Suppr超能文献

孕期人乳头瘤病毒相关外阴癌的成功管理:一例报告及治疗方法

Successful Management of HPV-Associated Vulvar Cancer During Pregnancy: A Case Report and Treatment Approach.

作者信息

Englert-Golon Monika, Sajdak Stefan, Dolińska-Kaczmarek Klaudia, Gruchała Zuzanna, Kowalska Karolina M, Moszyński Rafał

机构信息

Surgical Gynecology Clinic of The Gynecological and Obstetrics Clinical Hospital, Poznań University of Medical Sciences, Poznań, Poland.

出版信息

Am J Case Rep. 2024 Dec 23;25:e942305. doi: 10.12659/AJCR.942305.

Abstract

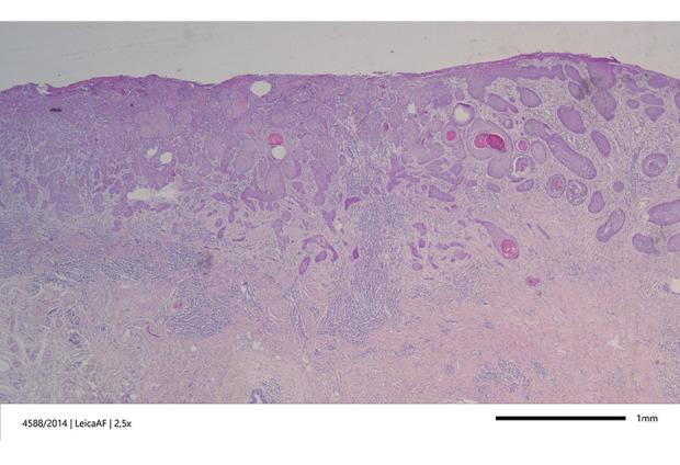
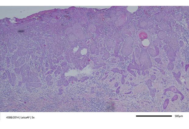
BACKGROUND Human Papilloma Virus (HPV)-associated Vulvar Squamous Cell Carcinomas (VSCC) present more frequently in young women than HPV- independent tumors. Due to its association with HPV infection, the incidence of vulvar cancer is increasing in young women; however, during pregnancy, it is still extremely rare. CASE REPORT We present the case of a 36-year-old pregnant woman at 23 weeks of pregnancy, diagnosed with HPV 16-associated VSCC, Federation of Gynecology and Obstetrics (FIGO) stage IB. Information on the coexistence of VSCC with pregnancy is unique, so it seems extremely important to disseminate it to develop the most effective treatment regimen. Additionally, making any decisions regarding therapeutic methods during pregnancy encounters great ethical problems. The size of the tumor was 0.5 cm with a depth of invasion 0.3 cm. The patient underwent therapy and gave birth by cesarean section at 38 weeks of pregnancy because of orthopedic indications. Surgical removal of the vulvar tumor was performed, including a margin of 1.5 cm of healthy tissue. Due to the patient's lack of consent, the sentinel node biopsy was not performed. No recurrence has been observed for 9 years. CONCLUSIONS The poorer prognosis of HPV-associated VSCC is independent of age and stage, with worse outcomes even in early-stage disease. For this reason, it is essential to sensitize clinicians to the possibility of such a diagnosis and to pay attention to the possibility of taking effective treatment during pregnancy, but safe for the fetus.

摘要

背景 人乳头瘤病毒(HPV)相关的外阴鳞状细胞癌(VSCC)在年轻女性中比HPV非依赖性肿瘤更常见。由于其与HPV感染相关,年轻女性外阴癌的发病率正在上升;然而,在怀孕期间,它仍然极为罕见。病例报告 我们报告一例36岁孕23周的孕妇,诊断为HPV 16相关的VSCC,国际妇产科联合会(FIGO)分期为IB期。VSCC与妊娠并存的信息很独特,因此传播该信息以制定最有效的治疗方案似乎极为重要。此外,在怀孕期间就治疗方法做出任何决定都会遇到很大的伦理问题。肿瘤大小为0.5 cm,浸润深度为0.3 cm。患者接受了治疗,并因矫形指征于孕38周行剖宫产分娩。对外阴肿瘤进行了手术切除,包括切除1.5 cm的健康组织边缘。由于患者不同意,未进行前哨淋巴结活检。9年来未观察到复发。结论 HPV相关VSCC的预后较差与年龄和分期无关,即使在疾病早期预后也较差。因此,必须提高临床医生对这种诊断可能性的认识,并关注在怀孕期间采取有效治疗但对胎儿安全的可能性。

https://cdn.ncbi.nlm.nih.gov/pmc/blobs/51a7/11670004/cc1a58dcff59/amjcaserep-25-e942305-g001.jpg

文献检索

告别复杂PubMed语法,用中文像聊天一样搜索,搜遍4000万医学文献。AI智能推荐,让科研检索更轻松。

立即免费搜索

文件翻译

保留排版,准确专业,支持PDF/Word/PPT等文件格式,支持 12+语言互译。

免费翻译文档

深度研究

AI帮你快速写综述,25分钟生成高质量综述,智能提取关键信息,辅助科研写作。

立即免费体验