• 文献检索
  • 文档翻译
  • 深度研究
  • 学术资讯
  • Suppr Zotero 插件Zotero 插件
  • 邀请有礼
  • 套餐&价格
  • 历史记录
应用&插件
Suppr Zotero 插件Zotero 插件浏览器插件Mac 客户端Windows 客户端微信小程序
定价
高级版会员购买积分包购买API积分包
服务
文献检索文档翻译深度研究API 文档MCP 服务
关于我们
关于 Suppr公司介绍联系我们用户协议隐私条款
关注我们

Suppr 超能文献

核心技术专利:CN118964589B侵权必究
粤ICP备2023148730 号-1Suppr @ 2026

文献检索

告别复杂PubMed语法,用中文像聊天一样搜索,搜遍4000万医学文献。AI智能推荐,让科研检索更轻松。

立即免费搜索

文件翻译

保留排版,准确专业,支持PDF/Word/PPT等文件格式,支持 12+语言互译。

免费翻译文档

深度研究

AI帮你快速写综述,25分钟生成高质量综述,智能提取关键信息,辅助科研写作。

立即免费体验

华法林治疗期间后颅窝慢性硬膜下血肿伴听力障碍,经脑膜中动脉栓塞改善:一例报告

Chronic Subdural Hematoma in the Posterior Fossa Associated with Hearing Impairment during Warfarin Therapy, Improved by Middle Meningeal Artery Embolization: A Case Report.

作者信息

Yamauchi Yutaka, Kuramoto Satoshi, Ikeda Akito, Yabuno Satoru, Takahashi Yu, Nishihiro Shingo, Ono Yasuhiro, Ichikawa Tomotsugu

机构信息

Department of Neurological Surgery, Kagawa Prefectural Central Hospital, Takamatsu, Kagawa, Japan.

出版信息

NMC Case Rep J. 2024 Oct 24;11:291-296. doi: 10.2176/jns-nmc.2024-0138. eCollection 2024.

DOI:10.2176/jns-nmc.2024-0138
PMID:39554876
原文链接:https://pmc.ncbi.nlm.nih.gov/articles/PMC11569835/
Abstract

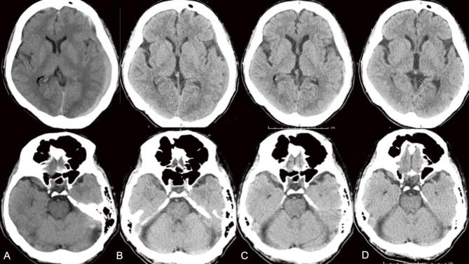
Chronic subdural hematoma (CSDH) in posterior fossa is rare, and its pathogenesis and treatment remain unclear. In this study, we report a case of a patient with CSDH in the posterior fossa who was taking warfarin and underwent middle meningeal artery (MMA) embolization successfully. A 59-year-old man taking warfarin for a mechanical aortic valve presented with a complaint of hearing impairment. He then developed headaches and was referred to our hospital after the previous physician identified CSDH above and below the left tentorium cerebelli on computed tomography (CT). We conducted MMA embolization with n-butyl-2-cyanoacrylate while continuing anticoagulation therapy. Right after the day of the surgery, symptoms of hearing impairment and right hemiplegia immediately improved. He was discharged after 10 days of hospitalization and was able to walk independently. His symptoms disappeared 20 days after surgery. There was no recurrence 100 days after surgery. In this study, we experienced a case of a CSDH in the posterior fossa that was clinically improved by MMA embolization. MMA embolization is a useful option for nonspecific CSDH without interruption of warfarin therapy.

摘要

后颅窝慢性硬膜下血肿(CSDH)较为罕见,其发病机制及治疗方法仍不明确。在本研究中,我们报告了一例服用华法林的后颅窝CSDH患者,该患者成功接受了脑膜中动脉(MMA)栓塞术。一名59岁男性因机械主动脉瓣置换术后服用华法林,出现听力减退症状。随后他出现头痛,在之前的医生通过计算机断层扫描(CT)发现左侧小脑幕上下均有CSDH后,转诊至我院。我们在继续抗凝治疗的同时,使用正丁基-2-氰基丙烯酸酯进行了MMA栓塞术。术后当天,听力减退和右侧偏瘫症状立即改善。住院10天后出院,能够独立行走。术后20天症状消失。术后百日无复发。在本研究中,我们遇到一例后颅窝CSDH患者,通过MMA栓塞术临床症状得到改善。MMA栓塞术是一种在不中断华法林治疗的情况下,治疗非特异性CSDH的有效选择。

https://cdn.ncbi.nlm.nih.gov/pmc/blobs/635a/11569835/4cf9de830f9c/2188-4226-11-0291-g003.jpg
https://cdn.ncbi.nlm.nih.gov/pmc/blobs/635a/11569835/ecbe7db0df81/2188-4226-11-0291-g001.jpg
https://cdn.ncbi.nlm.nih.gov/pmc/blobs/635a/11569835/fb0d9cbf90b2/2188-4226-11-0291-g002.jpg
https://cdn.ncbi.nlm.nih.gov/pmc/blobs/635a/11569835/4cf9de830f9c/2188-4226-11-0291-g003.jpg
https://cdn.ncbi.nlm.nih.gov/pmc/blobs/635a/11569835/ecbe7db0df81/2188-4226-11-0291-g001.jpg
https://cdn.ncbi.nlm.nih.gov/pmc/blobs/635a/11569835/fb0d9cbf90b2/2188-4226-11-0291-g002.jpg
https://cdn.ncbi.nlm.nih.gov/pmc/blobs/635a/11569835/4cf9de830f9c/2188-4226-11-0291-g003.jpg

相似文献

1
Chronic Subdural Hematoma in the Posterior Fossa Associated with Hearing Impairment during Warfarin Therapy, Improved by Middle Meningeal Artery Embolization: A Case Report.华法林治疗期间后颅窝慢性硬膜下血肿伴听力障碍,经脑膜中动脉栓塞改善:一例报告
NMC Case Rep J. 2024 Oct 24;11:291-296. doi: 10.2176/jns-nmc.2024-0138. eCollection 2024.
2
Middle meningeal artery embolization for postoperative supratentorial chronic subdural hematoma occurring after posterior fossa neurosurgery.后颅窝神经外科手术后发生的幕上慢性硬膜下血肿的脑膜中动脉栓塞术
J Cerebrovasc Endovasc Neurosurg. 2021 Jun;23(2):152-158. doi: 10.7461/jcen.2021.E2020.12.002. Epub 2021 Jun 18.
3
Middle meningeal artery embolization before craniotomy for infected organizing chronic subdural hematoma: A case report and review of the literature.开颅手术治疗感染性机化慢性硬膜下血肿前的脑膜中动脉栓塞术:一例病例报告及文献复习
Surg Neurol Int. 2022 May 6;13:186. doi: 10.25259/SNI_73_2022. eCollection 2022.
4
Middle Meningeal Artery Embolization of a Pediatric Patient With Progressive Chronic Subdural Hematoma.儿童进展性慢性硬膜下血肿的中间脑膜动脉栓塞术。
Oper Neurosurg (Hagerstown). 2021 Aug 16;21(3):E274-E277. doi: 10.1093/ons/opab144.
5
Refractory Chronic Subdural Hematoma Associated with Dural Metastasis of Lung Adenocarcinoma Treated with Endovascular Embolization for the Middle Meningeal Artery: A Case Report and Review of the Literature.难治性慢性硬脑膜下血肿伴肺腺癌硬脑膜转移患者接受中脑膜动脉血管内栓塞治疗:病例报告及文献复习。
World Neurosurg. 2020 Jan;133:256-259. doi: 10.1016/j.wneu.2019.10.035. Epub 2019 Oct 16.
6
Middle meningeal artery embolization for organized chronic subdural hematoma combined with minimal evacuation surgery: Two case reports.脑膜中动脉栓塞术联合微创引流术治疗机化性慢性硬膜下血肿:两例病例报告
Radiol Case Rep. 2024 Sep 25;19(12):6328-6332. doi: 10.1016/j.radcr.2024.09.062. eCollection 2024 Dec.
7
Organized Chronic Subdural Hematoma Treated with Middle Meningeal Artery Embolization and Small Craniotomy: Two Case Reports.经脑膜中动脉栓塞术和小骨窗开颅术治疗的有组织慢性硬膜下血肿:两例病例报告
Asian J Neurosurg. 2020 Apr 7;15(2):421-424. doi: 10.4103/ajns.AJNS_341_19. eCollection 2020 Apr-Jun.
8
Middle Meningeal Artery Embolization for Refractory Chronic Subdural Hematoma Associated with Acute Myeloid Leukemia: A Case Report.脑膜中动脉栓塞术治疗与急性髓系白血病相关的难治性慢性硬膜下血肿:一例报告
J Neuroendovasc Ther. 2024;18(2):47-52. doi: 10.5797/jnet.cr.2023-0084. Epub 2024 Jan 13.
9
Angiogenesis in the Septum and Inner Membrane of Refractory Chronic Subdural Hematomas: Consideration of Findings after Middle Meningeal Artery Embolization with Low-concentration -butyl-2-cyanoacrylate.难治性慢性硬膜下血肿中隔及内膜的血管生成:低浓度丁基-2-氰基丙烯酸酯栓塞脑膜中动脉后的结果探讨
NMC Case Rep J. 2019 Sep 14;6(4):105-110. doi: 10.2176/nmccrj.cr.2018-0275. eCollection 2019 Oct.
10
Middle meningeal artery embolization as an adjuvant treatment to surgery for symptomatic chronic subdural hematoma: a pilot study assessing hematoma volume resorption.脑膜中动脉栓塞术作为手术治疗症状性慢性硬脑膜下血肿的辅助治疗:一项评估血肿体积吸收的初步研究。
J Neurointerv Surg. 2020 Jul;12(7):695-699. doi: 10.1136/neurintsurg-2019-015421. Epub 2019 Dec 20.

本文引用的文献

1
Bilateral posterior fossa chronic subdural hematoma as a cause of hydrocephalus.双侧后颅窝慢性硬膜下血肿作为脑积水的一个病因。
Surg Neurol Int. 2023 Dec 1;14:413. doi: 10.25259/SNI_178_2023. eCollection 2023.
2
Middle Meningeal Artery Embolization for Chronic Subdural Hematomas With Concurrent Antithrombotics.同期抗血栓药物治疗的慢性硬脑膜下血肿的中间脑膜动脉栓塞术。
Neurosurgery. 2023 Feb 1;92(2):258-262. doi: 10.1227/neu.0000000000002222. Epub 2022 Nov 11.
3
Chronic Subdural Hematoma-Evolution of Etiology and Surgical Treatment.
慢性硬脑膜下血肿的病因演变和手术治疗。
Neurol Med Chir (Tokyo). 2023 Jan 15;63(1):1-8. doi: 10.2176/jns-nmc.2022-0207. Epub 2022 Oct 25.
4
Posterior Fossa Chronic Subdural Hematoma Associated with Supratentorial Chronic Subdural Hematoma.后颅窝慢性硬脑膜下血肿合并幕上慢性硬脑膜下血肿。
World Neurosurg. 2022 Jun;162:e394-e400. doi: 10.1016/j.wneu.2022.03.017. Epub 2022 Mar 11.
5
Safety of Antithrombotic Resumption in Chronic Subdural Hematoma Patients with Middle Meningeal Artery Embolization: A Case Control Study.慢性硬膜下血肿患者行脑膜中动脉栓塞术后抗血栓治疗恢复的安全性:一项病例对照研究。
J Stroke Cerebrovasc Dis. 2022 Apr;31(4):106318. doi: 10.1016/j.jstrokecerebrovasdis.2022.106318. Epub 2022 Feb 1.
6
Pathogenesis of spontaneous chronic subdural hematoma of the posterior fossa.后颅窝自发性慢性硬膜下血肿的发病机制。
Acta Neurol Belg. 2022 Apr;122(2):567-569. doi: 10.1007/s13760-021-01827-7. Epub 2021 Oct 25.
7
Middle meningeal artery embolization for chronic subdural hematoma: a systematic review and meta-analysis.中脑膜动脉栓塞治疗慢性硬脑膜下血肿:系统评价和荟萃分析。
J Neurointerv Surg. 2021 Oct;13(10):951-957. doi: 10.1136/neurintsurg-2021-017352. Epub 2021 Jun 30.
8
Middle Meningeal Artery Embolization Versus Conventional Treatment of Chronic Subdural Hematomas.中脑膜动脉栓塞与慢性硬脑膜下血肿的常规治疗比较。
Neurosurgery. 2021 Aug 16;89(3):486-495. doi: 10.1093/neuros/nyab192.
9
Non-Traumatic Subdural Hemorrhage and Risk of Arterial Ischemic Events.非创伤性硬脑膜下血肿与动脉缺血性事件风险。
Stroke. 2020 May;51(5):1464-1469. doi: 10.1161/STROKEAHA.119.028510. Epub 2020 Mar 17.
10
Bilateral Chronic Subdural Hematoma in the Posterior Fossa Treated with a Burr Hole Irrigation: A Case Report and Review of the Literature.钻孔冲洗治疗后颅窝双侧慢性硬膜下血肿:一例报告并文献复习
Case Rep Neurol. 2019 Mar 19;11(1):87-93. doi: 10.1159/000498856. eCollection 2019 Jan-Apr.