Suppr超能文献

经皮治疗晚期封堵器移位:一例报告。

Percutaneous management of late occluder dislodgement: A case report.

作者信息

Beaini Hadi, Aboulhosn Jamil A

机构信息

Faculty of Medicine, American University of Beirut, Beirut, Lebanon.

Ahmanson/UCLA Adult Congenital Heart Center, David Geffen School of Medicine at UCLA, Los Angeles CA, USA.

出版信息

Int J Cardiol Congenit Heart Dis. 2022 Apr 13;8:100369. doi: 10.1016/j.ijcchd.2022.100369. eCollection 2022 Jun.

Abstract

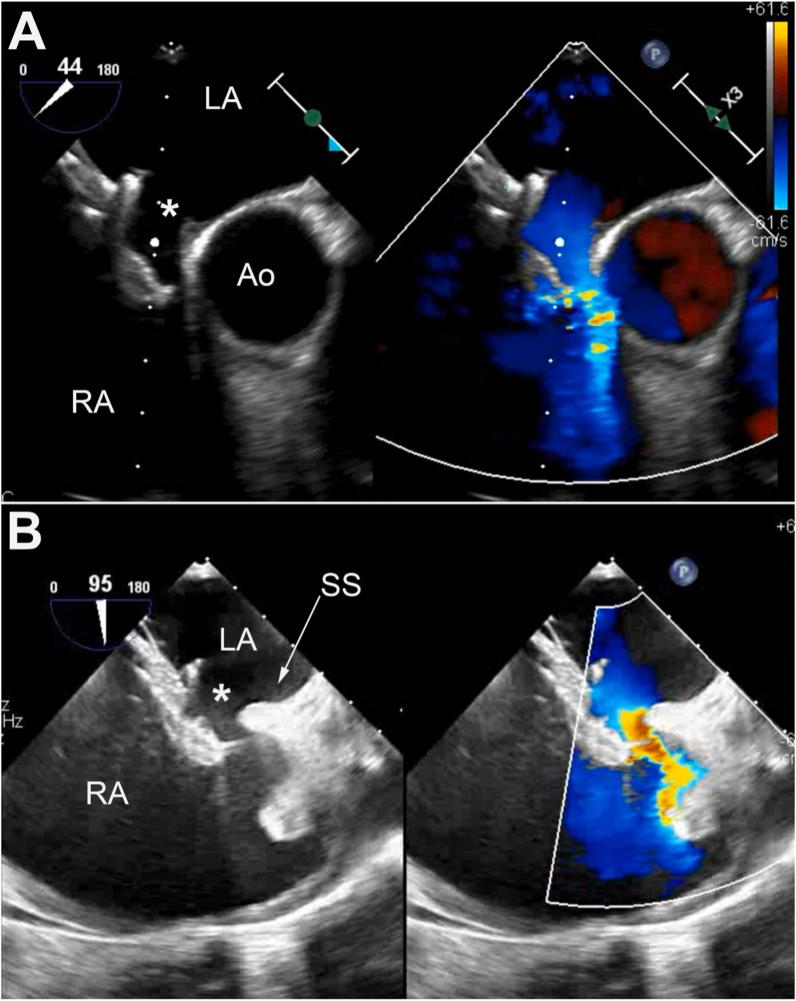
Percutaneous closure of ASD is nowadays preferred and more widely performed over surgical closure. The GORE® CARDIOFORM ASD occluder (GCA) is the latest generation of occluder with promising results as it performed well with high successful implant rates (96%) and showed high efficacy in challenging clinical and anatomical situations. We present the case of a 65 female with a 2.5 cm ASD, left atrial hypertension, deficient retroaortic rim, mobile septum primum and hypertrophied septum secundum. She underwent uncomplicated closure with a 44-mm GCA. However, the patient presented to the emergency room five weeks post procedure and was found to be in atrial fibrillation with rapid ventricular response at a rate of 158 bpm. Further workup showed a dislodged GCA device despite appropriate device placement and size selection based on the published instructions for use. We elected to not remove the 44-mm GCA given that it had become adherent to the septum primum but instead used the stiffer Amplatzer septal occluder to stabilize the GCA and occlude the residual defect. Finally, we highly recommend taking device destabilizing factors into consideration when selecting device size.

摘要

如今,经皮封堵房间隔缺损(ASD)比外科手术封堵更受青睐且应用更为广泛。戈尔公司的CARDIOFORM ASD封堵器(GCA)是新一代封堵器,取得了令人瞩目的成果,其植入成功率高(96%),在具有挑战性的临床和解剖情况下也显示出高效性。我们报告了一例65岁女性患者,患有2.5厘米的房间隔缺损、左心房高压、主动脉后缘不足、原发隔活动及继发隔肥厚。她使用44毫米的GCA进行了顺利封堵。然而,患者在术后五周因快速心室反应性房颤(心率158次/分钟)就诊于急诊室。进一步检查发现,尽管根据已发布的使用说明进行了合适的装置放置和尺寸选择,但GCA装置仍发生了移位。鉴于44毫米的GCA已与原发隔粘连,我们选择不取出它,而是使用更硬的Amplatzer房间隔封堵器来稳定GCA并封堵残余缺损。最后,我们强烈建议在选择装置尺寸时考虑装置不稳定因素。

https://cdn.ncbi.nlm.nih.gov/pmc/blobs/bbd4/11658217/629bb3fe6d1c/gr1.jpg

文献检索

告别复杂PubMed语法,用中文像聊天一样搜索,搜遍4000万医学文献。AI智能推荐,让科研检索更轻松。

立即免费搜索

文件翻译

保留排版,准确专业,支持PDF/Word/PPT等文件格式,支持 12+语言互译。

免费翻译文档

深度研究

AI帮你快速写综述,25分钟生成高质量综述,智能提取关键信息,辅助科研写作。

立即免费体验