Suppr超能文献

可能是由突变引起的诺里病。两个同胞兄弟的散发病例,每个家族中有两名男性,对其中一例进行了尸检,并结合诺里病计算了基因突变频率。

Probably Norrie's disease due to mutation. Two sporadic sibships of two males each, a necropsy of one case, and, given Norrie's disease, a calculation of the gene mutation frequency.

作者信息

Phillips C I, Newton M, Duvall J, Holloway S, Levy A M

出版信息

Br J Ophthalmol. 1986 Apr;70(4):305-13. doi: 10.1136/bjo.70.4.305.

Abstract

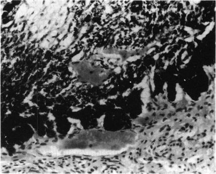
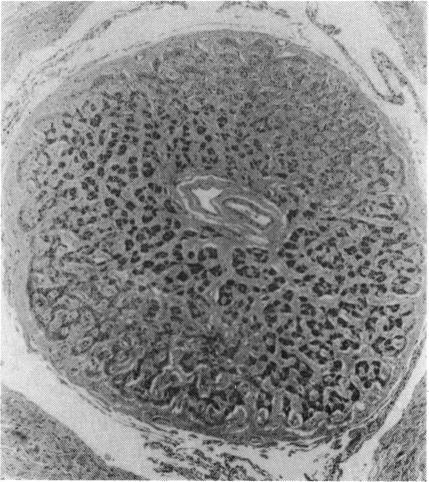
Two sibships, each with two affected males but no other affected family members, are described. All four patients at birth had small eyes with white masses visible behind clear lenses. Support for a diagnosis of Norrie's disease lies in the probable mental retardation and sudden death of one child and mental retardation in the other in one of the families, and strong support in the sensorineural deafness in one child in the other family. A necropsy was performed on the dead child. Both eyes showed the retinae to be totally non-attached. The optic nerves were thin. If the diagnosis is Norrie's disease (highly probable), the birth of the second affected child in each family supports the postulate of a mutation in the X chromosome of a germ cell of a maternal grandparent or an earlier maternal ancestor, no previous member of the family having been affected. That implies a 50% risk of the disease in future male siblings and a 50% risk of the carrier state in female sibs. When only one child is affected, the explanation could also be a mutation in that individual. Given Norrie's disease, we have calculated a mutation rate of 3.9 per million chromosomes in the Scottish population--remarkably similar to the mutation rates calculated for many dominant diseases. A diagnosis of autosomal recessive non-attachment of retina implies a 25% risk to later siblings.

摘要

本文描述了两个家系,每个家系中有两名患病男性,无其他患病家庭成员。所有四名患者出生时眼睛均较小,在透明晶状体后可见白色肿物。支持诺里病诊断的依据包括:其中一个家系中有一名儿童可能存在智力发育迟缓及猝死情况,另一名儿童存在智力发育迟缓;另一个家系中有一名儿童患有感音神经性耳聋,这为诊断提供了有力支持。对死亡儿童进行了尸检。双眼视网膜均完全脱离。视神经纤细。如果诊断为诺里病(极有可能),每个家系中第二名患病儿童的出生支持了这样一种假设:即 maternal grandparent(外祖父母中的一方)或更早的母系祖先的生殖细胞X染色体发生了突变,该家族中之前没有成员患病。这意味着未来男性同胞患病风险为50%,女性同胞成为携带者的风险为50%。当只有一名儿童患病时,也可能是该个体发生了突变。考虑到诺里病,我们计算出苏格兰人群中每百万条染色体的突变率为3.9——这与许多显性疾病计算出的突变率非常相似。诊断为常染色体隐性遗传性视网膜脱离意味着后续同胞有25%的患病风险。

https://cdn.ncbi.nlm.nih.gov/pmc/blobs/a5d9/1041004/66dc79fb2179/brjopthal00626-0071-a.jpg

文献检索

告别复杂PubMed语法,用中文像聊天一样搜索,搜遍4000万医学文献。AI智能推荐,让科研检索更轻松。

立即免费搜索

文件翻译

保留排版,准确专业,支持PDF/Word/PPT等文件格式,支持 12+语言互译。

免费翻译文档

深度研究

AI帮你快速写综述,25分钟生成高质量综述,智能提取关键信息,辅助科研写作。

立即免费体验