Suppr超能文献

替雷利珠单抗:一种用于治疗晚期前列腺基底细胞癌的有效抗PD-1抗体。

Tislelizumab: An effective anti-PD-1 antibody for the treatment of advanced basal cell carcinoma of the prostate.

作者信息

Jiang Hua

机构信息

Fifth Affiliated Hospital of Zunyi Medical University, China.

出版信息

Urol Case Rep. 2024 May 7;57:102742. doi: 10.1016/j.eucr.2024.102742. eCollection 2024 Nov.

Abstract

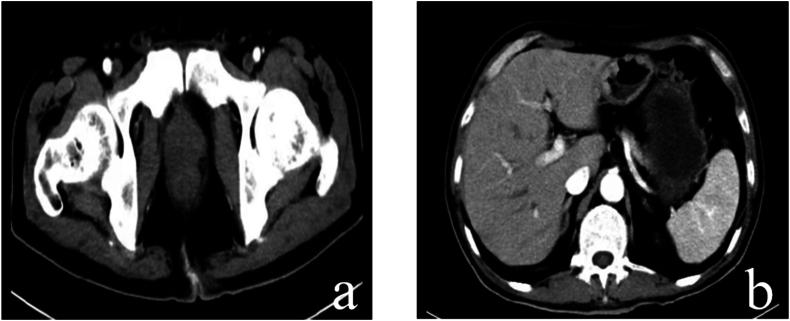
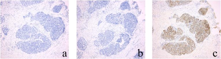
Basal cell carcinoma (BCC) of the prostate is a rare and enigmatic tumor with uncertain biological behavior and treatment modalities. Some studies suggest that BCC exhibits invasive characteristics and a high degree of malignancy, necessitating proactive management and vigilant monitoring. Notably, there is a lack of reported effective treatment utilizing programmed cell death protein-1 (PD-1) inhibitors for advanced BCC of the prostate. This study explores the efficacy of tislelizumab, as a single-agent therapy, in the successful treatment of advanced prostate BCC.

摘要

前列腺基底细胞癌(BCC)是一种罕见且神秘的肿瘤,其生物学行为和治疗方式尚不确定。一些研究表明,BCC具有侵袭性特征和高度恶性,需要积极管理和密切监测。值得注意的是,目前尚无关于使用程序性细胞死亡蛋白1(PD-1)抑制剂治疗晚期前列腺BCC的有效治疗方法的报道。本研究探讨了替雷利珠单抗作为单药疗法成功治疗晚期前列腺BCC的疗效。

https://cdn.ncbi.nlm.nih.gov/pmc/blobs/bdac/11615523/dc1cc14bd5fc/gr1.jpg

文献检索

告别复杂PubMed语法,用中文像聊天一样搜索,搜遍4000万医学文献。AI智能推荐,让科研检索更轻松。

立即免费搜索

文件翻译

保留排版,准确专业,支持PDF/Word/PPT等文件格式,支持 12+语言互译。

免费翻译文档

深度研究

AI帮你快速写综述,25分钟生成高质量综述,智能提取关键信息,辅助科研写作。

立即免费体验