Suppr超能文献

紫球海胆性腺提取物可减轻帕金森病大鼠模型中的神经毒性和炎症信号。

Paracentrotus lividus sea urchin gonadal extract mitigates neurotoxicity and inflammatory signaling in a rat model of Parkinson's disease.

作者信息

Nagy Nehal Shawky, Helal Mohamed, Alsawy Eman Sheta, Ali Mohamad Moustafa, Al-Sherif Soheir Salem, Essawy Amina Essawy

机构信息

Faculty of Science, Department of Zoology, Alexandria University, Alexandria, Egypt.

National Institute of Oceanography and Fisheries (NIOF), Cairo, Egypt.

出版信息

PLoS One. 2024 Dec 18;19(12):e0315858. doi: 10.1371/journal.pone.0315858. eCollection 2024.

Abstract

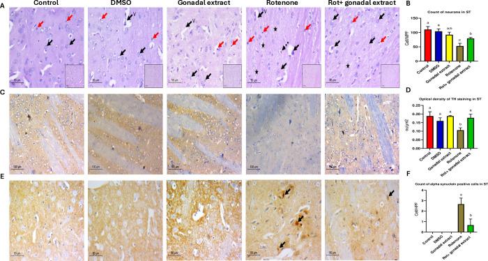
The present study investigates the neuroprotective effects of the sea urchin Paracentrotus lividus gonadal extract on rotenone-induced neurotoxicity in a Parkinson's disease (PD) rat model. Parkinson's disease, characterized by the progressive loss of dopaminergic neurons in the substantia nigra (SN), is exacerbated by oxidative stress and neuroinflammation. The study involved fifty Wistar rats divided into five groups: control, dimethyl sulfoxide (DMSO) control, Paracentrotus lividus gonadal extract-treated, rotenone-treated, and combined rotenone with Paracentrotus lividus gonadal extract-treated. Behavioral assessments included the rotarod and open field tests, while biochemical analyses measured oxidative stress markers (malondialdehyde (MDA), nitric oxide (NO), glutathione (GSH)), antioxidants (superoxide dismutase (SOD), catalase (CAT)), pro-inflammatory cytokines (interleukin-1 beta (IL-1β), interleukin-6 (IL-6), tumor necrosis factor-alpha (TNF-α)), and neurotransmitters (dopamine (DA), levodopa (L-Dopa)). Histological and immunohistochemical analyses evaluated the neuronal integrity and tyrosine hydroxylase (TH) and alpha-synuclein expression. The results showed that Paracentrotus lividus gonadal extract significantly mitigated rotenone-induced motor deficits and improved locomotor activity. Biochemically, the extract reduced oxidative stress and inflammation markers while enhancing antioxidant levels. Histologically, it restored neuronal integrity and reduced alpha-synuclein accumulation. Molecularly, it increased tyrosine hydroxylase and dopa decarboxylase gene expression, essential for dopamine synthesis. These findings suggest that Paracentrotus lividus gonadal extract exerts neuroprotective effects by modulating oxidative stress, neuroinflammation, and dopaminergic neuron integrity, highlighting its potential as a therapeutic agent for Parkinson's disease.

摘要

本研究调查了海胆Paracentrotus lividus性腺提取物对帕金森病(PD)大鼠模型中鱼藤酮诱导的神经毒性的神经保护作用。帕金森病的特征是黑质(SN)中多巴胺能神经元逐渐丧失,氧化应激和神经炎症会加剧这种疾病。该研究涉及50只Wistar大鼠,分为五组:对照组、二甲基亚砜(DMSO)对照组、Paracentrotus lividus性腺提取物处理组、鱼藤酮处理组以及鱼藤酮与Paracentrotus lividus性腺提取物联合处理组。行为评估包括转棒试验和旷场试验,而生化分析则测量氧化应激标志物(丙二醛(MDA)、一氧化氮(NO)、谷胱甘肽(GSH))、抗氧化剂(超氧化物歧化酶(SOD)、过氧化氢酶(CAT))、促炎细胞因子(白细胞介素-1β(IL-1β)、白细胞介素-6(IL-6)、肿瘤坏死因子-α(TNF-α))以及神经递质(多巴胺(DA)、左旋多巴(L-Dopa))。组织学和免疫组织化学分析评估了神经元的完整性以及酪氨酸羟化酶(TH)和α-突触核蛋白的表达。结果表明,Paracentrotus lividus性腺提取物显著减轻了鱼藤酮诱导的运动缺陷并改善了运动活性。在生化方面,该提取物降低了氧化应激和炎症标志物,同时提高了抗氧化剂水平。在组织学上,它恢复了神经元的完整性并减少了α-突触核蛋白的积累。在分子水平上,它增加了对多巴胺合成至关重要的酪氨酸羟化酶和多巴脱羧酶基因的表达。这些发现表明,Paracentrotus lividus性腺提取物通过调节氧化应激、神经炎症和多巴胺能神经元的完整性发挥神经保护作用,突出了其作为帕金森病治疗剂的潜力。

https://cdn.ncbi.nlm.nih.gov/pmc/blobs/d9bc/11654954/a00b4b7a367b/pone.0315858.g001.jpg

文献检索

告别复杂PubMed语法,用中文像聊天一样搜索,搜遍4000万医学文献。AI智能推荐,让科研检索更轻松。

立即免费搜索

文件翻译

保留排版,准确专业,支持PDF/Word/PPT等文件格式,支持 12+语言互译。

免费翻译文档

深度研究

AI帮你快速写综述,25分钟生成高质量综述,智能提取关键信息,辅助科研写作。

立即免费体验