的患者需要手术干预。

结论

CKRS似乎是大体积脑膜瘤患者的一个有前景的选择,显示出良好的肿瘤控制和可管理的并发症。需要进一步开展更大样本量队列研究来证实这些发现。

https://cdn.ncbi.nlm.nih.gov/pmc/blobs/a16d/11570087/b52384598e2f/btrt-12-230-g001.jpg

文献AI研究员

20分钟写一篇综述,助力文献阅读效率提升50倍。

立即体验

用中文搜PubMed

大模型驱动的PubMed中文搜索引擎

马上搜索

文档翻译

学术文献翻译模型,支持多种主流文档格式。

立即体验