• 文献检索
  • 文档翻译
  • 深度研究
  • 学术资讯
  • Suppr Zotero 插件Zotero 插件
  • 邀请有礼
  • 套餐&价格
  • 历史记录
应用&插件
Suppr Zotero 插件Zotero 插件浏览器插件Mac 客户端Windows 客户端微信小程序
定价
高级版会员购买积分包购买API积分包
服务
文献检索文档翻译深度研究API 文档MCP 服务
关于我们
关于 Suppr公司介绍联系我们用户协议隐私条款
关注我们

Suppr 超能文献

核心技术专利:CN118964589B侵权必究
粤ICP备2023148730 号-1Suppr @ 2026

文献检索

告别复杂PubMed语法,用中文像聊天一样搜索,搜遍4000万医学文献。AI智能推荐,让科研检索更轻松。

立即免费搜索

文件翻译

保留排版,准确专业,支持PDF/Word/PPT等文件格式,支持 12+语言互译。

免费翻译文档

深度研究

AI帮你快速写综述,25分钟生成高质量综述,智能提取关键信息,辅助科研写作。

立即免费体验

基层医疗环境中软骨发育不全的产前诊断——识别软指标:一例报告

Prenatal diagnosis of achondroplasia in primary care settings - Recognising the soft markers: A case report.

作者信息

Wan Fadzleen Ezyani Mohd Fudzi, Yaacob Lili Husniati, Abdul Rahman Razlina, Lau Chiew Chea

机构信息

MBBS, MMed (Family Medicine), Department of Family Medicine, Universiti Sains Malaysia, Kubang Kerian, Kelantan, Malaysia. Email:

MBBS, MMed (Family Medicine), Department of Family Medicine, Universiti Sains Malaysia, Kubang Kerian, Kelantan, Malaysia.

出版信息

Malays Fam Physician. 2024 Nov 30;19:66. doi: 10.51866/cr.698. eCollection 2024.

DOI:10.51866/cr.698
PMID:39654867
原文链接:https://pmc.ncbi.nlm.nih.gov/articles/PMC11627173/
Abstract

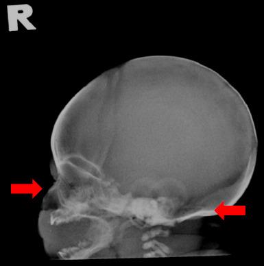
Achondroplasia, a genetic disorder causing limb shortening, is the most common form of disproportionate dwarfism. It can be diagnosed prenatally through sonographic findings and postnatally through clinical and radiological findings. Currently, an increasing number of affected foetuses are diagnosed antenatally since prenatal ultrasonography is routinely conducted in primary care settings. Herein, we present the case of a healthy 26-year-old primigravida who received a diagnosis of achondroplasia for her foetus during the late third trimester based on her prenatal ultrasonographic findings. Following birth, the diagnosis was confirmed by the baby's clinical and radiological findings, which showed shortening of the long bones. This case highlights the importance of recognising the soft markers of achondroplasia during routine third-trimester ultrasonography in primary care settings. Early diagnosis of achondroplasia is important to ensure timely referral to tertiary centres and adequate preparation of parents for the delivery of their baby.

摘要

软骨发育不全是一种导致肢体短小的遗传性疾病,是最常见的非匀称性侏儒症形式。它可以在产前通过超声检查结果进行诊断,在产后通过临床和放射学检查结果进行诊断。目前,由于初级保健机构常规进行产前超声检查,越来越多受影响的胎儿在产前被诊断出来。在此,我们报告一例健康的26岁初产妇病例,她在孕晚期基于产前超声检查结果被诊断出胎儿患有软骨发育不全。婴儿出生后,通过其临床和放射学检查结果证实了诊断,结果显示长骨缩短。该病例突出了在初级保健机构进行常规孕晚期超声检查时识别软骨发育不全软指标的重要性。软骨发育不全的早期诊断对于确保及时转诊至三级中心以及让父母为婴儿分娩做好充分准备非常重要。

https://cdn.ncbi.nlm.nih.gov/pmc/blobs/b512/11627173/48bf5ceb8996/MFP-19-66-g3.jpg
https://cdn.ncbi.nlm.nih.gov/pmc/blobs/b512/11627173/30a3a721cfe1/MFP-19-66-g1.jpg
https://cdn.ncbi.nlm.nih.gov/pmc/blobs/b512/11627173/636e069ebc1a/MFP-19-66-g2.jpg
https://cdn.ncbi.nlm.nih.gov/pmc/blobs/b512/11627173/48bf5ceb8996/MFP-19-66-g3.jpg
https://cdn.ncbi.nlm.nih.gov/pmc/blobs/b512/11627173/30a3a721cfe1/MFP-19-66-g1.jpg
https://cdn.ncbi.nlm.nih.gov/pmc/blobs/b512/11627173/636e069ebc1a/MFP-19-66-g2.jpg
https://cdn.ncbi.nlm.nih.gov/pmc/blobs/b512/11627173/48bf5ceb8996/MFP-19-66-g3.jpg

相似文献

1
Prenatal diagnosis of achondroplasia in primary care settings - Recognising the soft markers: A case report.基层医疗环境中软骨发育不全的产前诊断——识别软指标:一例报告
Malays Fam Physician. 2024 Nov 30;19:66. doi: 10.51866/cr.698. eCollection 2024.
2
Diagnosis of Achondroplasia at Birth: A Case Report.出生时诊断软骨发育不全症:一例报告。
JNMA J Nepal Med Assoc. 2020 Feb;58(222):119-121. doi: 10.31729/jnma.4846.
3
Sonographic prenatal diagnosis of heterozygous achondroplasia: a case report.超声产前诊断杂合性软骨发育不全:一例报告
J Med Assoc Thai. 1994 Oct;77(10):549-53.
4
Optimising the diagnosis and referral of achondroplasia in Europe: European Achondroplasia Forum best practice recommendations.优化欧洲软骨发育不全的诊断和转诊:欧洲软骨发育不全论坛最佳实践建议。
Orphanet J Rare Dis. 2022 Jul 27;17(1):293. doi: 10.1186/s13023-022-02442-2.
5
Foetal achondroplasia: Prenatal diagnosis, outcome and perspectives.胎儿软骨发育不全:产前诊断、结局及展望。
J Gynecol Obstet Hum Reprod. 2025 Feb;54(2):102891. doi: 10.1016/j.jogoh.2024.102891. Epub 2024 Dec 5.
6
Prenatal diagnosis of achondroplasia: new specific signs.软骨发育不全的产前诊断:新的特异性体征。
Prenat Diagn. 2009 Jul;29(7):697-702. doi: 10.1002/pd.2280.
7
Association of achondroplasia with Down syndrome: difficulty in prenatal diagnosis by sonographic and 3-D helical computed tomographic analyses.软骨发育不全与唐氏综合征的关联:超声及三维螺旋计算机断层扫描分析在产前诊断中的困难
Congenit Anom (Kyoto). 2015 May;55(2):116-20. doi: 10.1111/cga.12097.
8
Real-time three dimensional sonographic features of an early third trimester fetus with achondrogenesis.孕晚期早期软骨发育不全胎儿的实时三维超声特征
J Med Assoc Thai. 2006 Oct;89(10):1762-5.
9
Bone dysplasia series. Achondroplasia, hypochondroplasia and thanatophoric dysplasia: review and update.骨发育异常系列。软骨发育不全、低软骨发育不全和致死性骨发育不全:综述与更新。
Can Assoc Radiol J. 1999 Jun;50(3):185-97.
10
Ultrasound and molecular mid-trimester prenatal diagnosis of de novo achondroplasia.孕中期超声及分子技术对新发软骨发育不全的产前诊断
Prenat Diagn. 1996 Aug;16(8):764-8. doi: 10.1002/(SICI)1097-0223(199608)16:8<764::AID-PD941>3.0.CO;2-M.

本文引用的文献

1
Achondroplasia: Update on diagnosis, follow-up and treatment.软骨发育不全:诊断、随访及治疗的最新进展
An Pediatr (Engl Ed). 2022 Dec;97(6):423.e1-423.e11. doi: 10.1016/j.anpede.2022.10.004. Epub 2022 Nov 5.
2
International Consensus Statement on the diagnosis, multidisciplinary management and lifelong care of individuals with achondroplasia.关于软骨发育不全个体的诊断、多学科管理及终身护理的国际共识声明
Nat Rev Endocrinol. 2022 Mar;18(3):173-189. doi: 10.1038/s41574-021-00595-x. Epub 2021 Nov 26.
3
The first European consensus on principles of management for achondroplasia.
《关于成骨不全症管理原则的第一份欧洲共识》。
Orphanet J Rare Dis. 2021 Jul 31;16(1):333. doi: 10.1186/s13023-021-01971-6.
4
Birth prevalence of achondroplasia: A systematic literature review and meta-analysis.成骨不全症的出生患病率:系统文献回顾和荟萃分析。
Am J Med Genet A. 2020 Oct;182(10):2297-2316. doi: 10.1002/ajmg.a.61787. Epub 2020 Aug 17.
5
Novel therapeutic approaches for the treatment of achondroplasia.治疗软骨发育不全症的新疗法。
Bone. 2020 Dec;141:115579. doi: 10.1016/j.bone.2020.115579. Epub 2020 Aug 11.
6
Diagnosis of Achondroplasia at Birth: A Case Report.出生时诊断软骨发育不全症:一例报告。
JNMA J Nepal Med Assoc. 2020 Feb;58(222):119-121. doi: 10.31729/jnma.4846.
7
Best practice guidelines regarding prenatal evaluation and delivery of patients with skeletal dysplasia.骨骼发育不良患者的产前评估和分娩的最佳实践指南。
Am J Obstet Gynecol. 2018 Dec;219(6):545-562. doi: 10.1016/j.ajog.2018.07.017. Epub 2018 Jul 23.
8
New aids for the non-invasive prenatal diagnosis of achondroplasia: dysmorphic features, charts of fetal size and molecular confirmation using cell-free fetal DNA in maternal plasma.新方法无创性产前诊断软骨发育不全症:胎儿形态特征、胎儿大小图表和利用母体血浆中游离胎儿 DNA 进行分子确认。
Ultrasound Obstet Gynecol. 2011 Mar;37(3):283-9. doi: 10.1002/uog.8893. Epub 2011 Feb 1.
9
Prenatal sonographic diagnosis of skeletal dysplasias.产前超声诊断骨骼发育不良。
Ultrasound Obstet Gynecol. 2009 Aug;34(2):160-70. doi: 10.1002/uog.6359.
10
Prenatal diagnosis of achondroplasia: new specific signs.软骨发育不全的产前诊断:新的特异性体征。
Prenat Diagn. 2009 Jul;29(7):697-702. doi: 10.1002/pd.2280.