Suppr超能文献

心肌梗死后渗出型左心室游离壁破裂行无缝合修复术后的左心室假性动脉瘤

Left Ventricular Pseudoaneurysm After Sutureless Repair for Post-Myocardial Infarction Oozing-Type Left Ventricular Free Wall Rupture.

作者信息

Sasahara Akihiro, Nakashima Kouki, Tanaka Yuki, Murai Yuta, Ohara Kuniyoshi

机构信息

Department of Cardiovascular Surgery, Ebina General Hospital, Ebina, JPN.

Department of Cardiovascular Surgery, Sagamihara Kyodo Hospital, Sagamihara, JPN.

出版信息

Cureus. 2024 Oct 19;16(10):e71832. doi: 10.7759/cureus.71832. eCollection 2024 Oct.

Abstract

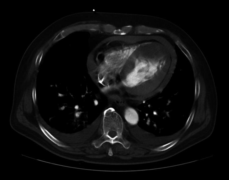
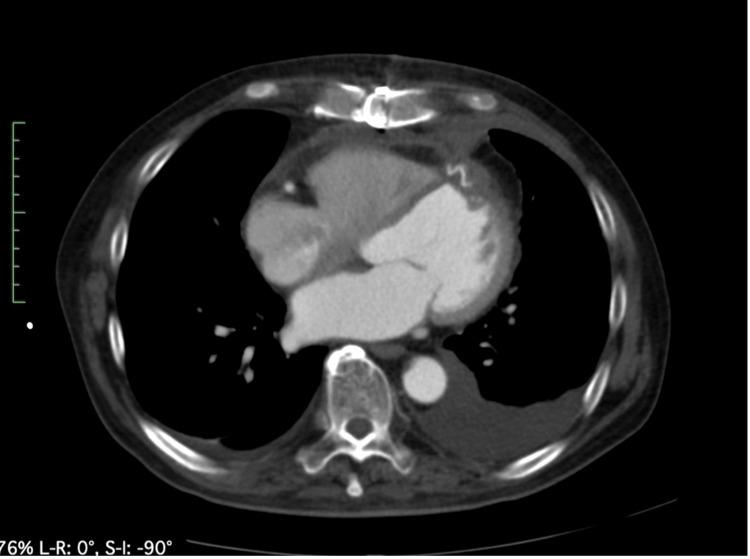
A 66-year-old male patient underwent repair using the sutureless technique for an oozing-type cardiac rupture associated with myocardial infarction of the anterior left ventricular wall. On postoperative day 10, echocardiography revealed a thrombus in the apex region, and anticoagulation therapy was started with warfarin. The thrombus disappeared two months postoperatively. Four months after surgery, the patient came to the hospital with a chief complaint of breathlessness. The computer tomography scan showed a pseudoaneurysm in the left ventricular anterior wall. Because of breathlessness due to decreased effective cardiac output associated with the left ventricular mass and the risk of rupture of the left ventricular pseudoaneurysm, we decided that surgery was indicated. When the left ventricular pseudoaneurysm was incised under cardiac arrest using an artificial heart-lung machine, an oval-shaped communication orifice was found, which was closed directly with continuous sutures. The breathlessness disappeared and the patient was discharged 13 days after surgery.

摘要

一名66岁男性患者因左心室前壁心肌梗死伴渗出型心脏破裂,采用无缝合技术进行修复。术后第10天,超声心动图显示心尖区域有血栓形成,遂开始使用华法林进行抗凝治疗。术后两个月血栓消失。术后四个月,患者因呼吸困难为主诉前来医院就诊。计算机断层扫描显示左心室前壁有假性动脉瘤。由于左心室肿块导致有效心输出量减少引起呼吸困难以及左心室假性动脉瘤破裂的风险,我们决定进行手术。在使用人工心肺机使心脏停搏的情况下切开左心室假性动脉瘤时,发现一个椭圆形的交通口,用连续缝合直接将其封闭。呼吸困难消失,患者术后13天出院。

https://cdn.ncbi.nlm.nih.gov/pmc/blobs/6d35/11570913/32c30a0f4076/cureus-0016-00000071832-i01.jpg

相似文献

3
Sutureless repair for postinfarction left ventricular free wall rupture.
J Thorac Cardiovasc Surg. 2019 Sep;158(3):771-777. doi: 10.1016/j.jtcvs.2019.01.124. Epub 2019 Feb 14.
4
Pseudoaneurysm after sutureless repair of left ventricular free wall rupture: Sequential magnetic resonance imaging demonstration.
Asian J Surg. 2015 Jul;38(3):174-6. doi: 10.1016/j.asjsur.2013.07.010. Epub 2013 Aug 24.
5
Early pseudoaneurysm formation after the sutureless technique for left ventricular rupture due to acute myocardial infarction.
Gen Thorac Cardiovasc Surg. 2014 Mar;62(3):171-4. doi: 10.1007/s11748-013-0234-4. Epub 2013 Mar 26.
6
Sutureless repair with Hydrofit and bovine pericardial patch for oozing-type postinfarction cardiac rupture.
Gen Thorac Cardiovasc Surg. 2024 Jan;72(1):55-57. doi: 10.1007/s11748-023-01972-1. Epub 2023 Aug 23.
8
Rapid formation of the left ventricular pseudoaneurysm after sutureless repair of a subacute left ventricular free wall rupture.
Interact Cardiovasc Thorac Surg. 2006 Aug;5(4):462-3. doi: 10.1510/icvts.2005.127001. Epub 2006 May 2.
9
Repair of huge left ventricular pseudoaneurysm after sutureless repair.
Thorac Cardiovasc Surg. 2010 Apr;58(3):177-9. doi: 10.1055/s-0029-1185818. Epub 2010 Apr 7.

本文引用的文献

2
Treatment strategies for post-infarction left ventricular free-wall rupture.
Eur Heart J Acute Cardiovasc Care. 2019 Jun;8(4):379-387. doi: 10.1177/2048872619840876. Epub 2019 Apr 1.
3
Sutureless repair for postinfarction left ventricular free wall rupture.
J Thorac Cardiovasc Surg. 2019 Sep;158(3):771-777. doi: 10.1016/j.jtcvs.2019.01.124. Epub 2019 Feb 14.
4
Sutureless repair for postinfarction cardiac rupture: a simple approach with a tissue-adhering patch.
J Thorac Cardiovasc Surg. 2013 Feb;145(2):598-9. doi: 10.1016/j.jtcvs.2012.08.049. Epub 2012 Sep 20.
5
Surgical treatment for postinfarction left ventricular free wall rupture.
Ann Thorac Surg. 2008 Apr;85(4):1344-6. doi: 10.1016/j.athoracsur.2007.12.073.
6
Surgical treatment for rupture of left ventricular free wall after acute myocardial infarction.
Interact Cardiovasc Thorac Surg. 2005 Jun;4(3):203-6. doi: 10.1510/icvts.2004.100321. Epub 2005 Mar 2.
7
Surgical treatment of acquired left ventricular pseudoaneurysms.
Ann Thorac Surg. 2000 Aug;70(2):553-7. doi: 10.1016/s0003-4975(00)01412-0.

文献AI研究员

20分钟写一篇综述,助力文献阅读效率提升50倍。

立即体验

用中文搜PubMed

大模型驱动的PubMed中文搜索引擎

马上搜索

文档翻译

学术文献翻译模型,支持多种主流文档格式。

立即体验