• 文献检索
  • 文档翻译
  • 深度研究
  • 学术资讯
  • Suppr Zotero 插件Zotero 插件
  • 邀请有礼
  • 套餐&价格
  • 历史记录
应用&插件
Suppr Zotero 插件Zotero 插件浏览器插件Mac 客户端Windows 客户端微信小程序
定价
高级版会员购买积分包购买API积分包
服务
文献检索文档翻译深度研究API 文档MCP 服务
关于我们
关于 Suppr公司介绍联系我们用户协议隐私条款
关注我们

Suppr 超能文献

核心技术专利:CN118964589B侵权必究
粤ICP备2023148730 号-1Suppr @ 2026

文献检索

告别复杂PubMed语法,用中文像聊天一样搜索,搜遍4000万医学文献。AI智能推荐,让科研检索更轻松。

立即免费搜索

文件翻译

保留排版,准确专业,支持PDF/Word/PPT等文件格式,支持 12+语言互译。

免费翻译文档

深度研究

AI帮你快速写综述,25分钟生成高质量综述,智能提取关键信息,辅助科研写作。

立即免费体验

在上颌前部区域使用锥形束计算机断层扫描对比评估桥体盾技术与全牙拔除术对唇侧牙槽嵴骨吸收的影响:一项随机对照临床试验。

Comparative evaluation of the pontic shield technique versus whole tooth extraction on labial crestal bone resorption using cone-beam computed tomography in the maxillary anterior region: A randomized controlled clinical trial.

作者信息

Jadhav Mallinath Govind, Agrawal Amit Arvind, Mahale Swapna Arunkumar, Sethi Kunal, Kale-Bachhav Triveni Ashok

机构信息

Department of Periodontics, MGV's KBH Dental College and Hospital, Nashik, Maharashtra, India.

出版信息

J Indian Soc Periodontol. 2024 May-Jun;28(3):349-353. doi: 10.4103/jisp.jisp_370_23. Epub 2024 Dec 2.

DOI:10.4103/jisp.jisp_370_23
PMID:39742053
原文链接:https://pmc.ncbi.nlm.nih.gov/articles/PMC11684575/
Abstract

INTRODUCTION

Following tooth extraction, there is comparatively more bone loss at the buccal aspect at 3 months of healing, which may result in 56% bone loss due to resorption of the bucco-facial ridge contour. In the socket shield technique, a tooth is planned for extraction in such a way that the tooth is sectioned in two halves, a palatal section is removed and the facial part is retained.

MATERIALS AND METHODS

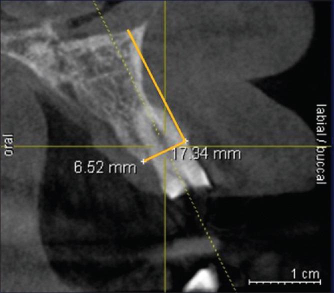
Twenty-six sites, i.e., 13 sites requiring partial tooth extraction (test sites) and 13 sites with whole tooth extraction (control sites), in the maxillary anterior region were included. In each patient, at least two sites were included (one test and one control). After both procedures, a collagen sponge was placed in the socket and sutured with silk suture. The height of the labial crestal bone and width of the socket at both sites were evaluated by the cone-beam computed tomography examination preoperatively at baseline and after a 3-month follow-up period.

RESULTS

The mean differences in labial crestal bone height and socket width from baseline to 3 month follow up were significantly lower in the test group than in the control group ( < 0.05).

CONCLUSION

Labial crestal bone resorption was significantly less at the site where the pontic shield technique (PST) was used than at the site with whole tooth extraction. The reduction in socket width (bucco-lingually) was also significantly less at the site where the PST was used compared to whole tooth extraction sites.

摘要

引言

拔牙后,愈合3个月时颊侧骨吸收相对较多,这可能导致由于颊侧牙槽嵴轮廓吸收而造成56%的骨量流失。在牙槽窝保护技术中,拔牙的设计方式是将牙齿切成两半,去除腭侧部分,保留唇侧部分。

材料与方法

纳入上颌前部区域的26个位点,即13个需要部分拔牙的位点(试验位点)和13个全牙拔除的位点(对照位点)。每位患者至少纳入两个位点(一个试验位点和一个对照位点)。两种操作后,在牙槽窝内放置胶原海绵并用丝线缝合。通过锥形束计算机断层扫描检查在术前基线以及3个月随访期后评估两个位点的唇侧牙槽嵴骨高度和牙槽窝宽度。

结果

从基线到3个月随访期,试验组唇侧牙槽嵴骨高度和牙槽窝宽度的平均差异显著低于对照组(<0.05)。

结论

使用桥体保护技术(PST)的位点唇侧牙槽嵴骨吸收明显少于全牙拔除的位点。与全牙拔除位点相比,使用PST的位点牙槽窝宽度(颊舌向)减小也明显更少。

https://cdn.ncbi.nlm.nih.gov/pmc/blobs/795e/11684575/8b5f64c7ebc4/JISP-28-349-g003.jpg
https://cdn.ncbi.nlm.nih.gov/pmc/blobs/795e/11684575/f737cf2a8f9f/JISP-28-349-g001.jpg
https://cdn.ncbi.nlm.nih.gov/pmc/blobs/795e/11684575/dbeb9ac75b38/JISP-28-349-g002.jpg
https://cdn.ncbi.nlm.nih.gov/pmc/blobs/795e/11684575/8b5f64c7ebc4/JISP-28-349-g003.jpg
https://cdn.ncbi.nlm.nih.gov/pmc/blobs/795e/11684575/f737cf2a8f9f/JISP-28-349-g001.jpg
https://cdn.ncbi.nlm.nih.gov/pmc/blobs/795e/11684575/dbeb9ac75b38/JISP-28-349-g002.jpg
https://cdn.ncbi.nlm.nih.gov/pmc/blobs/795e/11684575/8b5f64c7ebc4/JISP-28-349-g003.jpg

相似文献

1
Comparative evaluation of the pontic shield technique versus whole tooth extraction on labial crestal bone resorption using cone-beam computed tomography in the maxillary anterior region: A randomized controlled clinical trial.在上颌前部区域使用锥形束计算机断层扫描对比评估桥体盾技术与全牙拔除术对唇侧牙槽嵴骨吸收的影响:一项随机对照临床试验。
J Indian Soc Periodontol. 2024 May-Jun;28(3):349-353. doi: 10.4103/jisp.jisp_370_23. Epub 2024 Dec 2.
2
Dimensional Changes of Alveolar Ridge After Tooth Extraction Using the Socket Shield Technique Without Immediate Implant Placement: A Randomized Controlled Study.使用牙槽窝保护技术且不即刻植入种植体拔牙后牙槽嵴的尺寸变化:一项随机对照研究。
Int J Oral Maxillofac Implants. 2025 Apr 17;0(0):1-25. doi: 10.11607/jomi.11311.
3
Pressure Bearing Device Affects Extraction Socket Remodeling of Maxillary Anterior Tooth. A Prospective Clinical Trial.承压装置对上颌前牙拔牙创改建的影响。一项前瞻性临床试验。
Clin Implant Dent Relat Res. 2017 Apr;19(2):296-305. doi: 10.1111/cid.12442. Epub 2016 Aug 18.
4
Assessment of soft and hard tissue changes following micro crestal flap-Alveolar ridge preservation and augmentation at molar extraction sites in patients with stage III/IV periodontitis: A randomized controlled trial.评估 III/IV 期牙周炎患者磨牙拔牙位点应用微瓣牙槽嵴保存和增量术的软硬组织变化:一项随机对照试验。
J Clin Periodontol. 2024 Oct;51(10):1311-1322. doi: 10.1111/jcpe.14045. Epub 2024 Jul 23.
5
Evaluation of soft tissue and labial plate of bone stability with immediate implant in direct contact versus gap with socket shield: A randomized clinical trial with 1 year follow-up.即刻种植体直接接触与使用 socket shield 保持间隙对软组织和牙槽嵴稳定性的评估:一项为期 1 年的随机临床试验。
Clin Implant Dent Relat Res. 2022 Oct;24(5):548-558. doi: 10.1111/cid.13117. Epub 2022 Jun 28.
6
Radiographic evaluation of a bone substitute material in alveolar ridge preservation for maxillary removable immediate dentures: A randomized controlled trial.放射性评估牙槽嵴保存中骨替代材料在上颌可摘即刻义齿的应用:一项随机对照试验。
J Prosthet Dent. 2022 Nov;128(5):928-935. doi: 10.1016/j.prosdent.2021.02.013. Epub 2021 Apr 8.
7
Evaluation of alveolar process resorption after tooth extraction using the socket shield technique without immediate installation of implants: a randomised controlled clinical trial.采用牙槽窝保护技术在不立即植入种植体的情况下评估拔牙后牙槽骨吸收:一项随机对照临床试验。
Br J Oral Maxillofac Surg. 2021 Dec;59(10):1227-1232. doi: 10.1016/j.bjoms.2021.04.001. Epub 2021 Apr 8.
8
[Evaluation of micro crestal flap-alveolar ridge preservation following extraction of mandibular molars with severe periodontitis].[重度牙周炎下颌磨牙拔除后微嵴顶瓣牙槽嵴保存的评估]
Beijing Da Xue Xue Bao Yi Xue Ban. 2025 Feb 18;57(1):33-41. doi: 10.19723/j.issn.1671-167X.2025.01.006.
9
Alveolar ridge preservation with a free gingival graft in the anterior maxilla: volumetric evaluation in a randomized clinical trial.在上颌前部使用游离龈瓣移植进行牙槽嵴保存:一项随机临床试验中的体积评估
Int J Oral Maxillofac Surg. 2015 Jun;44(6):774-80. doi: 10.1016/j.ijom.2015.01.015. Epub 2015 Feb 11.
10
Buccal bone formation after flapless extraction: a randomized, controlled clinical trial comparing recombinant human bone morphogenetic protein 2/absorbable collagen carrier and collagen sponge alone.无瓣拔牙后颊骨形成:一项比较重组人骨形态发生蛋白2/可吸收胶原载体与单独胶原海绵的随机对照临床试验。
J Periodontol. 2014 Apr;85(4):525-35. doi: 10.1902/jop.2013.130207. Epub 2013 Jul 4.

本文引用的文献

1
A Double Case: Socket Shield and Pontic Shield Techniques on Aesthetic Zone.双案例:美学区的套筒冠和桥体盾技术
Case Rep Dent. 2020 Oct 29;2020:8891772. doi: 10.1155/2020/8891772. eCollection 2020.
2
Socket-shield technique for implant placement to stabilize the facial gingival and osseous architecture: A systematic review.用于种植体植入以稳定面部牙龈和骨结构的套接字屏蔽技术:一项系统评价。
J Investig Clin Dent. 2019 Nov;10(4):e12449. doi: 10.1111/jicd.12449. Epub 2019 Aug 21.
3
The socket-shield technique at molar sites: A proof-of-principle technique report.
磨牙位点的窝沟封闭技术:原理验证技术报告。
J Prosthet Dent. 2019 Feb;121(2):229-233. doi: 10.1016/j.prosdent.2018.05.006. Epub 2018 Oct 26.
4
Effect of socket-shield technique on alveolar ridge soft and hard tissue in dogs.Socket-shield 技术对犬牙槽嵴软硬组织的影响。
J Clin Periodontol. 2019 Feb;46(2):256-263. doi: 10.1111/jcpe.13073.
5
Socket-shield technique: the influence of the length of the remaining buccal segment of healthy tooth structure on peri-implant bone and socket preservation. A study in dogs.套筒冠技术:健康牙体结构剩余颊侧段长度对种植体周围骨组织及牙槽窝保存的影响。一项犬类研究。
Ann Anat. 2019 Jan;221:84-92. doi: 10.1016/j.aanat.2018.09.003. Epub 2018 Sep 20.
6
The Modified Socket Shield Technique.改良型套筒冠技术。
J Craniofac Surg. 2018 Nov;29(8):2247-2254. doi: 10.1097/SCS.0000000000004494.
7
Postextraction Dental Implant in the Aesthetic Zone, Socket Shield Technique Versus Conventional Protocol.美学区拔牙后牙种植,牙槽窝保护技术与传统方案对比
J Craniofac Surg. 2018 Jun;29(4):1037-1041. doi: 10.1097/SCS.0000000000004419.
8
Current Evidence on the Socket-Shield Technique: A Systematic Review.种植体肩台保护技术的当前证据:一项系统评价
J Oral Implantol. 2017 Oct;43(5):395-403. doi: 10.1563/aaid-joi-D-17-00118. Epub 2017 Jun 12.
9
Alveolar ridge preservation after tooth extraction: a Bayesian Network meta-analysis of grafting materials efficacy on prevention of bone height and width reduction.拔牙后牙槽嵴保存:关于预防骨高度和宽度减少的移植物材料疗效的贝叶斯网状 Meta 分析。
J Clin Periodontol. 2017 Jan;44(1):104-114. doi: 10.1111/jcpe.12633. Epub 2016 Dec 5.
10
A Comparison of Conventional Collagen Sponge and Collagen-Gelatin Sponge in Wound Healing.传统胶原海绵与胶原-明胶海绵在伤口愈合中的比较
Biomed Res Int. 2016;2016:4567146. doi: 10.1155/2016/4567146. Epub 2016 Apr 27.