Suppr超能文献

肾移植后依维莫司相关血栓性微血管病:一例报告

Everolimus-Associated Thrombotic Microangiopathy Following Renal Transplant: A Case Report.

作者信息

Leong Zachary Chi Wai, Kong Jason Henn Leong, Khor See Yee, Liew Yew Fong

机构信息

Nephrology, Hospital Pulau Pinang, George Town, MYS.

Pathology, Hospital Seberang Jaya, Permatang Pauh, MYS.

出版信息

Cureus. 2024 Oct 15;16(10):e71535. doi: 10.7759/cureus.71535. eCollection 2024 Oct.

Abstract

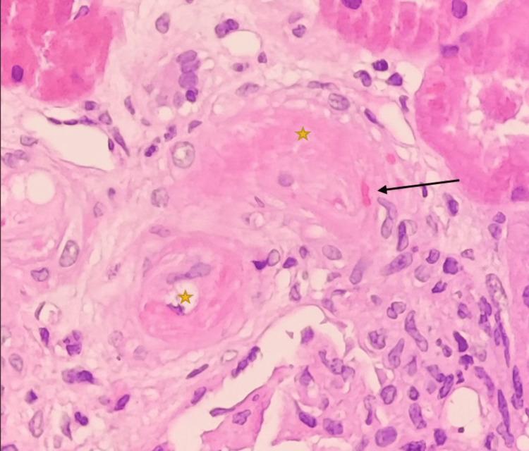
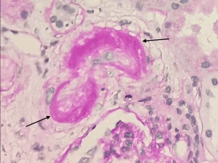
Thrombotic microangiopathy (TMA) is a serious complication that may affect post-renal transplant recipients. De novo TMA has been linked to the use of transplant immunosuppressive agents, including calcineurin inhibitors (CNI) and mammalian target of rapamycin inhibitors (mTORi). We report a case of a 41-year-old female renal transplant recipient who presented with hemolytic anemia, thrombocytopenia, and acute allograft dysfunction. Before her presentation, she was on immunosuppression with oral tacrolimus, oral prednisolone, and oral everolimus. Her renal biopsy showed features of TMA, which led to extensive workup to identify the underlying cause. Eventually, everolimus was recognized as the cause of secondary TMA as her hemolytic parameters and renal allograft function recovered following discontinuation of this drug. This case report highlights the association of everolimus with TMA in a post-renal transplant patient. Early recognition and drug withdrawal can prevent allograft loss.

摘要

血栓性微血管病(TMA)是一种可能影响肾移植受者术后的严重并发症。新发TMA与移植免疫抑制剂的使用有关,包括钙调神经磷酸酶抑制剂(CNI)和雷帕霉素靶蛋白抑制剂(mTORi)。我们报告一例41岁女性肾移植受者,出现溶血性贫血、血小板减少和急性移植肾功能障碍。在出现症状之前,她正在接受口服他克莫司、口服泼尼松龙和口服依维莫司的免疫抑制治疗。她的肾活检显示有TMA特征,这促使进行了广泛检查以确定潜在病因。最终,依维莫司被认定为继发性TMA的病因,因为停用该药物后她的溶血参数和移植肾功能得以恢复。本病例报告强调了依维莫司与肾移植术后患者TMA的关联。早期识别并停药可预防移植肾丢失。

https://cdn.ncbi.nlm.nih.gov/pmc/blobs/4544/11562689/394c90b72df5/cureus-0016-00000071535-i01.jpg

文献检索

告别复杂PubMed语法,用中文像聊天一样搜索,搜遍4000万医学文献。AI智能推荐,让科研检索更轻松。

立即免费搜索

文件翻译

保留排版,准确专业,支持PDF/Word/PPT等文件格式,支持 12+语言互译。

免费翻译文档

深度研究

AI帮你快速写综述,25分钟生成高质量综述,智能提取关键信息,辅助科研写作。

立即免费体验