• 文献检索
  • 文档翻译
  • 深度研究
  • 学术资讯
  • Suppr Zotero 插件Zotero 插件
  • 邀请有礼
  • 套餐&价格
  • 历史记录
应用&插件
Suppr Zotero 插件Zotero 插件浏览器插件Mac 客户端Windows 客户端微信小程序
定价
高级版会员购买积分包购买API积分包
服务
文献检索文档翻译深度研究API 文档MCP 服务
关于我们
关于 Suppr公司介绍联系我们用户协议隐私条款
关注我们

Suppr 超能文献

核心技术专利:CN118964589B侵权必究
粤ICP备2023148730 号-1Suppr @ 2026

文献检索

告别复杂PubMed语法,用中文像聊天一样搜索,搜遍4000万医学文献。AI智能推荐,让科研检索更轻松。

立即免费搜索

文件翻译

保留排版,准确专业,支持PDF/Word/PPT等文件格式,支持 12+语言互译。

免费翻译文档

深度研究

AI帮你快速写综述,25分钟生成高质量综述,智能提取关键信息,辅助科研写作。

立即免费体验

全腹腔镜子宫切除术后乙状结肠系膜寄生性平滑肌瘤1例。

A Case of Parasitic Leiomyoma in the Sigmoid Mesentery Following Total Laparoscopic Hysterectomy.

作者信息

Miyake Taro, Tateno Yuichiro, Matsuura Hiroko, Aoyama Tadashi, Kudo Kazuya

机构信息

Obstetrics and Gynecology, Tama-Hokubu Medical Center, Higashimurayama, JPN.

出版信息

Cureus. 2024 Nov 18;16(11):e73940. doi: 10.7759/cureus.73940. eCollection 2024 Nov.

DOI:10.7759/cureus.73940
PMID:39697961
原文链接:https://pmc.ncbi.nlm.nih.gov/articles/PMC11655131/
Abstract

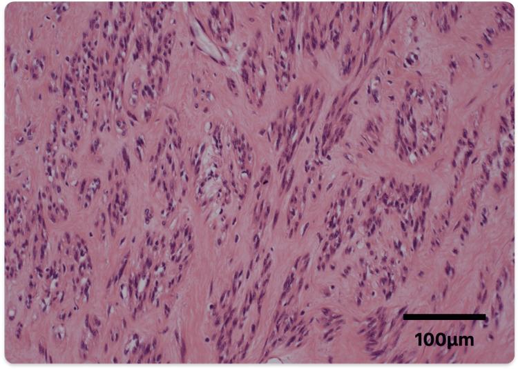
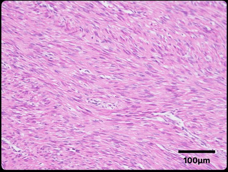
Parasitic leiomyoma (PL) develops when fragments of a morcellated uterine leiomyoma, during procedures such as laparoscopic myomectomy (LM) or total laparoscopic hysterectomy (TLH), adhere to other tissues. We recently encountered a case where PL developed in the mesentery of the sigmoid colon following TLH. A 51-year-old woman had previously undergone TLH with in-abdominal morcellation. Six years post surgery, she presented with a new mass in her lower abdomen. MRI showed a large tumor (21×12×15 cm) in the pelvic cavity, initially suspected to be a leiomyoma or potentially a malignant tumor, such as a sarcoma or gastrointestinal stromal tumor (GIST), due to its size and unusual location. During the tumor resection, the tumor was found adhering to the sigmoid colon mesentery. Histopathological examination confirmed it was a benign leiomyoma, and the patient's recovery was uneventful. For large PL, differential diagnosis can be challenging. Demonstrating a solid tumor of unknown cause after gynecologic surgery, especially after myomectomy or myoma morcellation, a parasitic myoma must be included in the differential diagnosis. It is crucial to conduct thorough preoperative evaluations and ensure informed consent by discussing the potential for malignancy and the corresponding treatment options.

摘要

寄生性平滑肌瘤(PL)是在腹腔镜子宫肌瘤切除术(LM)或全腹腔镜子宫切除术(TLH)等手术过程中,被切碎的子宫平滑肌瘤碎片附着于其他组织时发生的。我们最近遇到一例在TLH术后乙状结肠系膜发生PL的病例。一名51岁女性曾接受过腹腔内切碎的TLH手术。术后六年,她下腹部出现一个新肿块。MRI显示盆腔有一个大肿瘤(21×12×15 cm),由于其大小和不寻常的位置,最初怀疑是平滑肌瘤,也可能是恶性肿瘤,如肉瘤或胃肠道间质瘤(GIST)。在肿瘤切除过程中,发现肿瘤附着于乙状结肠系膜。组织病理学检查证实为良性平滑肌瘤,患者恢复顺利。对于大型PL,鉴别诊断可能具有挑战性。在妇科手术后,尤其是子宫肌瘤切除术或肌瘤切碎术后出现原因不明的实体瘤时,鉴别诊断必须考虑寄生性肌瘤。进行全面的术前评估并通过讨论恶性可能性及相应治疗方案确保获得知情同意至关重要。

https://cdn.ncbi.nlm.nih.gov/pmc/blobs/baee/11655131/b6345eab8118/cureus-0016-00000073940-i06.jpg
https://cdn.ncbi.nlm.nih.gov/pmc/blobs/baee/11655131/d21f718c5b51/cureus-0016-00000073940-i01.jpg
https://cdn.ncbi.nlm.nih.gov/pmc/blobs/baee/11655131/5b34af451d40/cureus-0016-00000073940-i02.jpg
https://cdn.ncbi.nlm.nih.gov/pmc/blobs/baee/11655131/eb24ddfa1907/cureus-0016-00000073940-i03.jpg
https://cdn.ncbi.nlm.nih.gov/pmc/blobs/baee/11655131/5a2f8d6b06f0/cureus-0016-00000073940-i04.jpg
https://cdn.ncbi.nlm.nih.gov/pmc/blobs/baee/11655131/a4e823c3c237/cureus-0016-00000073940-i05.jpg
https://cdn.ncbi.nlm.nih.gov/pmc/blobs/baee/11655131/b6345eab8118/cureus-0016-00000073940-i06.jpg
https://cdn.ncbi.nlm.nih.gov/pmc/blobs/baee/11655131/d21f718c5b51/cureus-0016-00000073940-i01.jpg
https://cdn.ncbi.nlm.nih.gov/pmc/blobs/baee/11655131/5b34af451d40/cureus-0016-00000073940-i02.jpg
https://cdn.ncbi.nlm.nih.gov/pmc/blobs/baee/11655131/eb24ddfa1907/cureus-0016-00000073940-i03.jpg
https://cdn.ncbi.nlm.nih.gov/pmc/blobs/baee/11655131/5a2f8d6b06f0/cureus-0016-00000073940-i04.jpg
https://cdn.ncbi.nlm.nih.gov/pmc/blobs/baee/11655131/a4e823c3c237/cureus-0016-00000073940-i05.jpg
https://cdn.ncbi.nlm.nih.gov/pmc/blobs/baee/11655131/b6345eab8118/cureus-0016-00000073940-i06.jpg

相似文献

1
A Case of Parasitic Leiomyoma in the Sigmoid Mesentery Following Total Laparoscopic Hysterectomy.全腹腔镜子宫切除术后乙状结肠系膜寄生性平滑肌瘤1例。
Cureus. 2024 Nov 18;16(11):e73940. doi: 10.7759/cureus.73940. eCollection 2024 Nov.
2
Port site parasitic leiomyoma after laparoscopic myomectomy: a case report and review of the literature.腹腔镜子宫肌瘤切除术后切口部位寄生性平滑肌瘤:一例病例报告及文献复习
J Med Case Rep. 2018 Nov 15;12(1):339. doi: 10.1186/s13256-018-1873-y.
3
A parasitic leiomyoma of the sigmoid mesentery with schwannoma-like image findings.乙状结肠系膜的寄生性平滑肌瘤,具有神经鞘瘤样影像学表现。
Surg Case Rep. 2024 Sep 10;10(1):212. doi: 10.1186/s40792-024-02015-4.
4
Electric morcellation-related reoperations after laparoscopic myomectomy and nonmyomectomy procedures.腹腔镜子宫肌瘤切除术及非子宫肌瘤切除术后与电动粉碎术相关的再次手术
J Minim Invasive Gynecol. 2015 Feb;22(2):163-76. doi: 10.1016/j.jmig.2014.09.006. Epub 2014 Sep 11.
5
Parasitic myoma after transabdominal hysterectomy for fibroids: a case report.经腹子宫肌瘤剔除术后的寄生性子宫肌瘤:病例报告。
BMC Womens Health. 2023 Jun 16;23(1):310. doi: 10.1186/s12905-023-02410-3.
6
Laparoscopic Resection of a Symptomatic Parasitic Leiomyoma of Paravesical and Obturator Fossa.腹腔镜切除膀胱旁和闭孔窝的症状性寄生平滑肌瘤。
J Minim Invasive Gynecol. 2021 Jul;28(7):1277. doi: 10.1016/j.jmig.2020.08.485. Epub 2020 Sep 2.
7
Iatrogenic parasitic leiomyoma and leiomyomatosis peritonealis disseminata following uterine morcellation.子宫粉碎术后的医源性寄生性平滑肌瘤和播散性腹膜平滑肌瘤病
J Obstet Gynaecol Res. 2016 Aug;42(8):990-9. doi: 10.1111/jog.13011. Epub 2016 Apr 28.
8
Parasitic leiomyoma in the trocar site after laparoscopic myomectomy: A case report.腹腔镜子宫肌瘤剔除术后套管针穿刺部位的寄生性平滑肌瘤:病例报告
World J Clin Cases. 2022 Mar 26;10(9):2895-2900. doi: 10.12998/wjcc.v10.i9.2895.
9
Nonmalignant Sequelae of Unconfined Morcellation at Laparoscopic Hysterectomy or Myomectomy.腹腔镜子宫切除术或子宫肌瘤剔除术时非限制旋切的非恶性后遗症。
J Minim Invasive Gynecol. 2016 Mar-Apr;23(3):331-7. doi: 10.1016/j.jmig.2016.01.017. Epub 2016 Jan 21.
10
Parasitic myoma after laparoscopic morcellation: a systematic review of the literature.腹腔镜旋切术后的寄生性子宫肌瘤:文献系统回顾。
BJOG. 2016 Jan;123(1):69-75. doi: 10.1111/1471-0528.13541. Epub 2015 Jul 29.

引用本文的文献

1
A Comparative Analysis of GISTs and Schwannomas in the Sigmoid Colon: Case Report and Review of the Management Strategies.乙状结肠胃肠道间质瘤与神经鞘瘤的比较分析:病例报告及治疗策略综述
J Clin Med. 2025 May 29;14(11):3831. doi: 10.3390/jcm14113831.

本文引用的文献

1
A parasitic leiomyoma of the sigmoid mesentery with schwannoma-like image findings.乙状结肠系膜的寄生性平滑肌瘤,具有神经鞘瘤样影像学表现。
Surg Case Rep. 2024 Sep 10;10(1):212. doi: 10.1186/s40792-024-02015-4.
2
Acute abdomen by red degeneration of a parasitic leiomyoma: A case report and literature review.寄生性平滑肌瘤红色变性致急腹症:一例报告及文献复习
Radiol Case Rep. 2024 Jan 27;19(4):1533-1536. doi: 10.1016/j.radcr.2024.01.031. eCollection 2024 Apr.
3
ACCIDENTAL INTRAOPERATIVE FINDING OF PARASITIC FIBROIDS IN THE MESENTERY OF A MIDDLE-AGED WOMAN.
中年女性肠系膜中意外术中发现寄生性肌瘤
Ann Ib Postgrad Med. 2021 Dec;19(2):156-160.
4
Leiomyomatosis peritonealis disseminata mimicking peritoneal carcinomatosis 13 years after laparoscopic uterine myomectomy: A case report.腹腔镜子宫肌瘤切除术后13年出现酷似腹膜癌的播散性腹膜平滑肌瘤病:一例报告
Int J Surg Case Rep. 2021 Apr;81:105745. doi: 10.1016/j.ijscr.2021.105745. Epub 2021 Mar 11.
5
Parasitic leiomyoma: A case report with literature review.寄生性平滑肌瘤:一例病例报告并文献复习
Int J Surg Case Rep. 2017;41:33-35. doi: 10.1016/j.ijscr.2017.10.003. Epub 2017 Oct 6.
6
Rare case of primary leiomyosarcoma of sigmoid mesocolon.乙状结肠系膜原发性平滑肌肉瘤罕见病例。
BMJ Case Rep. 2017 Sep 15;2017:bcr-2017-219826. doi: 10.1136/bcr-2017-219826.
7
Parasitic leiomyomas: a systematic review.寄生性平滑肌瘤:一项系统评价
Eur J Obstet Gynecol Reprod Biol. 2016 Aug;203:250-9. doi: 10.1016/j.ejogrb.2016.05.025. Epub 2016 Jun 10.
8
Iatrogenic parasitic leiomyoma and leiomyomatosis peritonealis disseminata following uterine morcellation.子宫粉碎术后的医源性寄生性平滑肌瘤和播散性腹膜平滑肌瘤病
J Obstet Gynaecol Res. 2016 Aug;42(8):990-9. doi: 10.1111/jog.13011. Epub 2016 Apr 28.
9
Parasitic myoma after laparoscopic surgery: a mini-review.腹腔镜手术后的寄生性肌瘤:一篇综述
J Turk Ger Gynecol Assoc. 2015 Jul 14;16(3):181-6. doi: 10.5152/jtgga.2015.15242. eCollection 2015.
10
Vaginal Uterine Morcellation Within a Specimen Containment System: A Study of Bag Integrity.标本容纳系统内的经阴道子宫粉碎术:袋子完整性研究
J Minim Invasive Gynecol. 2015 Nov-Dec;22(7):1244-6. doi: 10.1016/j.jmig.2015.07.007. Epub 2015 Jul 20.