Suppr超能文献

单中心队列中辅酶Q生物合成障碍的临床特征、生物化学、影像学及治疗反应

Clinical Features, Biochemistry, Imaging, and Treatment Response in a Single-Center Cohort With Coenzyme Q Biosynthesis Disorders.

作者信息

Wahedi Azizia, Sudhakar Sniya, Lam Amanda, Ciancio Jose Ignacio Rodriguez, Mills Philippa, Gissen Paul, Gardham Alice, Kapadia Jogesh, Hassell Jane, Heales Simon, Rahman Shamima

机构信息

From the Mitochondrial Research Group (A.W., S.R.), Genetics and Genomic Medicine Department, UCL Great Ormond Street Institute of Child Health, London; Medical Sciences Division (A.W.), University of Oxford; Department of Radiology (S.S.), Great Ormond Street Hospital for Children; Neurometabolic Unit (A.L., S.H.), National Hospital for Neurology and Neurosurgery; Department of Chemical Pathology, Great Ormond Street Hospital for Children; Neuromuscular Diseases (A.L.), Queen Square, UCL Institute of Neurology; Inborn Errors of Metabolism Section (J.I.R.C., P.M., S.H.), Genetics and Genomic Medicine Programme, UCL Great Ormond Street Institute of Child Health; National Institute for Health Research Great Ormond Street Hospital Biomedical Research Centre (P.G.), University College London; Metabolic Department (P.G., S.R.), Great Ormond Street Hospital for Children; North West Thames Regional Genetic Service (A.G.), North West London Hospitals; Neonatal Intensive Care Unit (J.K.), Luton and Dunstable University Hospital; and Department of Paediatric Neurology (J.H.), Great Ormond Street Hospital for Children NHS Foundation Trust, London, United Kingdom.

出版信息

Neurol Genet. 2024 Nov 25;10(6):e200209. doi: 10.1212/NXG.0000000000200209. eCollection 2024 Dec.

Abstract

BACKGROUND AND OBJECTIVES

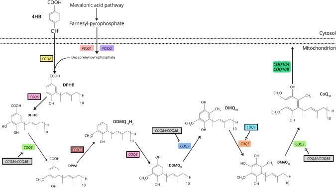
Disorders of coenzyme Q (CoQ) biosynthesis comprise a group of 11 clinically and genetically heterogeneous rare primary mitochondrial diseases. We sought to delineate clinical, biochemical, and neuroimaging features of these disorders, together with outcomes after oral CoQ supplementation and the utility of peripheral blood mononuclear cell (PBMNC) CoQ levels in monitoring therapy.

METHODS

This was a retrospective cohort study, registered as an audit at a specialist pediatric hospital (Registration Number: 3318) of 14 patients with genetically confirmed CoQ biosynthesis deficiency, including 13 previously unreported cases.

RESULTS

We show that oral doses of CoQ up to 70 mg/kg/d were needed to ameliorate neurologic features. Additional idebenone was required to control seizures in some cases, and 3 children with neonatal-onset neurologic disease died in early childhood despite receiving high-dose oral CoQ from birth. We also demonstrate that early diagnosis and treatment of CoQ deficiency with oral supplementation (30 mg/kg/d) can reverse renal manifestations and can completely prevent kidney disease over 10 years of follow-up. PBMNC CoQ levels increased after oral CoQ supplementation, demonstrating absorption of exogenous CoQ into the bloodstream.

DISCUSSION

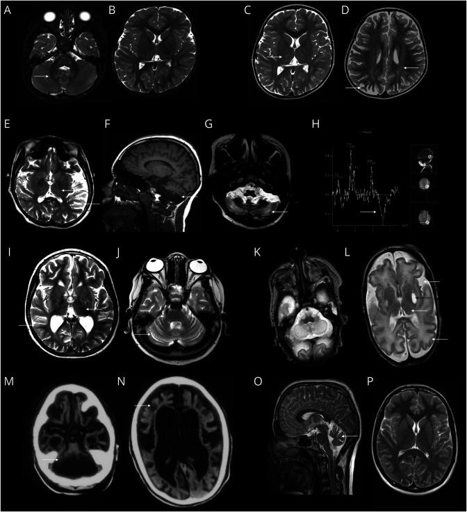
An early genome-wide diagnostic approach is needed for expeditious diagnosis of CoQ biosynthesis disorder because our study demonstrates that there are no pathognomonic blood, muscle, or imaging biomarkers of these diseases. Our findings indicate that earlier diagnosis and treatment with high-dose CoQ is key in halting progression of kidney disease or preventing it altogether. This study uses serial PBMNC CoQ levels to monitor therapy. Patients with genetically confirmed CoQ biosynthesis disorder should receive high-dose oral CoQ as soon as possible after presentation, regardless of genetic cause, to prevent disease progression, but parents of children with neonatal or infantile neurologic presentations should be counseled about the poor prognosis.

摘要

背景与目的

辅酶Q(CoQ)生物合成障碍包括一组11种临床和遗传异质性的罕见原发性线粒体疾病。我们试图描述这些疾病的临床、生化和神经影像学特征,以及口服CoQ补充后的结局,以及外周血单个核细胞(PBMNC)CoQ水平在监测治疗中的效用。

方法

这是一项回顾性队列研究,在一家专科儿童医院(注册号:3318)登记为一项审计,研究对象为14例基因确诊的CoQ生物合成缺陷患者,包括13例先前未报告的病例。

结果

我们发现,需要高达70mg/kg/d的口服CoQ剂量才能改善神经学特征。在某些情况下,需要额外使用艾地苯醌来控制癫痫发作,3例新生儿期起病的神经疾病患儿尽管从出生起就接受了高剂量口服CoQ治疗,但仍在幼儿期死亡。我们还证明,口服补充CoQ(30mg/kg/d)对CoQ缺乏症进行早期诊断和治疗可以逆转肾脏表现,并在10年的随访中完全预防肾脏疾病。口服CoQ补充后,PBMNC CoQ水平升高,表明外源性CoQ被吸收进入血液。

讨论

由于我们的研究表明这些疾病没有特征性血、肌肉或影像学生物标志物,因此需要一种早期全基因组诊断方法来快速诊断CoQ生物合成障碍。我们的研究结果表明,早期使用高剂量CoQ进行诊断和治疗是阻止肾脏疾病进展或完全预防肾脏疾病的关键。本研究使用连续的PBMNC CoQ水平来监测治疗。基因确诊的CoQ生物合成障碍患者在就诊后应尽快接受高剂量口服CoQ治疗,无论遗传病因如何,以防止疾病进展,但对于新生儿或婴儿期出现神经症状的患儿的家长,应告知其预后不良。

https://cdn.ncbi.nlm.nih.gov/pmc/blobs/8514/11595325/b9c4d3416714/NXG-2024-100124f1.jpg

文献AI研究员

20分钟写一篇综述,助力文献阅读效率提升50倍。

立即体验

用中文搜PubMed

大模型驱动的PubMed中文搜索引擎

马上搜索

文档翻译

学术文献翻译模型,支持多种主流文档格式。

立即体验