Suppr超能文献

锁定钢板辅助髓内钉固定在胫骨节段性骨折中的临床应用:一项回顾性研究。

Clinical application of intramedullary nail fixation assisted by locking plates in segmental tibia fractures: A retrospective study.

作者信息

Wu Wangsheng, Wang Huajuan, Zheng Qunyang, Mao Yi, Liu Bingsheng

机构信息

Quzhou People's Hospital, The Quzhou Affiliated Hospital of Wenzhou Medical University, Quzhou, Zhejiang, China.

出版信息

Medicine (Baltimore). 2024 Dec 13;103(50):e40855. doi: 10.1097/MD.0000000000040855.

Abstract

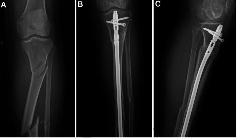
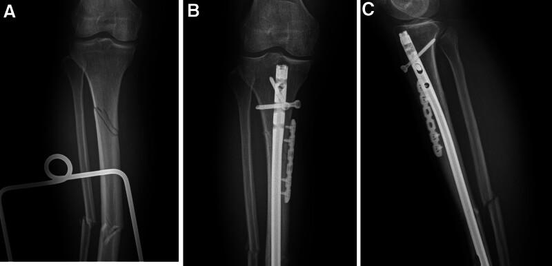
It is unclear whether small plates are needed for augment fixation to provide a more stable mechanical environment in segmental fractures of the tibia treated with intramedullary nail. The purpose of this study was to investigate the efficacy of intramedullary nailing combined with locking plates in the treatment of segmental fractures of the tibia. This study included 41 patients with segmental tibia fractures between January 1, 2018 and January 1, 2023. Eighteen patients were treated with an intramedullary nail assisted by a locking plate (combination group), and 23 patients were treated with an intramedullary nail without a plate (nail group). The perioperative parameters of all patients were recorded, and clinical efficacy was evaluated during follow-up. The operation time was shorter but the incision was longer in the combination group (P < .05). The numbers of fluoroscopy procedures and the time to union were shorter in the combination group (P < .05). The rate of malunion in the nail group (4, 17.4%) was significantly greater than that in the combination group (0, 0%). At the last follow-up, no statistically significant differences in walking ability were detected. Our results suggest that a locking plate combined with an intramedullary nail for segmental tibial fractures may require a longer surgical incision, but it has significant advantages such as a shorter operative time and time to union, a shorter fluoroscopy time, and a lower rate of malunion and nonunion. Intramedullary nail fixation assisted by a locking plate is an effective method for treating segmental fractures of the tibia.

摘要

对于在使用髓内钉治疗的胫骨节段性骨折中,是否需要小钢板进行增强固定以提供更稳定的力学环境尚不清楚。本研究的目的是探讨髓内钉联合锁定钢板治疗胫骨节段性骨折的疗效。本研究纳入了2018年1月1日至2023年1月1日期间的41例胫骨节段性骨折患者。18例患者采用锁定钢板辅助髓内钉治疗(联合组),23例患者采用无钢板髓内钉治疗(髓内钉组)。记录所有患者的围手术期参数,并在随访期间评估临床疗效。联合组手术时间较短但切口较长(P < 0.05)。联合组的透视次数和骨折愈合时间较短(P < 0.05)。髓内钉组的畸形愈合率(4例,17.4%)显著高于联合组(0例,0%)。在最后一次随访时,未检测到步行能力的统计学显著差异。我们的结果表明,锁定钢板联合髓内钉治疗胫骨节段性骨折可能需要更长的手术切口,但具有手术时间和骨折愈合时间短、透视时间短以及畸形愈合和不愈合率低等显著优势。锁定钢板辅助髓内钉固定是治疗胫骨节段性骨折的有效方法。

https://cdn.ncbi.nlm.nih.gov/pmc/blobs/1b35/11651480/69bd60be50d2/medi-103-e40855-g001.jpg

文献检索

告别复杂PubMed语法,用中文像聊天一样搜索,搜遍4000万医学文献。AI智能推荐,让科研检索更轻松。

立即免费搜索

文件翻译

保留排版,准确专业,支持PDF/Word/PPT等文件格式,支持 12+语言互译。

免费翻译文档

深度研究

AI帮你快速写综述,25分钟生成高质量综述,智能提取关键信息,辅助科研写作。

立即免费体验