Suppr超能文献

厄尔德海姆-切斯特病:一例探讨多系统受累的病例报告

Erdheim-Chester Disease: A Case Report Exploring Multisystemic Involvement.

作者信息

Antunes Francisco, Maia Rúben, Henriques Sara, Ribeiro Ana, Guimarães Francisca

机构信息

Radiology, Unidade Local de Saúde Vila Nova de Gaia | Espinho, Vila Nova de Gaia, PRT.

Neuroradiology, Unidade Local de Saúde Vila Nova de Gaia | Espinho, Vila Nova de Gaia, PRT.

出版信息

Cureus. 2024 Nov 30;16(11):e74853. doi: 10.7759/cureus.74853. eCollection 2024 Nov.

Abstract

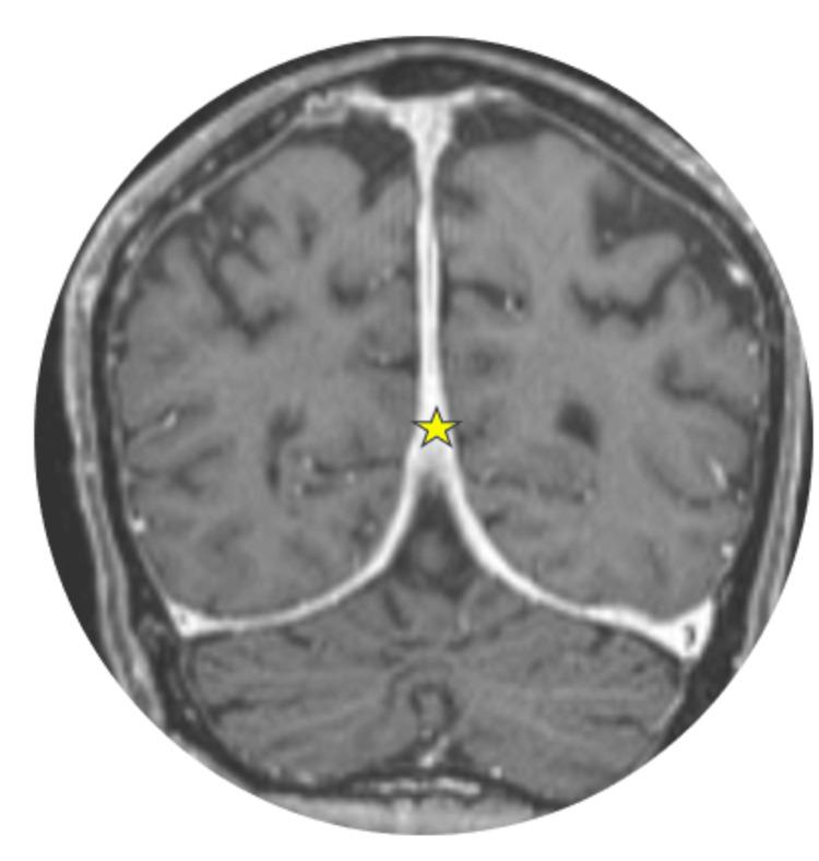
Erdheim-Chester disease (ECD) is a rare, multisystemic, non-Langerhans cell histiocytic neoplasm predominantly affecting middle-aged males in their fifth to seventh decades of life. It often presents with nonspecific symptoms, leading to a delay in its diagnosis. We report a case of an 85-year-old male with multisystemic manifestations, including retroperitoneal, skeletal, vascular, cardiac, orbital, and central nervous system (CNS) involvement. Imaging revealed characteristic findings such as bilateral osteosclerosis, perirenal infiltration (hairy kidney sign), and dural-based intracranial masses. Histopathological analysis confirmed the diagnosis, identifying CD68+ histiocytes and the BRAFV600E mutation. The patient was managed initially by Internal Medicine and later referred to Hemato-Oncology for further treatment. This report highlights the importance of maintaining a high index of suspicion for this rare disorder, as well as adopting a multidisciplinary approach toward its treatment, integrating clinical, radiological, and histopathological data.

摘要

Erdheim-Chester病(ECD)是一种罕见的、多系统的、非朗格汉斯细胞组织细胞肿瘤,主要影响50至70岁的中年男性。它常表现为非特异性症状,导致诊断延迟。我们报告一例85岁男性,有包括腹膜后、骨骼、血管、心脏、眼眶和中枢神经系统(CNS)受累的多系统表现。影像学检查发现了特征性表现,如双侧骨硬化、肾周浸润(毛肾征)和硬脑膜下颅内肿块。组织病理学分析确诊,发现CD68+组织细胞和BRAFV600E突变。患者最初由内科处理,后来转诊至血液肿瘤科进行进一步治疗。本报告强调了对这种罕见疾病保持高度怀疑指数的重要性,以及采用多学科方法进行治疗,整合临床、放射学和组织病理学数据。

https://cdn.ncbi.nlm.nih.gov/pmc/blobs/bed7/11684790/3a0103040608/cureus-0016-00000074853-i01.jpg

文献检索

告别复杂PubMed语法,用中文像聊天一样搜索,搜遍4000万医学文献。AI智能推荐,让科研检索更轻松。

立即免费搜索

文件翻译

保留排版,准确专业,支持PDF/Word/PPT等文件格式,支持 12+语言互译。

免费翻译文档

深度研究

AI帮你快速写综述,25分钟生成高质量综述,智能提取关键信息,辅助科研写作。

立即免费体验