Suppr超能文献

SDHB突变型转移性副神经节瘤对CVD化疗的持久且深度反应:病例报告

Durable and deep response to CVD chemotherapy in SDHB-mutated metastatic paraganglioma: case report.

作者信息

Zhang Chenyan, Wei Yuanfeng, Cheng Ke, Cao Dan

机构信息

Division of Abdominal Tumor, Department of Medical Oncology, Cancer Center and State Key Laboratory of Biological Therapy, West China Hospital, Sichuan University, Chengdu, Sichuan, China.

出版信息

Front Endocrinol (Lausanne). 2024 Dec 18;15:1483516. doi: 10.3389/fendo.2024.1483516. eCollection 2024.

Abstract

INTRODUCTION

Succinate dehydrogenase subunit B (SDHB)-mutated paragangliomas (PGLs) are rare neuroendocrine tumors characterized by increased malignancy, readily metastasizing, and poorer prognosis. Here we report a case of SDHB-mutated metastatic PGL, wherein the patient showed significant tumor shrinkage and complete symptom remission following chemotherapy. We aim to contribute additional evidence to the existing knowledge associated with SDHB-mutated PGLs.

CASE REPORT

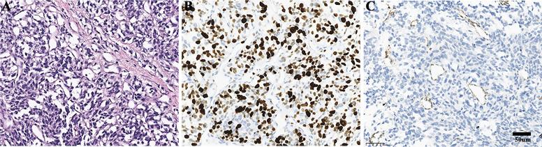
A 40-year-old male patient presented with recurrent hypoglycemia and hypertension crisis. Imaging revealed a huge left retroperitoneal tumor and multiple diffuse metastases in lungs. Catecholamine was also elevated, aligning with a diagnosis of metastatic PGL. Pathology also confirmed this diagnosis. Additionally, the immunohistochemistry indicated negative expression of SDHB and gene test showed somatic SDHB mutation. Given the SDHB mutation, cyclophosphamide-vincristine-dacarbazine (CVD) chemotherapy was initiated in critical conditions. Subsequently, a significant tumor shrinkage and complete biochemical response were observed after two treatment cycles. In September 2024, CT scan revealed new pulmonary lesions. The progression-free survival (PFS) with CVD chemotherapy was 24 months.

CONCLUSION

This report reviews the distinct clinical and biochemical characteristics and treatment approaches of SDHB-mutated paragangliomas, emphasizing that the significance of incorporating both genetic testing and immunohistochemical analysis in clinical practice.

摘要

引言

琥珀酸脱氢酶亚基B(SDHB)突变的副神经节瘤(PGL)是罕见的神经内分泌肿瘤,其特征为恶性程度增加、易于转移且预后较差。在此,我们报告一例SDHB突变的转移性PGL病例,该患者在化疗后肿瘤显著缩小且症状完全缓解。我们旨在为与SDHB突变的PGL相关的现有知识提供更多证据。

病例报告

一名40岁男性患者出现反复低血糖和高血压危象。影像学检查显示左腹膜后有巨大肿瘤,肺部有多个弥漫性转移灶。儿茶酚胺水平也升高,符合转移性PGL的诊断。病理检查也证实了这一诊断。此外,免疫组化显示SDHB阴性表达,基因检测显示存在体细胞SDHB突变。鉴于SDHB突变,在危急情况下开始采用环磷酰胺-长春新碱-达卡巴嗪(CVD)化疗。随后,经过两个治疗周期后观察到肿瘤显著缩小且生化指标完全缓解。2024年9月,CT扫描显示肺部出现新病灶。CVD化疗的无进展生存期(PFS)为24个月。

结论

本报告回顾了SDHB突变的副神经节瘤独特的临床和生化特征及治疗方法,强调了在临床实践中结合基因检测和免疫组化分析的重要性。

https://cdn.ncbi.nlm.nih.gov/pmc/blobs/f045/11688215/cc5e05e11d00/fendo-15-1483516-g001.jpg

文献检索

告别复杂PubMed语法,用中文像聊天一样搜索,搜遍4000万医学文献。AI智能推荐,让科研检索更轻松。

立即免费搜索

文件翻译

保留排版,准确专业,支持PDF/Word/PPT等文件格式,支持 12+语言互译。

免费翻译文档

深度研究

AI帮你快速写综述,25分钟生成高质量综述,智能提取关键信息,辅助科研写作。

立即免费体验