Suppr超能文献

下消化道出血揭示的宫内节育器直肠迁移罕见病例:一例报告及文献综述

Rare case of intrauterine device rectal migration revealed by lower GI bleeding: A case report and literature review.

作者信息

Hassini Amal, Kharrasse Ghizlane, Rais Kaouthar, Rahaoui Maissae, Adamou Mainassara Fatima, Zazour Abdelkrim, Koulali Hajar, Elmqaddem Ouiam, Ismaili Zahi

机构信息

Department of Hepato-Gastroenterology, Mohammed VI University Hospital, Oujda, Morocco.

Digestive Disease Research Laboratory, Faculty of Medicine and Pharmacy, Mohammed First University, Oujda, Morocco.

出版信息

Radiol Case Rep. 2024 Nov 22;20(2):965-970. doi: 10.1016/j.radcr.2024.10.049. eCollection 2025 Feb.

Abstract

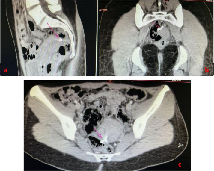
Rectal migration of an intrauterine device (IUD) is a rare but potentially serious complication requiring prompt diagnosis and management. We present a rare case of rectal migration of an intrauterine device (IUD) in a 26-year-old female, highlighting the clinical presentation, diagnostic evaluation, laparoscopic removal, and postoperative outcomes. This case emphasizes the critical importance of vigilant monitoring, early intervention, and close follow-up in managing IUD migration to ensure optimal patient outcomes. Timely recognition and intervention resulted in successful symptom resolution and a favorable long-term prognosis.

摘要

宫内节育器(IUD)直肠移位是一种罕见但可能严重的并发症,需要及时诊断和处理。我们报告一例26岁女性发生宫内节育器直肠移位的罕见病例,重点介绍其临床表现、诊断评估、腹腔镜取出及术后结果。该病例强调了在处理IUD移位时进行密切监测、早期干预和密切随访以确保患者获得最佳预后的至关重要性。及时识别和干预成功缓解了症状并带来了良好的长期预后。

https://cdn.ncbi.nlm.nih.gov/pmc/blobs/3ec9/11625098/21010cd9641c/gr1.jpg

文献检索

告别复杂PubMed语法,用中文像聊天一样搜索,搜遍4000万医学文献。AI智能推荐,让科研检索更轻松。

立即免费搜索

文件翻译

保留排版,准确专业,支持PDF/Word/PPT等文件格式,支持 12+语言互译。

免费翻译文档

深度研究

AI帮你快速写综述,25分钟生成高质量综述,智能提取关键信息,辅助科研写作。

立即免费体验