Suppr超能文献

ATF3的缺乏通过激活cGAS-STING通路促进血管紧张素II诱导的和自发形成的主动脉瘤及夹层的发展。

Deficiency of ATF3 facilitates both angiotensin II-induced and spontaneously formed aortic aneurysm and dissection development by activating cGAS-STING pathway.

作者信息

Du Yifan, Hu Poyi, Ding Xiangchao, Wang Dashuai, Luo Jingjing, Le Sheng, Ren Lingyun, Chen Manhua, Ye Ping, Xia Jiahong

机构信息

Department of Cardiovascular Surgery, Union Hospital, Tongji Medical College, Huazhong University of Science and Technology, Wuhan, China.

Department of Thoracic Surgery, Renmin Hospital of Wuhan University, Wuhan, China.

出版信息

Clin Transl Med. 2025 Jan;15(1):e70147. doi: 10.1002/ctm2.70147.

Abstract

BACKGROUND

Sporadic aortic aneurysm and dissection (AAD) is a critical condition characterised by the progressive loss of vascular smooth muscle cells (VSMCs) and the breakdown of the extracellular matrix. However, the molecular mechanisms responsible for the phenotypic switch and loss of VSMCs in AAD are not fully understood.

METHODS AND RESULTS

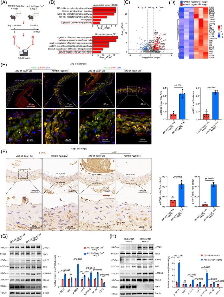
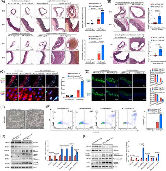
In this study, we employed a discovery-driven, unbiased approach. This approach encourages us to explore the unknown functions of activating transcription factor 3 (ATF3) rather than merely confirming existing hypotheses, while no assumptions were made about ATF3 prior to the experiments. We ensured the unbiased nature of our assessment by conducting morphological evaluations with two independent observers in a blinded manner. We identified elevated expression of ATF3 in both human sporadic AAD tissues and mouse AAD models. VSMC-specific ATF3 conditional knockout (Atf3 cKO) mice showed notable enlargement, dissection and rupture in both thoracic and abdominal aortic regions after exposure to Ang II. Interestingly, older Atf3 cKO mice exhibited spontaneous aortic dissections and senescence of the aortic wall. Mechanistically, ATF3 deficiency led to the degradation of P21 through ubiquitination. Impaired DNA repair in VSMCs resulted in micronuclei formation in the cytoplasm, activating the  cyclicGMP-AMP synthase- stimulator of interferon genes (cGAS-STING) pathway and inducing VSMC phenotypic switching and apoptosis. Finally, both pharmacological complementation of P21 function and knockdown of STING expression alleviated ATF3 deficiency-induced AAD.

CONCLUSIONS

Our study indicates that ATF3 is essential for genomic DNA stability in VSMCs through the P21-cGAS-STING pathway, suggesting that enhancing ATF3 expression in VSMCs could help prevent sporadic AAD.

KEY POINTS

ATF3 deficiency led to degradation of P21 through ubiquitination, which abolished the G1 phase arrest. VSMCs had no time window to repair the damaged DNA, leading to generation of micronuclei in cytoplasm. Cytoplasmic micronuclei facilitating the activation of cGAS-STING pathway, thus inducing the phenotypic switch and apoptosis of VSMCs.

摘要

背景

散发性主动脉瘤和主动脉夹层(AAD)是一种危急病症,其特征为血管平滑肌细胞(VSMC)逐渐丧失以及细胞外基质破坏。然而,AAD中VSMC表型转换和丧失的分子机制尚未完全明确。

方法与结果

在本研究中,我们采用了一种发现驱动的、无偏倚的方法。这种方法促使我们探索激活转录因子3(ATF3)的未知功能,而非仅仅证实现有假说,并且在实验之前对ATF3未作任何假设。我们通过由两名独立观察者以盲法进行形态学评估来确保评估的无偏倚性。我们在人类散发性AAD组织和小鼠AAD模型中均鉴定出ATF3表达升高。VSMC特异性ATF3条件性敲除(Atf3 cKO)小鼠在暴露于血管紧张素II后,胸主动脉和腹主动脉区域均出现显著扩张、夹层形成和破裂。有趣的是,老年Atf3 cKO小鼠表现出自发性主动脉夹层和主动脉壁衰老。机制上,ATF3缺乏通过泛素化导致P21降解。VSMC中DNA修复受损导致细胞质中形成微核,激活环磷酸鸟苷-腺苷酸合成酶-干扰素基因刺激物(cGAS-STING)通路,并诱导VSMC表型转换和凋亡。最后,P21功能的药理学补充和STING表达的敲低均减轻了ATF3缺乏诱导的AAD。

结论

我们的研究表明,ATF3通过P21-cGAS-STING通路对VSMC中的基因组DNA稳定性至关重要,提示增强VSMC中ATF3的表达可能有助于预防散发性AAD。

关键点

ATF3缺乏通过泛素化导致P21降解,从而消除了G1期阻滞。VSMC没有时间窗口来修复受损DNA,导致细胞质中产生微核。细胞质微核促进cGAS-STING通路的激活,从而诱导VSMC的表型转换和凋亡。

https://cdn.ncbi.nlm.nih.gov/pmc/blobs/4d7b/11680558/47226a301fcf/CTM2-15-e70147-g008.jpg

文献检索

告别复杂PubMed语法,用中文像聊天一样搜索,搜遍4000万医学文献。AI智能推荐,让科研检索更轻松。

立即免费搜索

文件翻译

保留排版,准确专业,支持PDF/Word/PPT等文件格式,支持 12+语言互译。

免费翻译文档

深度研究

AI帮你快速写综述,25分钟生成高质量综述,智能提取关键信息,辅助科研写作。

立即免费体验