Suppr超能文献

模仿左半球卒中的韦尼克-科尔萨科夫脑病非典型表现:病例报告

An atypical presentation of Wernicke-Korsakoff encephalopathy mimicking a left hemispheric stroke: case report.

作者信息

Butnariu Ioana, Anghel Daniela Nicoleta, Ciobanu Adela Magdalena, Cojocaru Florentina, Antonescu-Ghelmez Dana, Manea Maria Mirabela, Antonescu Florian

机构信息

Department of Neurology, "Carol Davila" University of Medicine and Pharmacy, Bucharest, Romania.

Department of Neurology, National Institute of Neurology and Neurovascular Diseases, "Carol Davila" University of Medicine and Pharmacy, Bucharest, Romania.

出版信息

Front Psychiatry. 2024 Dec 20;15:1499803. doi: 10.3389/fpsyt.2024.1499803. eCollection 2024.

Abstract

BACKGROUND

Wernicke-Korsakoff encephalopathy is a metabolic disease caused by vitamin B1 deficiency that predominantly affects alcoholic patients. Its clinical picture is characterized mainly by altered mental status with memory deficits, ophthalmoparesis, and ataxia, although other clinical manifestations may also be present. The current case presents certain clinical difficulties regarding the diagnosis when confronting an atypical presentation of a classical disease in an acute setting when a decision to administer an intravenous thrombolytic agent needs to be made.

CASE PRESENTATION

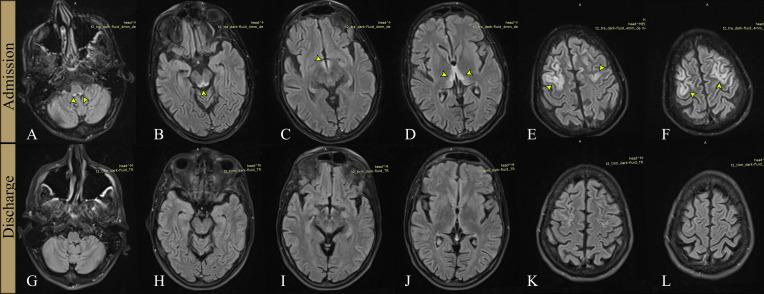
This case involves a young male patient, with a history of chronic alcohol abuse, malnourished, and in poor general health, who presented with right-sided hemiparesis and language disturbance of acute onset, suggesting a left hemispheric stroke. The psychological examination was difficult due to a mix of confusion and aphasia, the latter being challenging to assess as the patient had a dismissive and highly deflective attitude toward the examiner. The initial cerebral computed tomography scan was unremarkable, in line with early imaging in ischemic stroke patients. On subsequent magnetic resonance imaging, lesions were observed in the medullo-pontine tegmentum, around the aqueduct of Sylvius, in the mamillary bodies, in the medial thalami, but also extensive bilateral cortical involvement in the frontal lobes. After receiving intravenous vitamin B1 treatment, the patient made a slow, but full, recovery, after eight weeks of hospitalization, and was subsequently transferred to a psychiatry clinic for treatment of his addiction.

CONCLUSION

Atypical Wernicke-Korsakoff encephalopathy can closely mimic stroke, usually akin to a vertebro-basilar lesion. Our case is the first report we are aware of Wernicke-Korsakoff encephalopathy feigning a left hemispheric stroke with aphasia and right hemiparesis. This has implications for the emergency medicine doctor, neurologist and the stroke specialist when considering an emergency differential diagnosis for a patient with an initial normal computed tomography scan, especially in regard to deciding acute therapy.

摘要

背景

韦尼克-科尔萨科夫脑病是一种由维生素B1缺乏引起的代谢性疾病,主要影响酗酒患者。其临床表现主要特征为精神状态改变伴记忆缺陷、眼肌麻痹和共济失调,不过也可能出现其他临床表现。当在急性情况下面对经典疾病的非典型表现且需要决定是否给予静脉溶栓药物时,当前病例在诊断方面存在一定临床困难。

病例报告

该病例涉及一名年轻男性患者,有慢性酒精滥用史,营养不良,总体健康状况较差,急性起病出现右侧偏瘫和语言障碍,提示左侧半球卒中。由于存在意识模糊和失语的混合情况,心理检查困难,且患者对检查者持轻视和高度回避态度,使得失语难以评估。最初的脑部计算机断层扫描未见异常,这与缺血性卒中患者的早期影像学表现相符。随后的磁共振成像显示,在延髓脑桥被盖部、中脑导水管周围、乳头体、丘脑内侧有病变,同时额叶也有广泛的双侧皮质受累。接受静脉注射维生素B1治疗后,患者在住院八周后缓慢但完全康复,随后转至精神科诊所治疗其成瘾问题。

结论

非典型韦尼克-科尔萨科夫脑病可酷似卒中,通常类似于椎基底病变。我们的病例是我们所知的首例韦尼克-科尔萨科夫脑病伪装成伴有失语和右侧偏瘫的左侧半球卒中的报告。这对急诊医学医生、神经科医生和卒中专科医生在考虑对初始计算机断层扫描正常的患者进行急诊鉴别诊断时具有启示意义,尤其是在决定急性治疗方案方面。

https://cdn.ncbi.nlm.nih.gov/pmc/blobs/9881/11696281/6b7cb2540cf4/fpsyt-15-1499803-g001.jpg

文献AI研究员

20分钟写一篇综述,助力文献阅读效率提升50倍。

立即体验

用中文搜PubMed

大模型驱动的PubMed中文搜索引擎

马上搜索

文档翻译

学术文献翻译模型,支持多种主流文档格式。

立即体验