Suppr超能文献

一种罕见的心血管异常:合并永存左上腔静脉及冠状窦扩张的三房心病例报告

An uncommon cardiovascular abnormality: Case report of core triatriatum associated with persistent left superior vena cava and coronary sinus dilation.

作者信息

Daralammouri Yunis, Azamtta Murad, Mahmoud Qutaiba Ja'far A

机构信息

Department of Medicine, Faculty of Medicine and Health Sciences, An-Najah National University, Nablus, Palestine.

Department of Cardiology, An-Najah National University Hospital, Nablus, Palestine.

出版信息

Radiol Case Rep. 2024 Dec 5;20(2):1236-1242. doi: 10.1016/j.radcr.2024.11.032. eCollection 2025 Feb.

Abstract

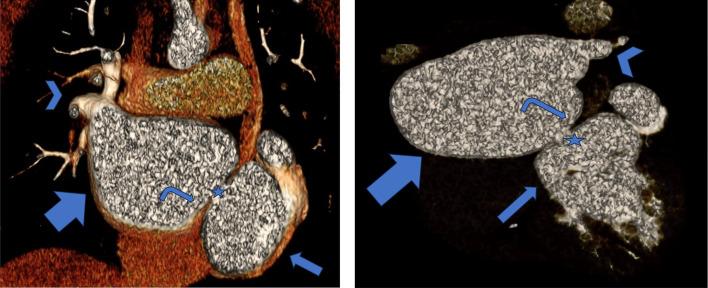
Cor triatriatum is an uncommon cardiac defect that occurs in 0.1-0.4% of congenital heart disease patients. It is characterized by a fibromuscular membrane separating the left (sinister) or the right (Dexter) atriums in tow chambers. The disease is usually discovered accidently in late childhood, usually as a result of a moderate form of this condition type. We discuss the case of a 14-year-old girl who had been experiencing exertional dyspnea and palpitations for about a year. She was referred to our hospital for assessment after an initial echocardiogram at another hospital revealed a mass around the left atrium. Repeated echocardiography at our institution revealed dilated coronary sinus, confusing the diagnosis. The left atrium was dilated and divided into 2 chambers by a thin membrane with an elevated pressure gradient between the 2 chambers. Cardiac CT and MRI confirmed the diagnosis of cor triatriatum sinister (CTS) with concomitant persisting left superior vena cava. Because of her symptoms, she was started medical treatment and referred for surgical evaluation. Cor triatriatum sinister (CTS) is frequently accompanied with atrial septal abnormalities and enlarged coronary sinus caused by a persistent left superior vena cava, as demonstrated in our case. The management of cor triatriatum sinister (CTS) is determined by the severity of the symptoms. Asymptomatic individuals with no pressure gradient do not require therapy; however, significant membrane obstruction may require surgical removal, which typically leads to positive short- and long-term outcomes.

摘要

三房心是一种罕见的心脏缺陷,在先天性心脏病患者中发生率为0.1%-0.4%。其特征是有一个纤维肌性膜将左心房(左位)或右心房(右位)分隔为两个腔室。该病通常在儿童晚期偶然发现,通常是这种病情的中度形式导致的。我们讨论一例14岁女孩的病例,她出现劳力性呼吸困难和心悸约一年。在另一家医院进行初步超声心动图检查发现左心房周围有肿物后,她被转诊至我院进行评估。我院重复进行的超声心动图检查显示冠状窦扩张,这使诊断变得复杂。左心房扩张,被一层薄隔膜分为两个腔室,两个腔室之间存在升高的压力梯度。心脏CT和MRI确诊为左位三房心(CTS)并伴有持续左上腔静脉。由于她的症状,她开始接受药物治疗并被转诊进行手术评估。如我们的病例所示,左位三房心(CTS)常伴有房间隔异常和由持续左上腔静脉导致的冠状窦扩大。左位三房心(CTS)的治疗取决于症状的严重程度。无症状且无压力梯度的个体不需要治疗;然而,明显的膜性梗阻可能需要手术切除,这通常会带来良好的短期和长期预后。

https://cdn.ncbi.nlm.nih.gov/pmc/blobs/8864/11665669/957fbb18fc9d/gr1.jpg

文献检索

告别复杂PubMed语法,用中文像聊天一样搜索,搜遍4000万医学文献。AI智能推荐,让科研检索更轻松。

立即免费搜索

文件翻译

保留排版,准确专业,支持PDF/Word/PPT等文件格式,支持 12+语言互译。

免费翻译文档

深度研究

AI帮你快速写综述,25分钟生成高质量综述,智能提取关键信息,辅助科研写作。

立即免费体验