• 文献检索
  • 文档翻译
  • 深度研究
  • 学术资讯
  • Suppr Zotero 插件Zotero 插件
  • 邀请有礼
  • 套餐&价格
  • 历史记录
应用&插件
Suppr Zotero 插件Zotero 插件浏览器插件Mac 客户端Windows 客户端微信小程序
定价
高级版会员购买积分包购买API积分包
服务
文献检索文档翻译深度研究API 文档MCP 服务
关于我们
关于 Suppr公司介绍联系我们用户协议隐私条款
关注我们

Suppr 超能文献

核心技术专利:CN118964589B侵权必究
粤ICP备2023148730 号-1Suppr @ 2026

文献检索

告别复杂PubMed语法,用中文像聊天一样搜索,搜遍4000万医学文献。AI智能推荐,让科研检索更轻松。

立即免费搜索

文件翻译

保留排版,准确专业,支持PDF/Word/PPT等文件格式,支持 12+语言互译。

免费翻译文档

深度研究

AI帮你快速写综述,25分钟生成高质量综述,智能提取关键信息,辅助科研写作。

立即免费体验

棘突的解剖结构与病理情况

Anatomy and Pathologies of the Spinous Process.

作者信息

Ariyaratne Sisith, Jenko Nathan, Iyengar Karthikeyan P, Davies Mark, Azzopardi Christine, Hughes Simon, Botchu Rajesh

机构信息

Department of Musculoskeletal Radiology, Royal Orthopedic Hospital, Birmingham B31 2AP, UK.

Department of Orthopedics, Southport and Ormskirk Hospitals, Mersey and West Lancashire Teaching NHS Trust, Southport PR8 6PN, UK.

出版信息

Diseases. 2024 Nov 26;12(12):302. doi: 10.3390/diseases12120302.

DOI:10.3390/diseases12120302
PMID:39727632
原文链接:https://pmc.ncbi.nlm.nih.gov/articles/PMC11726990/
Abstract

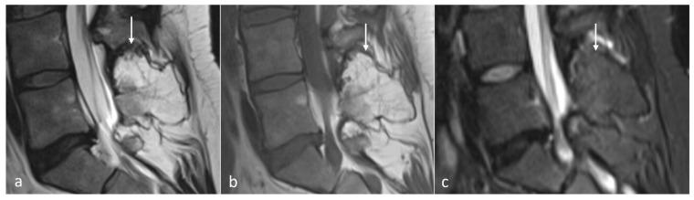
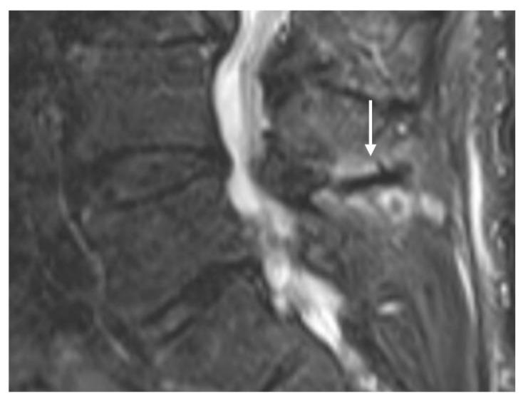
The spinous processes act as a lever for attachments of muscles and ligaments. Spinal imaging is commonly performed as a diagnostic test for pain and radiculopathy. A myriad of incidental or unexpected findings, both potentially asymptomatic and symptomatic, may be encountered during the interpretation of these images, which commonly comprise radiographs, Computed Tomography (CT) and Magnetic Resonance Imaging (MRI). Isolated lesions of the spinous process, although less common, are some of the lesions that may be encountered and can present a diagnostic dilemma. These can range from congenital abnormalities, traumatic lesions, neoplasms and lesions of inflammatory, infective and metabolic aetiology. The literature specifically reviewing these lesions is sparse. The article reviews a range of pathologies affecting the spinous process, along with their pertinent imaging features, based on isolated pathologies of spinous process lesions identified on imaging by the authors at a tertiary orthopaedic centre over a 10-year period. A search on the hospital Picture Archive and Communication System (PACS) and Radiology Information System (RIS) was performed using the keyword "spinous process" and a list of the isolated pathologies of the spinous process based on the imaging reports was compiled for the purpose of this narrative review. It is important that radiologists consider these lesions when they are identified on routine imaging of the spine.

摘要

棘突起到肌肉和韧带附着点的杠杆作用。脊柱成像通常作为疼痛和神经根病的诊断检查。在解读这些通常包括X线片、计算机断层扫描(CT)和磁共振成像(MRI)的图像时,可能会遇到无数偶然或意外的发现,既有潜在无症状的,也有有症状的。孤立的棘突病变虽然不太常见,但也是可能遇到的病变类型,可能会带来诊断难题。这些病变范围包括先天性异常、创伤性病变、肿瘤以及炎症性、感染性和代谢性病因引起的病变。专门综述这些病变的文献较为稀少。本文基于作者在一家三级骨科中心10年间通过成像识别出的孤立性棘突病变,综述了一系列影响棘突的病理情况及其相关的影像学特征。为进行本叙述性综述,利用关键词“棘突”在医院图像存档与通信系统(PACS)和放射信息系统(RIS)中进行了检索,并根据影像学报告编制了一份棘突孤立性病变列表。放射科医生在脊柱常规成像中识别出这些病变时,考虑这些病变非常重要。

https://cdn.ncbi.nlm.nih.gov/pmc/blobs/bb14/11726990/9f1d49f152e0/diseases-12-00302-g009.jpg
https://cdn.ncbi.nlm.nih.gov/pmc/blobs/bb14/11726990/08d905ad4c71/diseases-12-00302-g001.jpg
https://cdn.ncbi.nlm.nih.gov/pmc/blobs/bb14/11726990/d1fa630e7b34/diseases-12-00302-g002.jpg
https://cdn.ncbi.nlm.nih.gov/pmc/blobs/bb14/11726990/180d9e3e8478/diseases-12-00302-g003.jpg
https://cdn.ncbi.nlm.nih.gov/pmc/blobs/bb14/11726990/baf0583ee572/diseases-12-00302-g004.jpg
https://cdn.ncbi.nlm.nih.gov/pmc/blobs/bb14/11726990/3e66c62d21f5/diseases-12-00302-g005.jpg
https://cdn.ncbi.nlm.nih.gov/pmc/blobs/bb14/11726990/aa4191baa440/diseases-12-00302-g006.jpg
https://cdn.ncbi.nlm.nih.gov/pmc/blobs/bb14/11726990/03316fb09065/diseases-12-00302-g007.jpg
https://cdn.ncbi.nlm.nih.gov/pmc/blobs/bb14/11726990/595e3c6d18cc/diseases-12-00302-g008.jpg
https://cdn.ncbi.nlm.nih.gov/pmc/blobs/bb14/11726990/9f1d49f152e0/diseases-12-00302-g009.jpg
https://cdn.ncbi.nlm.nih.gov/pmc/blobs/bb14/11726990/08d905ad4c71/diseases-12-00302-g001.jpg
https://cdn.ncbi.nlm.nih.gov/pmc/blobs/bb14/11726990/d1fa630e7b34/diseases-12-00302-g002.jpg
https://cdn.ncbi.nlm.nih.gov/pmc/blobs/bb14/11726990/180d9e3e8478/diseases-12-00302-g003.jpg
https://cdn.ncbi.nlm.nih.gov/pmc/blobs/bb14/11726990/baf0583ee572/diseases-12-00302-g004.jpg
https://cdn.ncbi.nlm.nih.gov/pmc/blobs/bb14/11726990/3e66c62d21f5/diseases-12-00302-g005.jpg
https://cdn.ncbi.nlm.nih.gov/pmc/blobs/bb14/11726990/aa4191baa440/diseases-12-00302-g006.jpg
https://cdn.ncbi.nlm.nih.gov/pmc/blobs/bb14/11726990/03316fb09065/diseases-12-00302-g007.jpg
https://cdn.ncbi.nlm.nih.gov/pmc/blobs/bb14/11726990/595e3c6d18cc/diseases-12-00302-g008.jpg
https://cdn.ncbi.nlm.nih.gov/pmc/blobs/bb14/11726990/9f1d49f152e0/diseases-12-00302-g009.jpg

相似文献

1
Anatomy and Pathologies of the Spinous Process.棘突的解剖结构与病理情况
Diseases. 2024 Nov 26;12(12):302. doi: 10.3390/diseases12120302.
2
Occult spinous process fractures associated with interspinous process spacers.与棘突间撑开器相关的隐匿性棘突骨折。
Spine (Phila Pa 1976). 2011 Jul 15;36(16):E1080-5. doi: 10.1097/BRS.0b013e318204066a.
3
Spinous process fractures associated with Baastrup disease.与椎体后缘骨赘病相关的棘突骨折。
Clin Imaging. 2004 May-Jun;28(3):219-22. doi: 10.1016/S0899-7071(03)00156-6.
4
Exploration and decompression of the spinal canal using split laminotomy and its modification, the "archbone" technique.使用椎板劈开术及其改良术式“椎弓骨”技术进行椎管探查与减压。
Neurosurgery. 2008 May;62(5 Suppl 2):ONS432-40; discussion ONS440-1. doi: 10.1227/01.neu.0000326031.31843.99.
5
Utility and costs of radiologist interpretation of perioperative imaging in patients with traumatic single-level thoracolumbar fractures.放射科医生对创伤性单节段胸腰椎骨折患者围手术期影像学检查结果进行解读的效用与成本
J Neurosurg Spine. 2017 Nov;27(5):578-583. doi: 10.3171/2017.4.SPINE16923. Epub 2017 Sep 8.
6
Hyperplasia of Lamina and Spinous Process of C5 Vertebrae and Associated Hemivertebra at C4 Level.C5椎体椎板及棘突增生伴C4水平半椎体畸形。
J Orthop Case Rep. 2017 Jan-Feb;7(1):79-81. doi: 10.13107/jocr.2250-0685.698.
7
Traumatic isolated spinous process fractures.创伤性孤立性棘突骨折
Ulus Travma Acil Cerrahi Derg. 2025 Apr;31(4):394-398. doi: 10.14744/tjtes.2025.20830.
8
Neuroimaging for the evaluation of chronic headaches: an evidence-based analysis.用于评估慢性头痛的神经影像学:一项基于证据的分析。
Ont Health Technol Assess Ser. 2010;10(26):1-57. Epub 2010 Dec 1.
9
Magnetic resonance imaging of the lumbar spinous processes and adjacent soft tissues: normal and pathologic appearances.腰椎棘突及相邻软组织的磁共振成像:正常与病理表现
J Rheumatol. 1987 Aug;14(4):788-97.
10
Thoracic spinous process nonunion as an unusual cause of back pain: a case report and review of the literature.胸椎棘突骨不连致背痛:病例报告并文献复习。
J Med Case Rep. 2024 Jan 3;18(1):11. doi: 10.1186/s13256-023-04109-3.

引用本文的文献

1
How I do it-tubular trans-spinous process muscle-sparing approach for bilateral lumbar microdiscectomy: surgical technique with illustrative video.我是如何做的——经椎板间隙双侧腰椎显微椎间盘切除术的保留肌肉管状经棘突入路:手术技术及演示视频
Acta Neurochir (Wien). 2025 Aug 22;167(1):226. doi: 10.1007/s00701-025-06648-8.

本文引用的文献

1
Primary Benign Neoplasms of the Spine.脊柱原发性良性肿瘤
Diagnostics (Basel). 2023 Jun 8;13(12):2006. doi: 10.3390/diagnostics13122006.
2
Primary Osseous Malignancies of the Spine.脊柱原发性骨恶性肿瘤
Diagnostics (Basel). 2023 May 19;13(10):1801. doi: 10.3390/diagnostics13101801.
3
Multiple contiguous spinous process fractures, a case report and literature review.多发性连续性棘突骨折:一例报告及文献综述
Trauma Case Rep. 2022 Aug 1;42:100683. doi: 10.1016/j.tcr.2022.100683. eCollection 2022 Dec.
4
Spinous Process Fractures in Osteoporotic Vertebral Fractures: A Cross-Sectional Study.骨质疏松性椎体骨折中的棘突骨折:一项横断面研究
Spine Surg Relat Res. 2021 Jun 30;6(2):139-144. doi: 10.22603/ssrr.2021-0066. eCollection 2022.
5
Spinal osteoid osteoma: Surgical resection and review of literature.脊柱骨样骨瘤:手术切除及文献综述
Surg Neurol Int. 2020 Sep 25;11:308. doi: 10.25259/SNI_510_2020. eCollection 2020.
6
Osteochondromas of the cervical spine-case series and review.颈椎骨软骨瘤——病例系列及文献综述
J Clin Orthop Trauma. 2020 Sep-Oct;11(5):905-909. doi: 10.1016/j.jcot.2019.12.014. Epub 2019 Dec 31.
7
Nonunited secondary ossification centers of the spinous processes of vertebrae at multiple levels presenting as aberrant articulations in an adult.成人多节段椎体棘突继发骨化中心不愈合,表现为异常关节。
J Craniovertebr Junction Spine. 2018 Jul-Sep;9(3):216-217. doi: 10.4103/jcvjs.JCVJS_23_18.
8
Team Approach: Metastatic Disease of the Spine.团队协作方法:脊柱转移性疾病
JBJS Rev. 2018 May;6(5):e6. doi: 10.2106/JBJS.RVW.17.00118.
9
State of the Art Treatment of Spinal Metastatic Disease.脊柱转移瘤的治疗现状。
Neurosurgery. 2018 Jun 1;82(6):757-769. doi: 10.1093/neuros/nyx567.
10
Hyperplasia of Lamina and Spinous Process of C5 Vertebrae and Associated Hemivertebra at C4 Level.C5椎体椎板及棘突增生伴C4水平半椎体畸形。
J Orthop Case Rep. 2017 Jan-Feb;7(1):79-81. doi: 10.13107/jocr.2250-0685.698.